Comparison

YWHAQ Antibody

Item no. PRS-18-714-100uL
Manufacturer ProSci
Amount 100 uL
Quantity options 100 uL
Category
Type Antibody Primary
Format Liquid
Applications WB, IF, IHC
Specific against Human (Homo sapiens), Mouse (Murine, Mus musculus), Rat (Rattus norvegicus)
Host Rabbit
Isotype IgG
Conjugate/Tag Unconjugated
NCBI YWHAQ
ECLASS 10.1 32160702
ECLASS 11.0 32160702
UNSPSC 12352203
Alias YWHAQ,1C5,HS1,14-3-3
Shipping Condition Cool pack
Available
Specificity Human,Mouse,Rat
Manufacturer - Type
Primary Antibodies
Shipping Temperature
Blue Ice
Storage Conditions
Store at -20˚ C. Avoid freeze / thaw cycles.
Molecular Weight
Observed: 32kDa
Manufacturer - Research Area
Apoptosis, Cell Cycle, Neuroscience, Signal Transduction, Stem Cell
Background
This gene product belongs to the 14-3-3 family of proteins which mediate signal transduction by binding to phosphoserine-containing proteins. This highly conserved protein family is found in both plants and mammals, and this protein is 99% identical to the mouse and rat orthologs. This gene is upregulated in patients with amyotrophic lateral sclerosis. It contains in its 5' UTR a 6 bp tandem repeat sequence which is polymorphic, however, there is no correlation between the repeat number and the disease.
By Type
Apoptosis, Cell Cycle, Neuroscience, Signal Transduction, Stem Cell
Modifications
None
Purification
Affinity purification
Positive Control 1
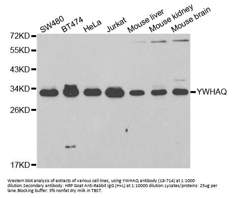
SW480
Positive Control 2
BT-474
Positive Control 3
HeLa
Positive Control 4
Jurkat
Positive Control 5
Mouse liver
Positive Control 6
Mouse kidney
Concentration
batch dependent
Buffer
PBS with 0.02% sodium azide, 50% glycerol, pH7.3.
Application Note
WB: 1:500 - 1:2000
IHC: 1:50 - 1:100
IF: 1:50 - 1:100
Immunogen
Recombinant fusion protein containing a sequence corresponding to amino acids 1-245 of human YWHAQ (NP_006817.1).
Clonality
Polyclonal
NCBI Official Name
tyrosine 3-monooxygenase/tryptophan 5-monooxygenase activation protein, theta
NCBI Organism
Homo sapiens
User Note
Optimal dilutions for each application to be determined by the researcher.

Note: The presented information and documents (Manual, Product Datasheet, Safety Datasheet and Certificate of Analysis) correspond to our latest update and should serve for orientational purpose only. We do not guarantee the topicality. We would kindly ask you to make a request for specific requirements, if necessary.

All products are intended for research use only (RUO). Not for human, veterinary or therapeutic use.

Amount: 100 uL
Available: In stock
available

Compare

Add to wishlist

Get an offer

Request delivery time

Ask a technical question

Submit a bulk request

Questions about this Product?
 
Close