Comparison

Anti-EIF3e Antibody Picoband® (monoclonal, 10F5H6) European Partner

Item no. BOS-M00481-1
Manufacturer Boster
Amount 100 ug/vial
Quantity options 100 ug/vial 10 ug 100 ug 100 ug 100 ug 100 ug 100 ug 100 ug 100 ug 100 ug 100 ug 100 ug
Category
Type Antibody Monoclonal
Format Lyophilized
Applications WB, FC
Clone 10F5H6
Specific against Human (Homo sapiens), Mouse (Murine, Mus musculus), Rat (Rattus norvegicus)
Host Mouse
Isotype IgG2b
Sensitivity >5000 cells
Citations 1. Asano K, Merrick WC, Hershey JW (October 1997). The translation initiation factor eIF3-p48 subunit is encoded by int-6, a site of frequent integration by the mouse mammary tumor virus genome. J. Biol. Chem. 272 (38): 23477–80.
2. Miyazaki, S., Imatani, A., Ballard, L., Marchetti, A., Buttitta, F., Albertsen, H., Nevanlinna, H. A., Gallahan, D., Callahan, R. The chromosome location of the human homolog of the mouse mammary tumor-associated gene INT6 and its status in human breast carcinomas. Genomics 46: 155-158, 1997.
ECLASS 10.1 42030590
ECLASS 11.0 42030590
UNSPSC 12352203
Alias T-cell surface glycoprotein CD5,Lymphocyte antigen T1/Leu-1,CD5,CD5,LEU1
Available
Manufacturer - Category
Primary Antibodies
Storage Conditions
At -20°C for one year from date of receipt. After reconstitution, at 4°C for one month. It can also be aliquotted and stored frozen at -20°C for six months. Avoid repeated freezing and thawing.
Observed Molecular weight
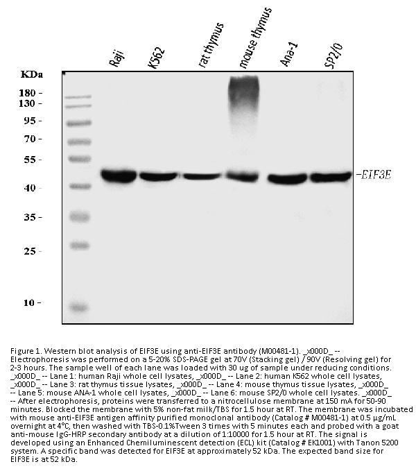
52 kDa
Clonality
Monoclonal
Application Details
Western blot, 0.25-0.5 μg/ml, Human, Mouse, Rat
Flow Cytometry (Fixed), 1-3 μg/1x106 cells, Human
Gene Name
EIF3E
Gene Full Name
CD5 molecule
Manufacturer - Specificity
No cross-reactivity with other proteins.
Background
Eukaryotic translation initiation factor 3 subunit E is a protein that in humans is encoded by the EIF3E gene. The human homolog of EIF3E is located on chromosome region 8q22-q23. It is composed of 13 exons that span 45 kb of genomic DNA. EIF3E is the component of the eukaryotic translation initiation factor 3 (eIF-3) complex, which is required for several steps in the initiation of protein synthesis ts localization/assembly. The eIF-3 complex associates with the 40S ribosome and facilitates the recruitment of eIF-1, eIF-1A, eIF-2:GTP:methionyl-tRNAi and eIF-5 to form the 43S pre-initiation complex (43S PIC). And the eIF-3 complex stimulates mRNA recruitment to the 43S PIC and scanning of the mRNA for AUG recognition. The eIF-3 complex is also required for disassembly and recycling of post-termination ribosomal complexes and subsequently prevents premature joining of the 40S and 60S ribosomal subunits prior to initiation.
Immunogen
E.coli-derived human EIF3e recombinant protein (Position: A160-Q241). Human EIF3e shares 100% amino acid (aa) sequence identity with both mouse and rat EIF3e.
Contents
Each vial contains 4 mg Trehalose, 0.9 mg NaCl and 0.2 mg Na2HPO4.
Purification
Immunogen affinity purified.
Reconstitution
Adding 0.2 ml of distilled water will yield a concentration of 500 μg/ml.
Concentration
Adding 0.2 ml of distilled water will yield a concentration of 500 μg/ml.
Manufacturer - Research Category
Cell Adhesion, Cell Type Markers, Cytoskeleton/ECM, Hematopoietic Progenitors, Immunology, Integrins, Myeloid, Signal Transduction, Stem Cells
Protein Name
Integrin beta-2
Protein Function
May act as a receptor in regulating T-cell proliferation.
Subcellular Localization
Cell membrane; Single-pass type I membrane protein
Description
Boster Bio Anti-EIF3e Antibody Picoband® (monoclonal, 10F5H6) catalog # M00481-1. Tested in Flow Cytometry, WB applications. This antibody reacts with Human, Mouse, Rat. The brand Picoband indicates this is a premium antibody that guarantees superior quality, high affinity, and strong signals with minimal background in Western blot applications. Only our best-performing antibodies are designated as Picoband, ensuring unmatched performance.
Tissue Specificity
Brain, liver, placenta, lymphocytes and erythrocytes.
Manufacturer - Cross Reactivity
No cross-reactivity with other proteins.

Note: The presented information and documents (Manual, Product Datasheet, Safety Datasheet and Certificate of Analysis) correspond to our latest update and should serve for orientational purpose only. We do not guarantee the topicality. We would kindly ask you to make a request for specific requirements, if necessary.

All products are intended for research use only (RUO). Not for human, veterinary or therapeutic use.

Amount: 100 ug/vial
Available: In stock
available

Delivery expected until 12/4/2025 

Compare

Add to wishlist

Get an offer

Request delivery time

Ask a technical question

Submit a bulk request

Questions about this Product?