Comparison

NEU1 Antibody

Item no. PRS-22-109-100uL
Manufacturer ProSci
Amount 100 uL
Quantity options 100 uL
Category
Type Antibody Primary
Format Liquid
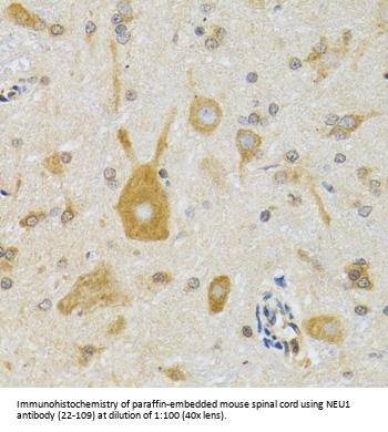
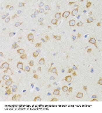
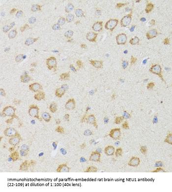
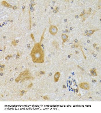
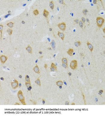
Applications WB, IHC
Specific against Human (Homo sapiens), Mouse (Murine, Mus musculus), Rat (Rattus norvegicus)
Host Rabbit
Isotype IgG
Conjugate/Tag Unconjugated
NCBI NEU1
ECLASS 10.1 32160702
ECLASS 11.0 32160702
UNSPSC 12352203
Alias NEU1,NEU,SIAL1,NANH
Shipping Condition Cool pack
Available
Specificity Human,Mouse,Rat
Manufacturer - Type
Primary Antibodies
Shipping Temperature
Blue Ice
Storage Conditions
Store at -20˚ C. Avoid freeze / thaw cycles.
Molecular Weight
Observed: 45kDa
Manufacturer - Research Area
Cancer, Signal Transduction
Background
The protein encoded by this gene is a lysosomal enzyme that cleaves terminal sialic acid residues from substrates such as glycoproteins and glycolipids. In the lysosome, this enzyme is part of a heterotrimeric complex together with beta-galactosidase and cathepsin A (the latter is also referred to as 'protective protein'). Mutations in this gene can lead to sialidosis, a lysosomal storage disease that can be type 1 (cherry red spot-myoclonus syndrome or normosomatic type), which is late-onset, or type 2 (the dysmorphic type), which occurs at an earlier age with increased severity.
By Type
Cancer, Signal Transduction
Modifications
None
Purification
Affinity purification
Positive Control 1
Mouse liver
Positive Control 2
Rat liver
Concentration
batch dependent
Buffer
PBS with 0.02% sodium azide, 50% glycerol, pH7.3.
Application Note
WB: 1:500 - 1:2000
IHC: 1:50 - 1:200
Immunogen
Recombinant fusion protein containing a sequence corresponding to amino acids 156-415 of human NEU1 (NP_000425.1).
Clonality
Polyclonal
NCBI Official Name
sialidase 1 (lysosomal sialidase)
NCBI Organism
Homo sapiens
User Note
Optimal dilutions for each application to be determined by the researcher.

Note: The presented information and documents (Manual, Product Datasheet, Safety Datasheet and Certificate of Analysis) correspond to our latest update and should serve for orientational purpose only. We do not guarantee the topicality. We would kindly ask you to make a request for specific requirements, if necessary.

All products are intended for research use only (RUO). Not for human, veterinary or therapeutic use.

Amount: 100 uL
Available: In stock
available

Compare

Add to wishlist

Get an offer

Request delivery time

Ask a technical question

Submit a bulk request

Questions about this Product?
 
Close