Comparison

SMAD9 Antibody

Item no. PRS-23-001-100uL
Manufacturer ProSci
Amount 100 uL
Quantity options 100 uL
Category
Type Antibody Primary
Format Liquid
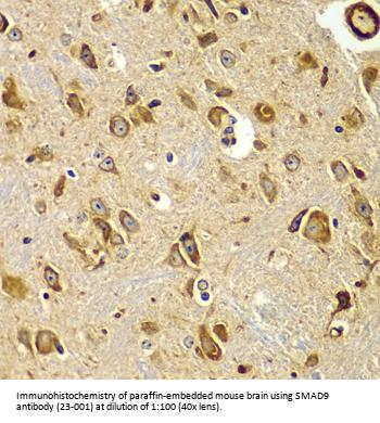
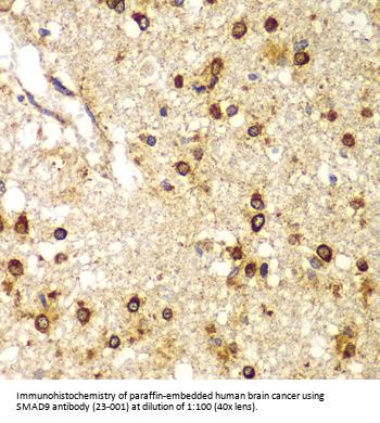
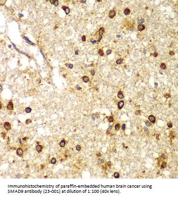
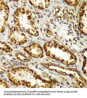
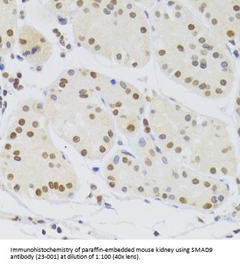
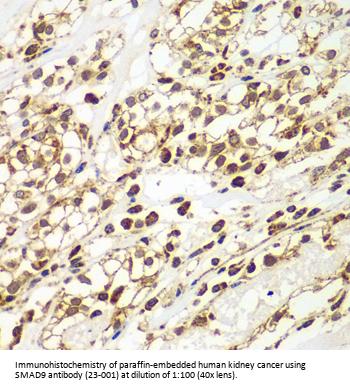
Applications WB, IF, IHC
Specific against Human (Homo sapiens), Mouse (Murine, Mus musculus), Rat (Rattus norvegicus)
Host Rabbit
Isotype IgG
Conjugate/Tag Unconjugated
NCBI SMAD9
ECLASS 10.1 32160702
ECLASS 11.0 32160702
UNSPSC 12352203
Shipping Condition Cool pack
Available
Specificity Human,Mouse,Rat
Manufacturer - Type
Primary Antibodies
Shipping Temperature
Blue Ice
Storage Conditions
Store at -20˚ C. Avoid freeze / thaw cycles.
Molecular Weight
Observed: 45-52kDa
Manufacturer - Research Area
Cancer, Cell Cycle, Signal Transduction, Stem Cell
Background
The protein encoded by this gene is a member of the SMAD family, which transduces signals from TGF-beta family members. The encoded protein is activated by bone morphogenetic proteins and interacts with SMAD4. Two transcript variants encoding different isoforms have been found for this gene.
By Type
Cancer, Cell Cycle, Signal Transduction, Stem Cell
Modifications
None
Purification
Affinity purification
Positive Control 1
HepG2
Positive Control 2
293T
Positive Control 3
A-549
Concentration
batch dependent
Buffer
PBS with 0.02% sodium azide, 50% glycerol, pH7.3.
Application Note
WB: 1:500 - 1:2000
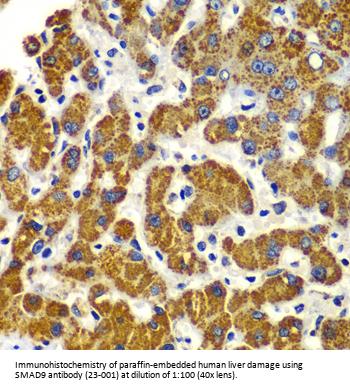
IHC: 1:50 - 1:200
IF: 1:50 - 1:200
Immunogen
Recombinant fusion protein containing a sequence corresponding to amino acids 1-300 of human SMAD9 (NP_005896.1).
Clonality
Polyclonal
NCBI Official Name
SMAD family member 9
NCBI Organism
Homo sapiens
User Note
Optimal dilutions for each application to be determined by the researcher.
Manufacturer - Additional Names
SMAD9, SMAD, mothers against DPP homolog 9 (Drosophila)], HGNC:6774, MADH6, MADH9, SMAD8A, SMAD8B, MAD (mothers against decapentaplegic, Drosophila) homolog 9, MAD, mothers against decapentaplegic homolog 9, mothers against decapentaplegic homolog 9 (Drosophila), Mothers against decapentaplegic, drosophila, homolog of, 9

Note: The presented information and documents (Manual, Product Datasheet, Safety Datasheet and Certificate of Analysis) correspond to our latest update and should serve for orientational purpose only. We do not guarantee the topicality. We would kindly ask you to make a request for specific requirements, if necessary.

All products are intended for research use only (RUO). Not for human, veterinary or therapeutic use.

Amount: 100 uL
Available: In stock
available

Compare

Add to wishlist

Get an offer

Request delivery time

Ask a technical question

Submit a bulk request

Questions about this Product?
 
Close