Comparison

USP44 Antibody

Item no. PRS-16-092-100uL
Manufacturer ProSci
Amount 100 uL
Quantity options 100 uL
Category
Type Antibody Primary
Format Liquid
Applications WB
Specific against Human (Homo sapiens), Mouse (Murine, Mus musculus), Rat (Rattus norvegicus)
Host Rabbit
Isotype IgG
Conjugate/Tag Unconjugated
NCBI USP44
ECLASS 10.1 32160702
ECLASS 11.0 32160702
UNSPSC 12352203
Alias ubiquitin carboxyl-terminal hydrolase 44,deubiquitinating enzyme 44,ubiquitin specific protease 44,ubiquitin thioesterase 44,ubiquitin thiolesterase 44,ubiquitin-specific-processing protease 44
Shipping Condition Cool pack
Available
Specificity Human,Mouse,Rat
Manufacturer - Type
Primary Antibodies
Shipping Temperature
Blue Ice
Storage Conditions
Store at -20˚ C. Avoid freeze / thaw cycles.
Molecular Weight
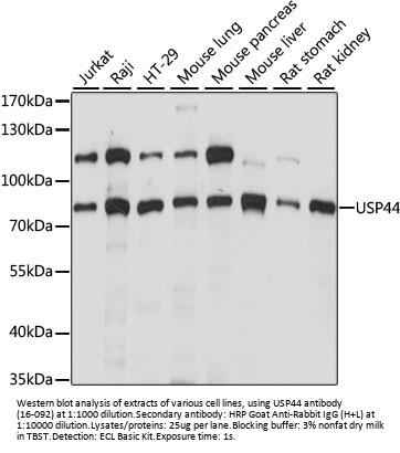
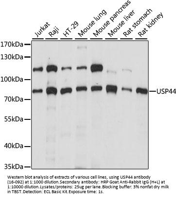
Observed: 81kDa
Manufacturer - Research Area
Cell Cycle
Background
The protein encoded by this gene is a protease that functions as a deubiquitinating enzyme. The encoded protein is thought to help regulate the spindle assembly checkpoint by preventing early anaphase onset. This protein specifically deubiquitinates CDC20, which stabilizes the anaphase promoting complex/cyclosome.
By Type
Cell Cycle
Modifications
None
Purification
Affinity purification
Positive Control 1
Jurkat
Positive Control 2
Raji
Positive Control 3
HT-29
Positive Control 4
Mouse lung
Positive Control 5
Mouse pancreas
Positive Control 6
Mouse liver
Concentration
batch dependent
Buffer
PBS with 0.02% sodium azide, 50% glycerol, pH7.3.
Application Note
WB: 1:200 - 1:2000
Immunogen
Recombinant fusion protein containing a sequence corresponding to amino acids 100-270 of human USP44 (NP_115523.2).
Clonality
Polyclonal
NCBI Official Name
ubiquitin specific peptidase 44
NCBI Organism
Homo sapiens
User Note
Optimal dilutions for each application to be determined by the researcher.

Note: The presented information and documents (Manual, Product Datasheet, Safety Datasheet and Certificate of Analysis) correspond to our latest update and should serve for orientational purpose only. We do not guarantee the topicality. We would kindly ask you to make a request for specific requirements, if necessary.

All products are intended for research use only (RUO). Not for human, veterinary or therapeutic use.

Amount: 100 uL
Available: In stock
available

Compare

Add to wishlist

Get an offer

Request delivery time

Ask a technical question

Submit a bulk request

Questions about this Product?
 
Close