Comparison

ADAR Antibody

Item no. PRS-23-240-100uL
Manufacturer ProSci
Amount 100 uL
Quantity options 100 uL
Category
Type Antibody Primary
Format Liquid
Applications WB, IF, IHC
Specific against Human (Homo sapiens), Mouse (Murine, Mus musculus), Rat (Rattus norvegicus)
Host Rabbit
Isotype IgG
Conjugate/Tag Unconjugated
NCBI ADAR
ECLASS 10.1 32160702
ECLASS 11.0 32160702
UNSPSC 12352203
Shipping Condition Cool pack
Available
Specificity Human,Mouse,Rat
Manufacturer - Type
Primary Antibodies
Shipping Temperature
Blue Ice
Storage Conditions
Store at -20˚ C. Avoid freeze / thaw cycles.
Molecular Weight
Observed: 136kDa
Manufacturer - Research Area
Other
Background
This gene encodes the enzyme responsible for RNA editing by site-specific deamination of adenosines. This enzyme destabilizes double-stranded RNA through conversion of adenosine to inosine. Mutations in this gene have been associated with dyschromatosis symmetrica hereditaria. Alternative splicing results in multiple transcript variants.
By Type
Other
Modifications
None
Purification
Affinity purification
Positive Control 1
U-87MG
Positive Control 2
A549
Positive Control 3
DU145
Positive Control 4
HeLa
Positive Control 5
HepG2
Concentration
batch dependent
Buffer
PBS with 0.02% sodium azide, 50% glycerol, pH7.3.
Application Note
WB: 1:500 - 1:2000
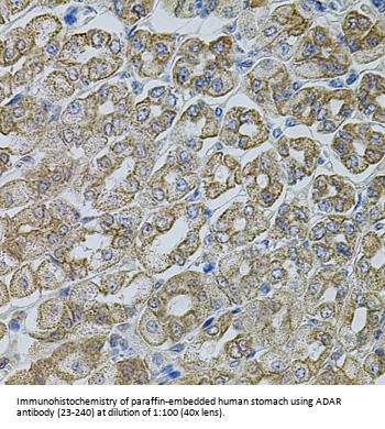
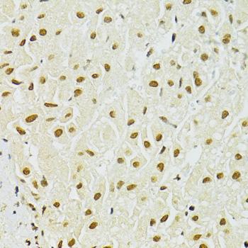
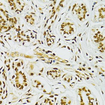
IHC: 1:50 - 1:200
IF: 1:50 - 1:200
Immunogen
A synthetic peptide corresponding to a sequence within amino acids 150-250 of human ADAR (NP_001102.2).
Clonality
Polyclonal
NCBI Official Name
adenosine deaminase RNA specific
NCBI Organism
Homo sapiens
User Note
Optimal dilutions for each application to be determined by the researcher.
Manufacturer - Additional Names
ADAR1, AGS6, DRADA, DSH, DSRAD, G1P1, IFI-4, IFI4, K88DSRBP, P136, double-stranded RNA-specific adenosine deaminase, 136 kDa double-stranded RNA-binding protein, adenosine deaminase acting on RNA 1-A, dsRNA adenosine deaminase, dsRNA adeonosine deaminase, interferon-induced protein 4, interferon-inducible protein 4

Note: The presented information and documents (Manual, Product Datasheet, Safety Datasheet and Certificate of Analysis) correspond to our latest update and should serve for orientational purpose only. We do not guarantee the topicality. We would kindly ask you to make a request for specific requirements, if necessary.

All products are intended for research use only (RUO). Not for human, veterinary or therapeutic use.

Amount: 100 uL
Available: In stock
available

Compare

Add to wishlist

Get an offer

Request delivery time

Ask a technical question

Submit a bulk request

Questions about this Product?
 
Close