Vergleich

ICOS-L / ICOS Ligand / B7RP-1 (Immuno-Oncology Target)(ICOSL/3260), CF405S conjugate, 0.1mg/mL

ArtNr B-BNC043260-100
Hersteller Biotium
Menge 100 uL
Quantity options 100 uL 500 uL
Kategorie
Typ Antibody Monoclonal
Format Liquid
Applikationen IHC
Clon ICOSL/3260
Specific against Human (Homo sapiens)
Host Mouse
Isotype IgG2b Kappa
ECLASS 10.1 42030590
ECLASS 11.0 42030590
UNSPSC 12352203
Alias B7 homolog 2 (B7H2),B7 like protein Gl50,B7 related protein 1 (B7RP1),CD275,CD275 antigen,GL50,ICOS LG,ICOS ligand (ICOSL),Inducible T cell co stimulator ligand,LICOS,Transmembrane protein B7 H2 ICOS ligand
Versandbedingung Raumtemperatur
Lieferbar
Manufacturer - Type
Primary
Manufacturer - Applications
IHC, FFPE (verified)
Manufacturer - Category
Primary Antibodies Only
Manufacturer - Targets
B7RP-1|ICOS Ligand|ICOS-L
Manufacturer - Conjugate / Tag
CF405S
Shipping Temperature
Room Temperature (Next day)
Storage Conditions
Store at 2 to 8°C|Protect fluorescent conjugates from light
Molecular Weight
36 kDa
Description
This MAb recognizes a protein of 36 kDa, identified as ICOS-L. It is a ligand for the ICOS receptor that initiates T and B cell proliferation and cytokine secretion. ICOS-L interactions play an essential role in T cell-dependent B cell activation in peripheral lymphoid organs such as spleen and lymph nodes. ICOS-L protein is present in myeloid leukocytes, and by Northern blot there are 2. 4, 3. 0, and 7. 0 kb transcripts in brain, heart, kidney, and liver, with lower expression in colon and thymus, and a 1. 1 kb transcript in leukocytes. Tumor necrosis factor alpha (TNF), granulocyte-macrophage colony-stimulating factor (GM-CSF) and interleukin-4 (IL-4) enhance its expression. LPS-induced up-regulation of ICOS-L is dependent on the MyD88-dependent signaling pathway. Primary antibodies are available purified, or with a selection of fluorescent CF® Dyes and other labels. CF® Dyes offer exceptional brightness and photostability. Note: Conjugates of blue fluorescent dyes like CF®405S and CF®405M are not recommended for detecting low abundance targets, because blue dyes have lower fluorescence and can give higher non-specific background than other dye colors.
Product origin
Animal
Special handling for PI and label
Protect from light
Undated stability guarantee in PI
2 years
Stability at RT during shipping (protected from light)
Stable at room temperature or 37°C (98°F) for 7 days.
UNSPSC Commodity
41116161
UNSPSC Commodity Title
Primary and secondary antibodies for multiple methodologyimmunostaining detection application
Classified or regulated chemicals
0.05% sodium azide (CAS 26628-22-8)
Concentration
0.1 mg/mL
Storage buffer
PBS, 0.1% BSA, 0.05% azide
Dated shelf life printed on label
Guaranteed for at least 24 months from date of receipt when stored as recommended
Immunogen (Secondaries, for anti tag only)
Recombinant fragment of human ICOSLG (B7RP-1) protein (around aa 23-149) (exact sequence is proprietary)
Clonality
Monoclonal
Regulatory Status
For research use only (RUO)
Human Gene Symbol
ICOSLG
Unigene
14155
Positive Control
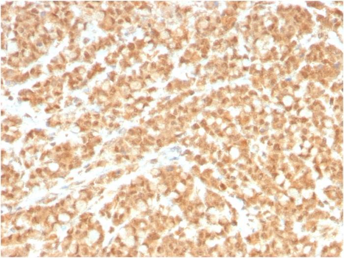
HL60, HuT78 and HUVEC cells. Prostate or Colon Carcinoma.
Antibody target cellular localization
Plasma membrane
Cell tissue expression
Myeloid cells
Validated in protein array
Monospecific
Antibody applications
IHC, FFPE (verified)
Verified antibody applications
IHC (FFPE) (verified)
Manufacturer - Antibody Reactivity
B7RP-1|ICOS Ligand|ICOS-L
Antibody number
#3260

Hinweis: Die dargestellten Informationen und Dokumente (Bedienungsanleitung, Produktdatenblatt, Sicherheitsdatenblatt und Analysezertifikat) entsprechen unserem letzten Update und sollten lediglich der Orientierung dienen. Wir übernehmen keine Garantie für die Aktualität. Für spezifische Anforderungen bitten wir Sie, uns eine Anfrage zu stellen.

Alle Produkte sind nur für Forschungszwecke bestimmt. Nicht für den menschlichen, tierärztlichen oder therapeutischen Gebrauch.

Menge: 100 uL
Lieferbar: In stock
lieferbar

Vergleichen

Auf den Wunschzettel

Angebot anfordern

Lieferzeit anfragen

Technische Frage stellen

Bulk-Anfrage stellen

Fragen zum Produkt?