Vergleich

Mucin 1 / EMA / Episialin / CD227(HMPV), CF405S conjugate, 0.1mg/mL

ArtNr B-BNC040954-100
Hersteller Biotium
Menge 100 uL
Quantity options 100 uL 500 uL
Kategorie
Typ Antibody Monoclonal
Format Liquid
Applikationen WB, FC, IF, IHC
Clon HMPV
Specific against Human (Homo sapiens)
Host Mouse
Isotype IgG1 Kappa
ECLASS 10.1 42030590
ECLASS 11.0 42030590
UNSPSC 12352203
Versandbedingung Raumtemperatur
Lieferbar
Manufacturer - Type
Primary
Manufacturer - Applications
Flow, surface (verified), IF (verified), IHC, FFPE (verified), WB (verified)
Manufacturer - Category
Primary Antibodies Only
Manufacturer - Targets
CD227|EMA|Episialin|Mucin 1
Manufacturer - Conjugate / Tag
CF405S
Manufacturer - Host
Mus musculus (mouse), BSA from bovine serum (Bos taurus) or recombinant BSA produced in Chinese hamster ovary cells.
Shipping Temperature
Room Temperature (Next day)
Storage Conditions
Store at 2 to 8°C|Protect fluorescent conjugates from light
Molecular Weight
265-400 kDa
Manufacturer - Research Area
Cancer|Mucins
Description
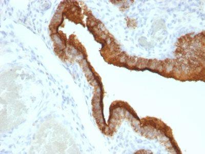
This MAb recognizes full-length MUC1 in a glycosylation-independent manner and can bind to the fully glycosylated protein. The dominant epitope of this MAb is APDTR in the extracellular VNTR region. It reacts with the core peptide of the MUC1 protein, which is a member of a family of mucin glycoproteins that are characterized by high carbohydrate content, O-linked oligosaccharides, high molecular weight (> 200 kDa) and an amino acid composition rich in serine, threonine, proline and glycine. The core protein contains a domain of 20 amino-acid tandem repeats that functions as multiple epitopes for the MAb. Incomplete glycosylation of some tumor-associated mucins may lead to variable unmasking of the multiple peptide epitopes leading to the observed differences in staining intensity between normal and malignant tissues. This MAb reacts with both normal and malignant epithelia of various tissues including breast and colon.Primary antibodies are available purified, or with a selection of fluorescent CF® Dyes and other labels. CF® Dyes offer exceptional brightness and photostability. Note: Conjugates of blue fluorescent dyes like CF®405S and CF®405M are not recommended for detecting low abundance targets, because blue dyes have lower fluorescence and can give higher non-specific background than other dye colors.
Product origin
Animal
Ingredient of biological origin
Mus musculus (mouse), BSA from bovine serum (Bos taurus) or recombinant BSA produced in Chinese hamster ovary cells.
Special handling for PI and label
Protect from light
Undated stability guarantee in PI
2 years
Stability at RT during shipping (protected from light)
Stable at room temperature or 37°C (98°F) for 7 days.
UNSPSC Commodity
41116161
UNSPSC Commodity Title
Primary and secondary antibodies for multiple methodologyimmunostaining detection application
Classified or regulated chemicals
0.05% sodium azide (CAS 26628-22-8)
Concentration
0.1 mg/mL
Storage buffer
PBS, 0.1% BSA, 0.05% azide
Dated shelf life printed on label
Guaranteed for at least 24 months from date of receipt when stored as recommended
Immunogen (Secondaries, for anti tag only)
Human breast cancer cell line ZR-75 cells
Clonality
Monoclonal
Regulatory Status
For research use only (RUO)
Human Gene Symbol
MUC1
Unigene
89603
Positive Control
MCF-7 or MDA-231 cells. Breast, colon, ovarian, endometrial carcinoma.
Antibody target cellular localization
Plasma membrane
Cell tissue expression
Epithelial cells|Mammary gland
Tumor expression
Breast cancer
Antibody applications
Flow, surface (verified)|IF (verified)|IHC, FFPE (verified)|WB (verified)
Verified antibody applications
Flow (surface) (verified)|IF (verified)|IHC (FFPE) (verified)|WB (verified)
Antibody application notes
Immunohistology formalin-paraffin 0.25-0.5 ug/mL|Staining of formalin-fixed tissues requires boiling tissue sections in 10 mM citrate buffer, pH 6.0, for 10-20 min followed by cooling at RT for 20 minutes|Flow Cytometry 0.5-1 ug/million cells/0.1 mL|Immunofluorescence 1-2 ug/mL|Optimal dilution for a specific application should be determined by user
Manufacturer - Synonym
Breast carcinoma-associated antigen DF3, CA15-3, Carcinoma-associated mucin Episialin, Epithelial Membrane Antigen, H23AG, KL-6, MAM6, MUC-1, MUC-1/SEC, MUC-1/X, MUC1-alpha, MUC1-beta, MUC1-CT, MUC1-NT, MUC1/ZD, Mucin 1 cell surface associated, Mucin-1 subunit beta, Peanut-reactive urinary mucin, PEM, PEMT, Polymorphic epithelial mucin, PUM, Tumor-associated epithelial membrane antigen
Manufacturer - Antibody Reactivity
CD227|EMA|Episialin|Mucin 1
Antibody number
#0954

Hinweis: Die dargestellten Informationen und Dokumente (Bedienungsanleitung, Produktdatenblatt, Sicherheitsdatenblatt und Analysezertifikat) entsprechen unserem letzten Update und sollten lediglich der Orientierung dienen. Wir übernehmen keine Garantie für die Aktualität. Für spezifische Anforderungen bitten wir Sie, uns eine Anfrage zu stellen.

Alle Produkte sind nur für Forschungszwecke bestimmt. Nicht für den menschlichen, tierärztlichen oder therapeutischen Gebrauch.

Menge: 100 uL
Lieferbar: In stock
lieferbar

Vergleichen

Auf den Wunschzettel

Angebot anfordern

Lieferzeit anfragen

Technische Frage stellen

Bulk-Anfrage stellen

Fragen zum Produkt?