Comparison

Anti-FGF19 Rabbit Monoclonal Antibody European Partner

Item no. BOS-M01191
Manufacturer Boster
Amount 100 ul/vial
Quantity options 100 ul/vial 30 ul
Category
Type Antibody Monoclonal
Format Liquid
Applications WB
Clone 24F22
Specific against Human (Homo sapiens), Mouse (Murine, Mus musculus), Rat (Rattus norvegicus)
Host Rabbit
Isotype IgG
Sensitivity <10 pg/ml
ECLASS 10.1 42030590
ECLASS 11.0 42030590
UNSPSC 12352203
Alias Cell division cycle 7-related protein kinase,CDC7-related kinase,HsCdc7,huCdc7,2.7.11.1,CDC7,CDC7L1
Available
Manufacturer - Category
Primary Antibodies, Rabbit Monoclonal Antibodies
Storage Conditions
Store at -20°C for one year. For short term storage and frequent use, store at 4°C for up to one month. Avoid repeated freeze-thaw cycles.
Observed Molecular weight
36 kDa
Calculated Molecular weight
63888 MW
Clonality
Monoclonal
Application Details
WB 1:500-2000
Gene Name
FGF19
Gene Full Name
Cell division cycle 7-related protein kinase
Immunogen
A synthesized peptide derived from human FGF19
Contents
Rabbit IgG in phosphate buffered saline, pH 7.4, 150mM NaCl, 0.02% sodium azide and 50% glycerol, 0.4-0.5mg/ml BSA.
Purification
Affinity-chromatography
Reconstitution
Restore with deionized water (or equivalent) for reconstitution volume of 1.0 mL
Concentration
0.5mg/ml
Manufacturer - Research Category
Cell Biology, Cell Cycle, Epigenetics and Nuclear Signaling, Kinases/Phosphatases
Protein Name
Glycogen synthase kinase-3 beta (gsk3b)
Protein Function
Seems to phosphorylate critical substrates that regulate the G1/S phase transition and/or DNA replication. Can phosphorylates MCM2 and MCM3.
Subcellular Localization
Nucleus.
Description
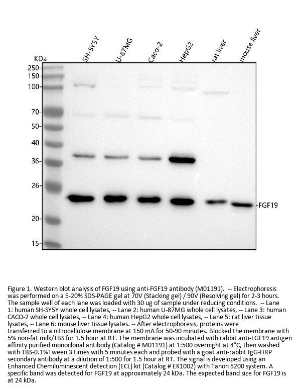
Boster Bio Anti-FGF19 Rabbit Monoclonal Antibody catalog # M01191. Tested in WB application. This antibody reacts with Human, Mouse, Rat.
Tissue Specificity
Expressed primarily in cells of the hematopoietic and germline lineages. Isoform 1 and isoform 2 are both expressed in prostate cancer cell lines.

Note: The presented information and documents (Manual, Product Datasheet, Safety Datasheet and Certificate of Analysis) correspond to our latest update and should serve for orientational purpose only. We do not guarantee the topicality. We would kindly ask you to make a request for specific requirements, if necessary.

All products are intended for research use only (RUO). Not for human, veterinary or therapeutic use.

Amount: 100 ul/vial
Available: In stock
available

Delivery expected until 12/4/2025 

Compare

Add to wishlist

Get an offer

Request delivery time

Ask a technical question

Submit a bulk request

Questions about this Product?