Vergleich

CD34(QBEnd/10), CF488A conjugate, 0.1mg/mL

ArtNr B-BNC880640-100
Hersteller Biotium
Menge 100 uL
Quantity options 100 uL 500 uL
Kategorie
Typ Antibody Monoclonal
Format Liquid
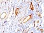
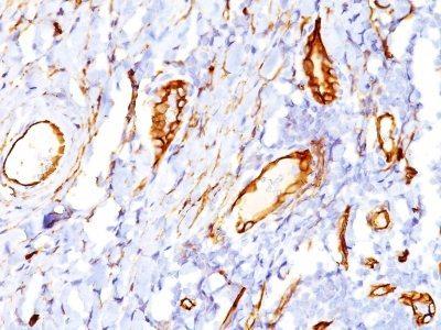
Applikationen FC, IHC
Clon QBEnd/10
Specific against Human (Homo sapiens), Monkey (Cynomolgus, Simian), Rhesus macaque
Host Mouse
Isotype IgG1 Kappa
ECLASS 10.1 42030590
ECLASS 11.0 42030590
UNSPSC 12352203
Alias Hematopoietic Progenitor Cell Antigen,HPCA1,Mucosialin
Versandbedingung Raumtemperatur
Lieferbar
Specificity Cynomolgus monkey, Human, Rhesus monkey
Manufacturer - Type
Primary
Manufacturer - Applications
Flow (verified), IHC, FFPE (verified)
Manufacturer - Category
Primary Antibodies Only
Manufacturer - Targets
CD34
Manufacturer - Conjugate / Tag
CF488A
Manufacturer - Host
Mus musculus (mouse), BSA from bovine serum (Bos taurus) or recombinant BSA produced in Chinese hamster ovary cells.
Shipping Temperature
Room Temperature (Next day)
Storage Conditions
Store at 2 to 8°C|Protect fluorescent conjugates from light
Molecular Weight
90-110 kDa
Manufacturer - Research Area
Angiogenesis|Cancer
Description
This MAb recognizes a single chain, transmembrane, heavily glycosylated protein of 90-120 kDa, which is identified as CD34. On the basis of differential sensitivity to degradation by specific enzymes, epitopes of monoclonal antibodies to CD34 are classified intothree main categories, class I, class II and class III. It is a class II antibody whose epitope is resistant to neuraminidase but sensitive to glycoprotease and chymopapain.CD34 expression is a hallmark for identifying pluripotent hematopoietic stem or progenitor cells. Its expression is gradually lost as lineage committed progenitors differentiate. CD34 is a marker of choice for staining blasts in acute myeloid leukemia. In addition, CD34 is expressed by soft tissue tumors, such as solitary fibrous tumor and gastrointestinal stromal tumor. Its expression is also found in vascular endothelium. Additionally, it appears that proliferating endothelial cells express this molecule more than the non-proliferating endothelial cells. Anti-CD34 labels > 85% of angiosarcoma and Kaposi's sarcoma, but with a lower specificity.Primary antibodies are available purified, or with a selection of fluorescent CF® Dyes and other labels. CF® Dyes offer exceptional brightness and photostability. Note: Conjugates of blue fluorescent dyes like CF®405S and CF®405M are not recommended for detecting low abundance targets, because blue dyes have lower fluorescence and can give higher non-specific background than other dye colors.
Product origin
Animal
Ingredient of biological origin
Mus musculus (mouse), BSA from bovine serum (Bos taurus) or recombinant BSA produced in Chinese hamster ovary cells.
Special handling for PI and label
Protect from light
Undated stability guarantee in PI
2 years
Stability at RT during shipping (protected from light)
Stable at room temperature or 37°C (98°F) for 7 days.
UNSPSC Commodity
41116161
UNSPSC Commodity Title
Primary and secondary antibodies for multiple methodologyimmunostaining detection application
Classified or regulated chemicals
0.05% sodium azide (CAS 26628-22-8)
Concentration
0.1 mg/mL
Storage buffer
PBS, 0.1% BSA, 0.05% azide
Dated shelf life printed on label
Guaranteed for at least 24 months from date of receipt when stored as recommended
Immunogen (Secondaries, for anti tag only)
Detergent solubilized vesicular suspension prepared from human term placenta
Clonality
Monoclonal
Regulatory Status
For research use only (RUO)
Human Gene Symbol
CD34
Unigene
374990
Positive Control
KG-1 cells, Tonsil, or Angiosarcoma
Antibody target cellular localization
Plasma membrane
Cell tissue expression
Endothelial cells|Hematopoietic stem cells
Tumor expression
Leukemia/lymphoma
Antibody applications
Flow (verified)|IHC, FFPE (verified)
Verified antibody applications
Flow (verified)|IHC (FFPE) (verified)
Antibody application notes
Higher concentration may be required for direct detection using primary antibody conjugates than for indirect detection with secondary antibody|Immunofluorescence: 0.5-1 ug/mL|Immunohistology formalin-fixed 0.25-0.5 ug/mL|Staining of formalin-fixed tissues is enhanced by boiling tissue sections in 10 mM citrate buffer, pH 6.0, for 10-20 min followed by cooling at RT for 20 minutes|Flow Cytometry 0.5-1 ug/million cells/0.1 mL|Does not react with rat, sheep, cow or dog; others not known|Optimal dilution for a specific application should be determined by user
Manufacturer - Antibody Reactivity
CD34
Antibody number
#0640

Hinweis: Die dargestellten Informationen und Dokumente (Bedienungsanleitung, Produktdatenblatt, Sicherheitsdatenblatt und Analysezertifikat) entsprechen unserem letzten Update und sollten lediglich der Orientierung dienen. Wir übernehmen keine Garantie für die Aktualität. Für spezifische Anforderungen bitten wir Sie, uns eine Anfrage zu stellen.

Alle Produkte sind nur für Forschungszwecke bestimmt. Nicht für den menschlichen, tierärztlichen oder therapeutischen Gebrauch.

Menge: 100 uL
Lieferbar: In stock
lieferbar

Vergleichen

Auf den Wunschzettel

Angebot anfordern

Lieferzeit anfragen

Technische Frage stellen

Bulk-Anfrage stellen

Fragen zum Produkt?
 
Schließen