Comparison

Anti-SP1 Antibody Picoband® (monoclonal, 3C4C3) European Partner

Item no. BOS-M00110-2
Manufacturer Boster
Amount 100 ug/vial
Quantity options 100 ug/vial 10 ug 100 ug 100 ug 100 ug 100 ug 100 ug 100 ug 100 ug 100 ug 100 ug 100 ug
Category
Type Antibody Monoclonal
Format Lyophilized
Applications WB, FC, IF, IHC, ICC
Clone 3C4C3
Specific against Human (Homo sapiens)
Host Mouse
Isotype IgG1
Citations 1. Gaynor, R. B., Shieh, B.-H., Klisak, I., Sparkes, R. S., Lusis, A. J.Localization of the transcription factor SP1 gene to human chromosome 12q12-q13.2.Cytogenet. Cell Genet. 64: 210-212, 1993.
2. Matera, A. G., Ward, D. C.Localization of the human Sp1 transcription factor gene to 12q13 by fluorescence in situ hybridization.Genomics 17: 793-794, 1993.
3. Wimmer, E. A., Jackle, H., Pfeifle, C., Cohen, S. M.A Drosophila homologue of human Sp1 is a head-specific segmentation gene.Nature 366: 690-694, 1993.Wimmer, E. A., Jackle, H., Pfeifle, C., Cohen, S. M.A Drosophila homologue of human Sp1 is a head-specific segmentation gene.Nature 366: 690-694, 1993.
ECLASS 10.1 42030590
ECLASS 11.0 42030590
UNSPSC 12352203
Alias Interleukin-6,IL-6,B-cell stimulatory factor 2,BSF-2,CTL differentiation factor,CDF,Hybridoma growth factor,Interferon beta-2,IFN-beta-2,IL6,IFNB2
Available
Manufacturer - Category
Primary Antibodies
Storage Conditions
At -20°C for one year from date of receipt.
After reconstitution, at 4°C for one month. It can also be aliquotted and stored frozen at -20°C for six months.
Avoid repeated freezing and thawing.
Observed Molecular weight
90 kDa
Clonality
Monoclonal
Application Details
Western blot, 0.25-0.5 μg/ml, Human
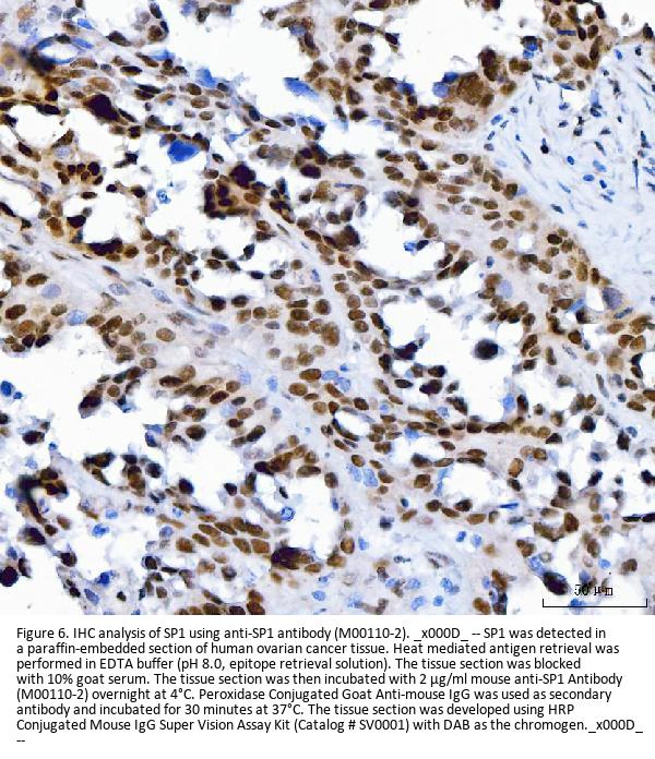
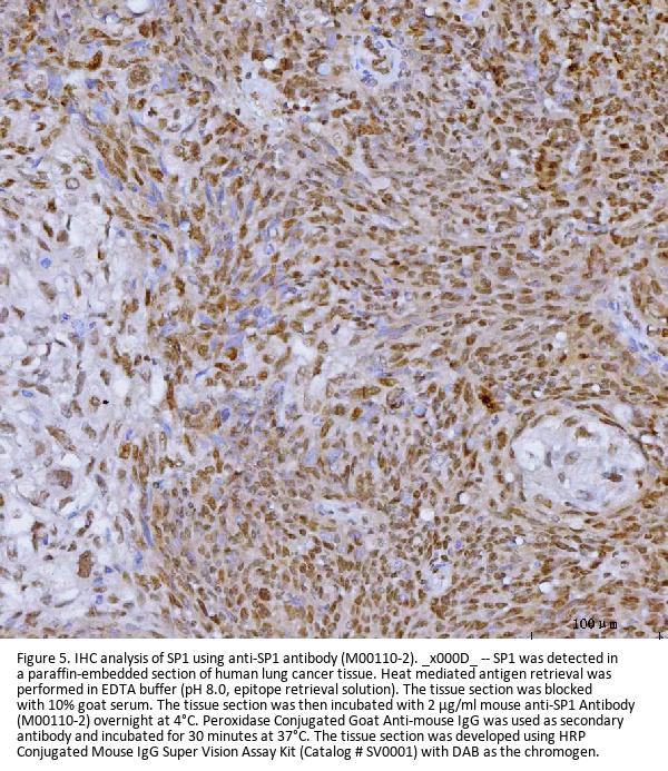
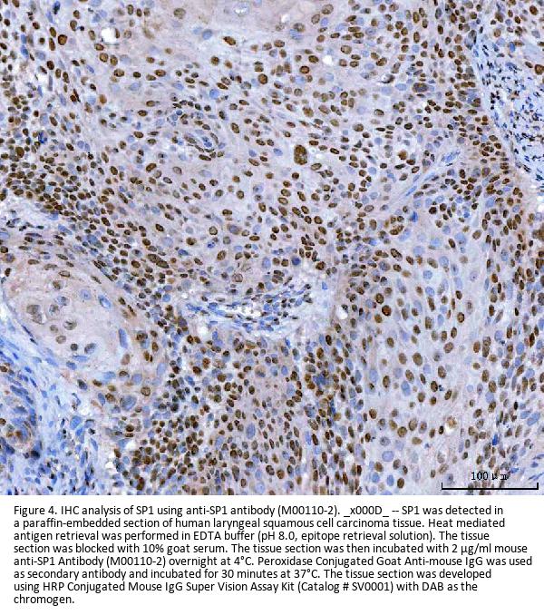
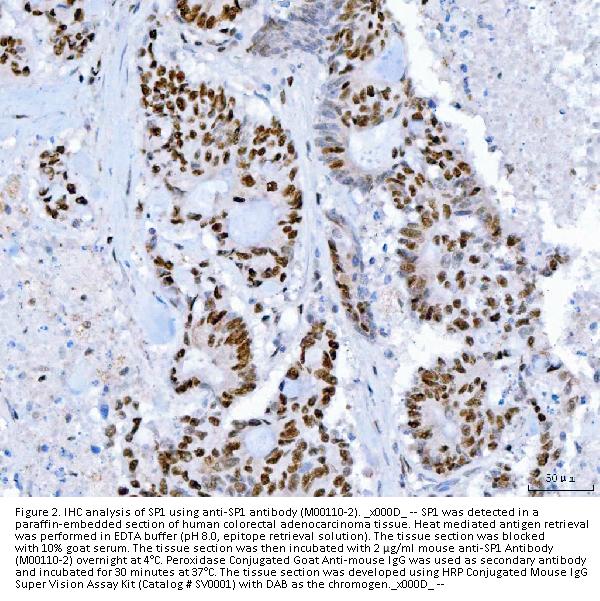
Immunohistochemistry(Paraffin-embedded Section), 2-5 μg/ml, Human
Immunocytochemistry/Immunofluorescence, 5 μg/ml, Human
Flow Cytometry (Fixed), 1-3 μg/1x106 cells, Human
Gene Name
SP1
Gene Full Name
interleukin 6
Manufacturer - Specificity
No cross-reactivity with other proteins.
Background
Transcription factor Sp1, also known as specificity protein 1* is a protein that in humans is encoded by the SP1 gene. The protein encoded by this gene is a zinc finger transcription factor that binds to GC-rich motifs of many promoters. The encoded protein is involved in many cellular processes, including cell differentiation, cell growth, apoptosis, immune responses, response to DNA damage, and chromatin remodeling. Post-translational modifications such as phosphorylation, acetylation, glycosylation, and proteolytic processing significantly affect the activity of this protein, which can be an activator or a repressor. Three transcript variants encoding different isoforms have been found for this gene.
Immunogen
E. coli-derived human SP1 recombinant protein (Position: Q384-A603).
Contents
Each vial contains 4 mg Trehalose, 0.9 mg NaCl and 0.2 mg Na2HPO4.
Purification
Immunogen affinity purified.
Reconstitution
Adding 0.2 ml of distilled water will yield a concentration of 500 μg/ml.
Concentration
Adding 0.2 ml of distilled water will yield a concentration of 500 μg/ml.
Manufacturer - Research Category
Cadherins, Calcium Binding Proteins, Calcium Signaling, Cancer, Cell Adhesion, Cytoskeleton/ECM, Invasion/Microenvironment, Signal Transduction, Signaling Pathway
Protein Function
Cytokine with a wide variety of biological functions. It is a potent inducer of the acute phase response. Plays an essential role in the final differentiation of B-cells into Ig-secreting cells Involved in lymphocyte and monocyte differentiation. Acts on B-cells, T-cells, hepatocytes, hematopoietic progenitor cells and cells of the CNS. Required for the generation of T (H)17 cells. Also acts as a myokine. It is discharged into the bloodstream after muscle contraction and acts to increase the breakdown of fats and to improve insulin resistance. It induces myeloma and plasmacytoma growth and induces nerve cells differentiation.
Subcellular Localization
Secreted
Description
Boster Bio Anti-SP1 Antibody Picoband® (monoclonal, 3C4C3) catalog # M00110-2. Tested in Flow Cytometry, IF, ICC, IHC, WB applications. This antibody reacts with Human. The brand Picoband indicates this is a premium antibody that guarantees superior quality, high affinity, and strong signals with minimal background in Western blot applications. Only our best-performing antibodies are designated as Picoband, ensuring unmatched performance.
Tissue Specificity
Ubiquituous. Expressed in platelets.
Manufacturer - Cross Reactivity
No cross-reactivity with other proteins.

Note: The presented information and documents (Manual, Product Datasheet, Safety Datasheet and Certificate of Analysis) correspond to our latest update and should serve for orientational purpose only. We do not guarantee the topicality. We would kindly ask you to make a request for specific requirements, if necessary.

All products are intended for research use only (RUO). Not for human, veterinary or therapeutic use.

Amount: 100 ug/vial
Available: In stock
available

Delivery expected until 12/4/2025 

Compare

Add to wishlist

Get an offer

Request delivery time

Ask a technical question

Submit a bulk request

Questions about this Product?