Vergleich

ROR2(ROR2/1912), CF405S conjugate, 0.1mg/mL

ArtNr B-BNC041912-500
Hersteller Biotium
Menge 500 uL
Quantity options 100 uL 500 uL
Kategorie
Typ Antibody Monoclonal
Format Liquid
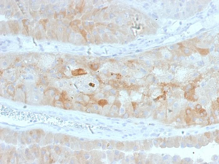
Applikationen IHC
Clon ROR2/1912
Specific against Human (Homo sapiens)
Host Mouse
Isotype IgG
ECLASS 10.1 42030590
ECLASS 11.0 42030590
UNSPSC 12352203
Versandbedingung Raumtemperatur
Lieferbar
Manufacturer - Type
Primary
Manufacturer - Applications
IHC, FFPE (verified)
Manufacturer - Category
Primary Antibodies Only
Manufacturer - Targets
ROR2
Manufacturer - Conjugate / Tag
CF405S
Manufacturer - Host
Mus musculus (mouse), BSA from bovine serum (Bos taurus) or recombinant BSA produced in Chinese hamster ovary cells.
Shipping Temperature
Room Temperature (Next day)
Storage Conditions
Store at 2 to 8°C|Protect fluorescent conjugates from light
Molecular Weight
120 kDa
Description
ROR2 (receptor tyrosine kinase-like orphan receptor 2), also known as neurotrophic tyrosine kinase receptor-related 2 (NTRKR2), is a single pass transmembrane tyrosine-protein kinase receptor. It contains a cytoplasmic tyrosine kinase domain, distally located serine-threonine-rich domains, an extracellular immunoglobulin-like domain, a cysteine-rich domain and a kringle domain. ROR2 is important for skeletal and endocrine development and is required for cartilage and growth plate development. It promotes the differentiation of osteoblasts and plays an important role in the early formation of chondrocytes. ROR2 sequesters and associates with Dlxin-1 affecting the transcriptional function of Msx-2. ROR2 also interacts with canoncial Wnt-1 and Wnt-3, regulating their signaling pathways. Defects in ROR2 can result in the autosomal dominant skeletal disorder, brachydactyly type B1, or the autosomal recessive skeletal disorder, Robinow syndrome. Primary antibodies are available purified, or with a selection of fluorescent CF® Dyes and other labels. CF® Dyes offer exceptional brightness and photostability. Note: Conjugates of blue fluorescent dyes like CF®405S and CF®405M are not recommended for detecting low abundance targets, because blue dyes have lower fluorescence and can give higher non-specific background than other dye colors.
Product origin
Animal
Ingredient of biological origin
Mus musculus (mouse), BSA from bovine serum (Bos taurus) or recombinant BSA produced in Chinese hamster ovary cells.
Special handling for PI and label
Protect from light
Undated stability guarantee in PI
2 years
Stability at RT during shipping (protected from light)
Stable at room temperature or 37°C (98°F) for 7 days.
UNSPSC Commodity
41116161
UNSPSC Commodity Title
Primary and secondary antibodies for multiple methodologyimmunostaining detection application
Classified or regulated chemicals
0.05% sodium azide (CAS 26628-22-8)
Concentration
0.1 mg/mL
Storage buffer
PBS, 0.1% BSA, 0.05% azide
Dated shelf life printed on label
Guaranteed for at least 24 months from date of receipt when stored as recommended
Immunogen (Secondaries, for anti tag only)
Human cultured keratinocytes
Clonality
Monoclonal
Regulatory Status
For research use only (RUO)
Human Gene Symbol
ROR2
Unigene
644776; 98255
Positive Control
Human breast, pancreas, kidney or GIST.
Antibody target cellular localization
Plasma membrane
Antibody applications
IHC, FFPE (verified)
Verified antibody applications
IHC (FFPE) (verified)
Manufacturer - Synonym
BR, CD49 antigen-like family member B, ROR2, Collagen receptor, DX5, Glycoprotein Ia deficiency included (GPIa), Human platelet alloantigen system 5 (HPA5 included), Integrin alpha II (ITGA2), Platelet alloantigen Br(a), included, Platelet glycoprotein Ia/IIa, Platelet membrane glycoprotein Ia, VLA2
Manufacturer - Antibody Reactivity
ROR2
Antibody number
#1912

Hinweis: Die dargestellten Informationen und Dokumente (Bedienungsanleitung, Produktdatenblatt, Sicherheitsdatenblatt und Analysezertifikat) entsprechen unserem letzten Update und sollten lediglich der Orientierung dienen. Wir übernehmen keine Garantie für die Aktualität. Für spezifische Anforderungen bitten wir Sie, uns eine Anfrage zu stellen.

Alle Produkte sind nur für Forschungszwecke bestimmt. Nicht für den menschlichen, tierärztlichen oder therapeutischen Gebrauch.

Menge: 500 uL
Lieferbar: In stock
lieferbar

Vergleichen

Auf den Wunschzettel

Angebot anfordern

Lieferzeit anfragen

Technische Frage stellen

Bulk-Anfrage stellen

Fragen zum Produkt?