Comparison

GPX2 Antibody

Item no. PRS-16-371-100uL
Manufacturer ProSci
Amount 100 uL
Quantity options 100 uL
Category
Type Antibody Primary
Format Liquid
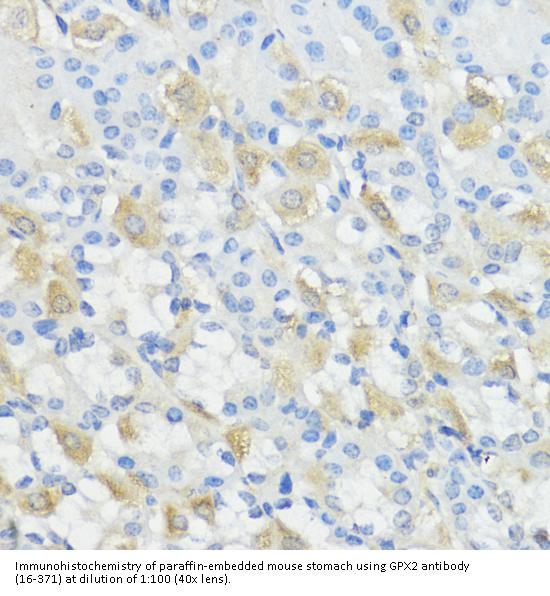
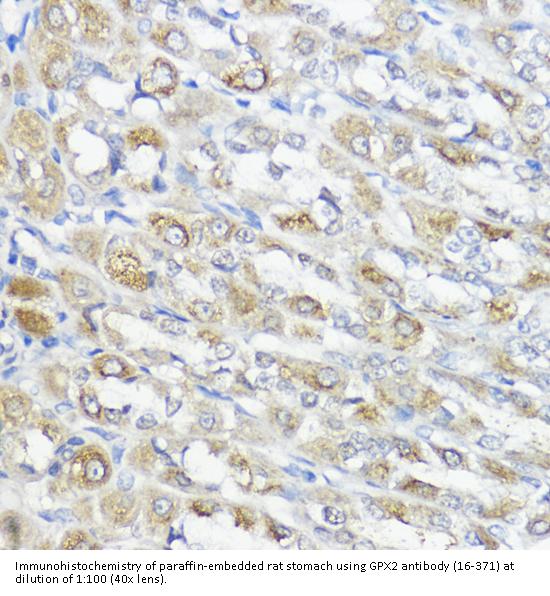
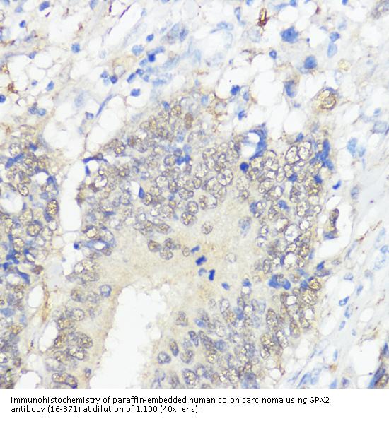
Applications WB, IHC
Specific against Human (Homo sapiens), Mouse (Murine, Mus musculus), Rat (Rattus norvegicus)
Host Rabbit
Isotype IgG
Conjugate/Tag Unconjugated
NCBI GPX2
ECLASS 10.1 32160702
ECLASS 11.0 32160702
UNSPSC 12352203
Alias GPX2,glutathione peroxidase 2 (gastrointestinal),HGNC:4554,GI-GPx,GSHPX-GI,gastrointestinal glutathione peroxidase 2,GPRP,GPx-2,GPRP-2,GPx-GI,GSHPx-2
Shipping Condition Cool pack
Available
Specificity Human,Mouse,Rat
Manufacturer - Type
Primary Antibodies
Shipping Temperature
Blue Ice
Storage Conditions
Store at -20˚ C. Avoid freeze / thaw cycles.
Molecular Weight
Observed: 21kDa
Manufacturer - Research Area
Cell Cycle
Background
The protein encoded by this gene belongs to the glutathione peroxidase family, members of which catalyze the reduction of organic hydroperoxides and hydrogen peroxide (H2O2) by glutathione, and thereby protect cells against oxidative damage. Several isozymes of this gene family exist in vertebrates, which vary in cellular location and substrate specificity. This isozyme is predominantly expressed in the gastrointestinal tract (also in liver in human), is localized in the cytoplasm, and whose preferred substrate is hydrogen peroxide. Overexpression of this gene is associated with increased differentiation and proliferation in colorectal cancer. This isozyme is also a selenoprotein, containing the rare amino acid selenocysteine (Sec) at its active site. Sec is encoded by the UGA codon, which normally signals translation termination. The 3' UTRs of selenoprotein mRNAs contain a conserved stem-loop structure, designated the Sec insertion sequence (SECIS) element, that is necessary for the recognition of UGA as a Sec codon, rather than as a stop signal. Alternatively spliced transcript variants have been found for this gene.
By Type
Cell Cycle
Modifications
None
Purification
Affinity purification
Positive Control 1
HepG2
Positive Control 2
HT-29
Positive Control 3
Mouse stomach
Positive Control 4
Rat small intestine
Concentration
batch dependent
Buffer
PBS with 0.02% sodium azide, 50% glycerol, pH7.3.
Application Note
WB: 1:500 - 1:2000
IHC: 1:50 - 1:200
Immunogen
Recombinant fusion protein containing a sequence corresponding to amino acids 100-180 of human GPX2 (NP_002074.2).
Clonality
Polyclonal
NCBI Official Name
glutathione peroxidase 2 (gastrointestinal)
NCBI Organism
Homo sapiens
User Note
Optimal dilutions for each application to be determined by the researcher.

Note: The presented information and documents (Manual, Product Datasheet, Safety Datasheet and Certificate of Analysis) correspond to our latest update and should serve for orientational purpose only. We do not guarantee the topicality. We would kindly ask you to make a request for specific requirements, if necessary.

All products are intended for research use only (RUO). Not for human, veterinary or therapeutic use.

Amount: 100 uL
Available: In stock
available

Compare

Add to wishlist

Get an offer

Request delivery time

Ask a technical question

Submit a bulk request

Questions about this Product?
 
Close