Comparison

TRMT2A Antibody

Item no. PRS-19-966-100uL
Manufacturer ProSci
Amount 100 uL
Quantity options 100 uL
Category
Type Antibody Primary
Format Liquid
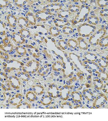
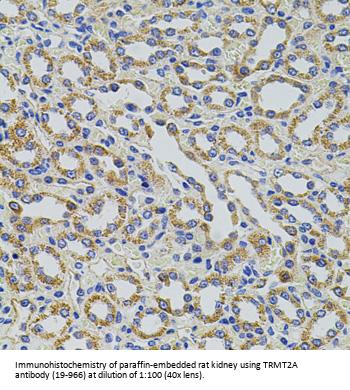
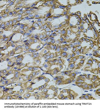
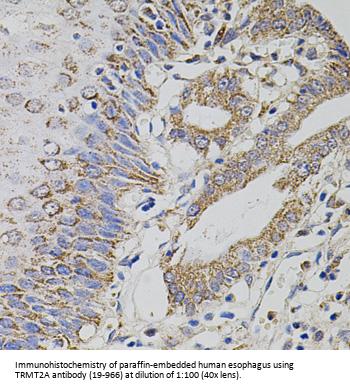
Applications WB, IHC
Specific against Human (Homo sapiens), Mouse (Murine, Mus musculus), Rat (Rattus norvegicus)
Host Rabbit
Isotype IgG
Conjugate/Tag Unconjugated
NCBI TRMT2A
ECLASS 10.1 32160702
ECLASS 11.0 32160702
UNSPSC 12352203
Alias HTF9C,tRNA (uracil-5-)-methyltransferase homolog A,TRM2 tRNA methyltransferase 2 homolog A,hpaII tiny fragments locus 9c protein
Shipping Condition Cool pack
Available
Specificity Human,Mouse,Rat
Manufacturer - Type
Primary Antibodies
Shipping Temperature
Blue Ice
Storage Conditions
Store at -20˚ C. Avoid freeze / thaw cycles.
Molecular Weight
Observed: 70kDa
Manufacturer - Research Area
Cancer
Background
The protein encoded by this gene is of unknown function. However, it is orthologous to the mouse Trmt2a gene and contains an RNA methyltransferase domain. Expression of this gene varies during the cell cycle, with aberrant expression being a possible biomarker in certain breast cancers. Several transcript variants encoding two different isoforms have been found for this gene.
By Type
Cancer
Modifications
None
Purification
Affinity purification
Positive Control 1
293T
Positive Control 2
HeLa
Positive Control 3
K-562
Concentration
batch dependent
Buffer
PBS with 0.02% sodium azide, 50% glycerol, pH7.3.
Application Note
WB: 1:500 - 1:1000
IHC: 1:50 - 1:200
Immunogen
A synthetic peptide corresponding to a sequence within amino acids 500 to the C-terminus of human TRMT2A (NP_073564.3).
Clonality
Polyclonal
NCBI Official Name
tRNA methyltransferase 2 homolog A
NCBI Organism
Homo sapiens
User Note
Optimal dilutions for each application to be determined by the researcher.

Note: The presented information and documents (Manual, Product Datasheet, Safety Datasheet and Certificate of Analysis) correspond to our latest update and should serve for orientational purpose only. We do not guarantee the topicality. We would kindly ask you to make a request for specific requirements, if necessary.

All products are intended for research use only (RUO). Not for human, veterinary or therapeutic use.

Amount: 100 uL
Available: In stock
available

Compare

Add to wishlist

Get an offer

Request delivery time

Ask a technical question

Submit a bulk request

Questions about this Product?
 
Close