Comparison

CAPN1 Antibody

Item no. PRS-14-117-100uL
Manufacturer ProSci
Amount 100 uL
Quantity options 100 uL
Category
Type Antibody Primary
Format Liquid
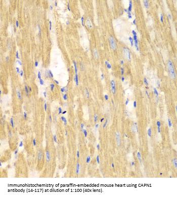
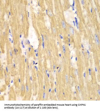
Applications WB, IHC
Specific against Human (Homo sapiens), Mouse (Murine, Mus musculus), Rat (Rattus norvegicus)
Host Rabbit
Isotype IgG
Conjugate/Tag Unconjugated
NCBI CAPN1
ECLASS 10.1 32160702
ECLASS 11.0 32160702
UNSPSC 12352203
Alias CAPN1,calpain 1,(mu/I) large subunit,CANP,CANP1,CANPL1,muCANP,muCL,CANP 1,calcium-activated neutral proteinase 1,calpain mu-type,calpain,large polypeptide L1,calpain-1 catalytic subunit,calpain-1 large subunit,cell proliferation-inducing ge
Shipping Condition Cool pack
Available
Specificity Human,Mouse,Rat
Manufacturer - Type
Primary Antibodies
Shipping Temperature
Blue Ice
Storage Conditions
Store at -20˚ C. Avoid freeze / thaw cycles.
Molecular Weight
Observed: 82kDa
Manufacturer - Research Area
Apoptosis, Cell Cycle, Immunology, Neuroscience, Signal Transduction
Background
The calpains, calcium-activated neutral proteases, are nonlysosomal, intracellular cysteine proteases. The mammalian calpains include ubiquitous, stomach-specific, and muscle-specific proteins. The ubiquitous enzymes consist of heterodimers with distinct large, catalytic subunits associated with a common small, regulatory subunit. This gene encodes the large subunit of the ubiquitous enzyme, calpain 1. Several transcript variants encoding two different isoforms have been found for this gene.
By Type
Apoptosis, Cell Cycle, Immunology, Neuroscience, Signal Transduction
Modifications
None
Purification
Affinity purification
Positive Control 1
A-549
Positive Control 2
BT-474
Positive Control 3
MCF7
Positive Control 4
Jurkat
Positive Control 5
PC-3
Concentration
batch dependent
Buffer
PBS with 0.02% sodium azide, 50% glycerol, pH7.3.
Application Note
WB: 1:500 - 1:2000
IHC: 1:50 - 1:200
Immunogen
Recombinant fusion protein containing a sequence corresponding to amino acids 20-330 of human CAPN1 (NP_005177.2).
Clonality
Polyclonal
NCBI Official Name
calpain 1, (mu/I) large subunit
NCBI Organism
Homo sapiens
User Note
Optimal dilutions for each application to be determined by the researcher.

Note: The presented information and documents (Manual, Product Datasheet, Safety Datasheet and Certificate of Analysis) correspond to our latest update and should serve for orientational purpose only. We do not guarantee the topicality. We would kindly ask you to make a request for specific requirements, if necessary.

All products are intended for research use only (RUO). Not for human, veterinary or therapeutic use.

Amount: 100 uL
Available: In stock
available

Compare

Add to wishlist

Get an offer

Request delivery time

Ask a technical question

Submit a bulk request

Questions about this Product?
 
Close