Comparison

Anti-FBP1 Rabbit Monoclonal Antibody European Partner

Item no. BOS-M01377
Manufacturer Boster
Amount 100 ul/vial
Quantity options 100 ul/vial 30 ul
Category
Type Antibody Monoclonal
Format Liquid
Applications WB, IF, IP, ICC
Clone 21F87
Specific against Human (Homo sapiens), Mouse (Murine, Mus musculus), Rat (Rattus norvegicus)
Host Rabbit
Isotype IgG
Sensitivity >5000 cells
ECLASS 10.1 42030590
ECLASS 11.0 42030590
UNSPSC 12352203
Alias Cell division control protein 45 homolog,PORC-PI-1,CDC45,CDC45L,CDC45L2,UNQ374/PRO710
Available
Manufacturer - Category
Primary Antibodies, Rabbit Monoclonal Antibodies
Storage Conditions
Store at -20°C for one year. For short term storage and frequent use, store at 4°C for up to one month. Avoid repeated freeze-thaw cycles.
Observed Molecular weight
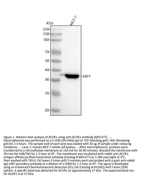
37 kDa
Calculated Molecular weight
65569 MW
Clonality
Monoclonal
Application Details
WB 1:500-2000
ICC/IF 1:50-200
IP 1:50
Gene Name
FBP1
Gene Full Name
Cell division control protein 45 homolog
Immunogen
A synthesized peptide derived from human FBP1
Contents
Rabbit IgG in phosphate buffered saline, pH 7.4, 150mM NaCl, 0.02% sodium azide and 50% glycerol, 0.4-0.5mg/ml BSA.
Purification
Affinity-chromatography
Reconstitution
Restore with deionized water (or equivalent) for reconstitution volume of 1.0 mL
Concentration
0.5mg/ml
Manufacturer - Research Category
Cell Biology, Cell Cycle, Cell Division, DNA/RNA, DNA Synthesis, Epigenetics and Nuclear Signaling
Protein Name
Glycogen synthase kinase-3 beta (gsk3b)
Protein Function
Required for initiation of chromosomal DNA replication.
Subcellular Localization
Cytoplasm. Nucleus.
Description
Boster Bio Anti-FBP1 Rabbit Monoclonal Antibody catalog # M01377. Tested in WB, ICC/IF, IP applications. This antibody reacts with Human, Mouse, Rat.
Tissue Specificity
Widely expressed, highest levels are found in adult testis and thymus and in fetal liver.

Note: The presented information and documents (Manual, Product Datasheet, Safety Datasheet and Certificate of Analysis) correspond to our latest update and should serve for orientational purpose only. We do not guarantee the topicality. We would kindly ask you to make a request for specific requirements, if necessary.

All products are intended for research use only (RUO). Not for human, veterinary or therapeutic use.

Amount: 100 ul/vial
Available: In stock
available

Delivery expected until 12/4/2025 

Compare

Add to wishlist

Get an offer

Request delivery time

Ask a technical question

Submit a bulk request

Questions about this Product?