Comparison

Anti-BDNF Rabbit Monoclonal Antibody European Partner

Item no. BOS-M00035-2
Manufacturer Boster
Amount 100 ul/vial
Quantity options 100 ul/vial 30 ul
Category
Type Antibody Monoclonal
Format Liquid
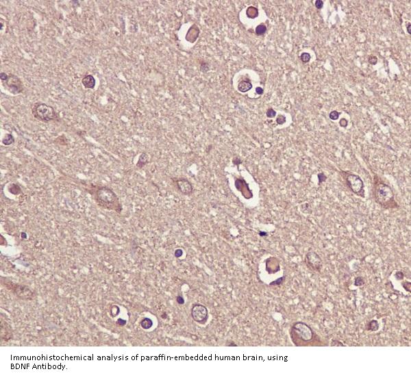
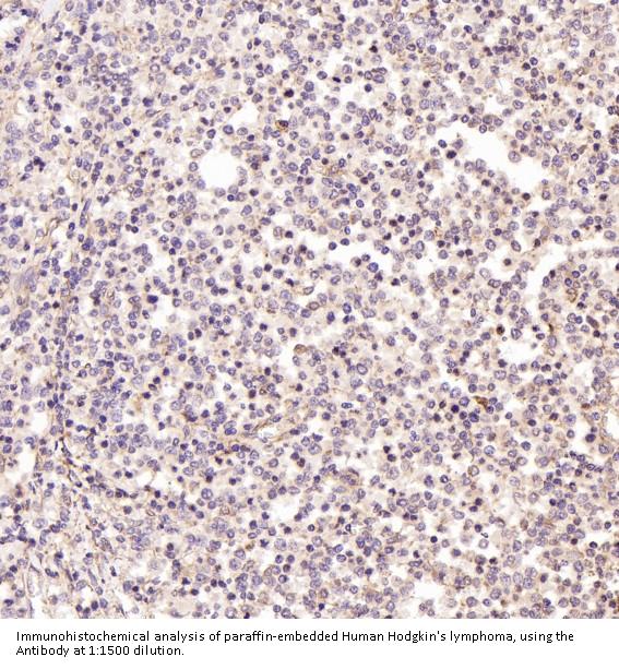
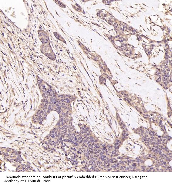
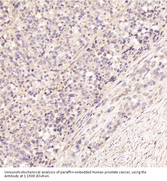
Applications WB, IF, IHC, ICC
Clone 17B21
Specific against Human (Homo sapiens), Mouse (Murine, Mus musculus), Rat (Rattus norvegicus)
Host Rabbit
Isotype IgG
Sensitivity <15 pg/ml
ECLASS 10.1 42030590
ECLASS 11.0 42030590
UNSPSC 12352203
Alias Brain-derived neurotrophic factor,BDNF,Abrineurin,BDNF
Available
Manufacturer - Category
Primary Antibodies, Rabbit Monoclonal Antibodies
Storage Conditions
Store at -20°C for one year. For short term storage and frequent use, store at 4°C for up to one month. Avoid repeated freeze-thaw cycles.
Observed Molecular weight
110 kDa
Calculated Molecular weight
27818 MW
Clonality
Monoclonal
Application Details
WB 1:1000-1:2000
IHC 1:50-1:200
ICC/IF 1:50-1:200
Gene Name
BDNF
Gene Full Name
Brain-derived neurotrophic factor
Immunogen
A synthesized peptide derived from human BDNF
Contents
Rabbit IgG in phosphate buffered saline, pH 7.4, 150mM NaCl, 0.02% sodium azide and 50% glycerol, 0.4-0.5mg/ml BSA.
Purification
Affinity-chromatography
Reconstitution
Restore with deionized water (or equivalent) for reconstitution volume of 1.0 mL
Concentration
0.5mg/ml
Manufacturer - Research Category
Alzheimer's Disease, Atherosclerosis, Cardiovascular, Diabetes, Diabetes-associated, Growth and Development, Metabolism, Neurodegenerative Disease, Neurology Process, Neuroscience, Obesity
Protein Name
P2X purinoceptor 1
Protein Function
During development, promotes the survival and differentiation of selected neuronal populations of the peripheral and central nervous systems. Participates in axonal growth, pathfinding and in the modulation of dendritic growth and morphology. Major regulator of synaptic transmission and plasticity at adult synapses in many regions of the CNS. The versatility of BDNF is emphasized by its contribution to a range of adaptive neuronal responses including long-term potentiation (LTP), long-term depression (LTD), certain forms of short-term synaptic plasticity, as well as homeostatic regulation of intrinsic neuronal excitability.
Subcellular Localization
Secreted.
Description
Boster Bio Anti-BDNF Rabbit Monoclonal Antibody catalog # M00035-2. Tested in WB, IHC, ICC/IF applications. This antibody reacts with Human, Mouse, Rat.
Tissue Specificity
Brain. Highly expressed in hippocampus, amygdala, cerebral cortex and cerebellum. Also expressed in heart, lung, skeletal muscle, testis, prostate and placenta.

Note: The presented information and documents (Manual, Product Datasheet, Safety Datasheet and Certificate of Analysis) correspond to our latest update and should serve for orientational purpose only. We do not guarantee the topicality. We would kindly ask you to make a request for specific requirements, if necessary.

All products are intended for research use only (RUO). Not for human, veterinary or therapeutic use.

Amount: 100 ul/vial
Available: In stock
available

Delivery expected until 12/4/2025 

Compare

Add to wishlist

Get an offer

Request delivery time

Ask a technical question

Submit a bulk request

Questions about this Product?