Comparison

UBC Antibody

Item no. PRS-18-994-100uL
Manufacturer ProSci
Amount 100 uL
Quantity options 100 uL
Category
Type Antibody Primary
Format Liquid
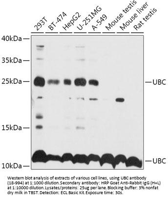
Applications WB, IF, IHC
Specific against Human (Homo sapiens), Mouse (Murine, Mus musculus), Rat (Rattus norvegicus)
Host Rabbit
Isotype IgG
Conjugate/Tag Unconjugated
NCBI UBC
ECLASS 10.1 32160702
ECLASS 11.0 32160702
UNSPSC 12352203
Alias Polyubiquitin-C,Ubiquitin,UBC
Shipping Condition Cool pack
Available
Specificity Human,Mouse,Rat
Manufacturer - Type
Primary Antibodies
Shipping Temperature
Blue Ice
Storage Conditions
Store at -20˚ C. Avoid freeze / thaw cycles.
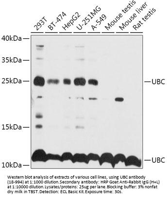
Molecular Weight
Observed: 12kD/25kDa
Manufacturer - Research Area
Apoptosis, Cell Cycle
Background
This gene represents a ubiquitin gene, ubiquitin C. The encoded protein is a polyubiquitin precursor. Conjugation of ubiquitin monomers or polymers can lead to various effects within a cell, depending on the residues to which ubiquitin is conjugated. Ubiquitination has been associated with protein degradation, DNA repair, cell cycle regulation, kinase modification, endocytosis, and regulation of other cell signaling pathways.
By Type
Apoptosis, Cell Cycle
Modifications
None
Purification
Affinity purification
Positive Control 1
293T
Positive Control 2
BT-474
Positive Control 3
HepG2
Positive Control 4
U-251MG
Positive Control 5
A-549
Positive Control 6
Mouse testis
Concentration
batch dependent
Buffer
PBS with 0.02% sodium azide, 50% glycerol, pH7.3.
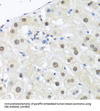
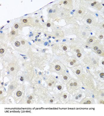
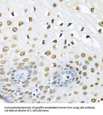
Application Note
WB: 1:1000 - 1:2000
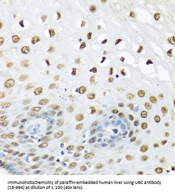
IHC: 1:50 - 1:100
IF: 1:50 - 1:100
Immunogen
A synthetic peptide corresponding to a sequence within amino acids 1-100 of human UBC (NP_066289.3).
Clonality
Polyclonal
NCBI Official Name
Polyubiquitin-C
NCBI Organism
Homo sapiens
User Note
Optimal dilutions for each application to be determined by the researcher.

Note: The presented information and documents (Manual, Product Datasheet, Safety Datasheet and Certificate of Analysis) correspond to our latest update and should serve for orientational purpose only. We do not guarantee the topicality. We would kindly ask you to make a request for specific requirements, if necessary.

All products are intended for research use only (RUO). Not for human, veterinary or therapeutic use.

Amount: 100 uL
Available: In stock
available

Compare

Add to wishlist

Get an offer

Request delivery time

Ask a technical question

Submit a bulk request

Questions about this Product?
 
Close