Comparison

WBSCR22 Antibody

Item no. PRS-22-859-100uL
Manufacturer ProSci
Amount 100 uL
Quantity options 100 uL
Category
Type Antibody Primary
Format Liquid
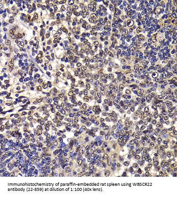
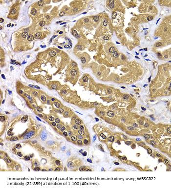
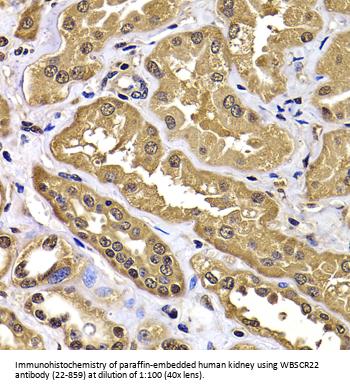
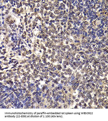
Applications WB, IF, IHC
Specific against Human (Homo sapiens), Rat (Rattus norvegicus)
Host Rabbit
Isotype IgG
Conjugate/Tag Unconjugated
NCBI WBSCR22
ECLASS 10.1 32160702
ECLASS 11.0 32160702
UNSPSC 12352203
Alias Probable 18S rRNA (guanine-N(7))-methyltransferase,211-,Bud site selection protein 23 homolog,Metastasis-related methyltransferase 1,Williams-Beuren syndrome chromosomal region 22 protein,WBSCR22,MERM1
Shipping Condition Cool pack
Available
Specificity Human,Rat
Manufacturer - Type
Primary Antibodies
Shipping Temperature
Blue Ice
Storage Conditions
Store at -20˚ C. Avoid freeze / thaw cycles.
Molecular Weight
Observed: 36kDa
Manufacturer - Research Area
Cancer, Signal Transduction
Background
This gene encodes a protein containing a nuclear localization signal and an S-adenosyl-L-methionine binding motif typical of methyltransferases, suggesting that the encoded protein may act on DNA methylation. This gene is deleted in Williams syndrome, a multisystem developmental disorder caused by the deletion of contiguous genes at 7q11.23. Alternatively spliced transcript variants have been found.
By Type
Cancer, Signal Transduction
Modifications
None
Purification
Affinity purification
Positive Control 1
NCI-H460
Positive Control 2
A-549
Concentration
batch dependent
Buffer
PBS with 0.02% sodium azide, 50% glycerol, pH7.3.
Application Note
WB: 1:500 - 1:2000
IHC: 1:50 - 1:200
IF: 1:50 - 1:100
Immunogen
Recombinant fusion protein containing a sequence corresponding to amino acids 1-281 of human WBSCR22 (NP_059998.2).
Clonality
Polyclonal
NCBI Official Name
Probable 18S rRNA (guanine-N(7))-methyltransferase
NCBI Organism
Homo sapiens
User Note
Optimal dilutions for each application to be determined by the researcher.

Note: The presented information and documents (Manual, Product Datasheet, Safety Datasheet and Certificate of Analysis) correspond to our latest update and should serve for orientational purpose only. We do not guarantee the topicality. We would kindly ask you to make a request for specific requirements, if necessary.

All products are intended for research use only (RUO). Not for human, veterinary or therapeutic use.

Amount: 100 uL
Available: In stock
available

Compare

Add to wishlist

Get an offer

Request delivery time

Ask a technical question

Submit a bulk request

Questions about this Product?
 
Close