Comparison

Anti-Hexokinase 1/HK1 Antibody Picoband® (monoclonal, 2I4) European Partner

Item no. BOS-M01504-1
Manufacturer Boster
Amount 100 ug/vial
Quantity options 100 ug/vial 10 ug 100 ug 100 ug 100 ug 100 ug 100 ug 100 ug 100 ug 100 ug 100 ug 100 ug
Category
Type Antibody Monoclonal
Format Lyophilized
Applications WB, FC, IF, IHC, ICC, IHC-F
Clone 2I4
Specific against Human (Homo sapiens), Mouse (Murine, Mus musculus), Rat (Rattus norvegicus)
Host Mouse
Isotype IgG2b
Sensitivity >5000 cells
Citations 1. Andreoni, F., Ruzzo, A., Magnani, M. Structure of the 5-prime region of the human hexokinase type I (HKI) gene and identification of an additional testis-specific HKI mRNA. Biochim. Biophys. Acta 1493: 19-26, 2000.
2. Bianchi, M., Crinelli, R., Serafini, G. Giammarini, C., Magnani, M. Molecular bases of hexokinase deficiency. Biochim. Biophys. Acta 1360: 211-221, 1997.
3. Bianchi, M., Magnani, M. Hexokinase mutations that produce nonspherocytic hemolytic anemia. Blood Cells Mol. Dis. 21: 2-8, 1995.
ECLASS 10.1 42030590
ECLASS 11.0 42030590
UNSPSC 12352203
Alias Hexokinase-1,Brain form hexokinase,Hexokinase type I,HK I,HK1
Available
Manufacturer - Category
Primary Antibodies
Storage Conditions
Store at -20°C for one year from date of receipt. After reconstitution, at 4°C for one month. It can also be aliquotted and stored frozen at -20°C for six months. Avoid repeated freeze-thaw cycles.
Observed Molecular weight
120 kDa
Clonality
Monoclonal
Application Details
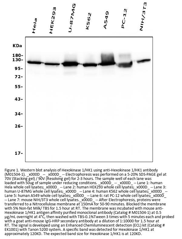
Western blot, 0.1-0.5μg/ml, Human, Mouse, Rat
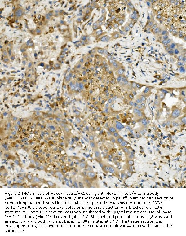
Immunohistochemistry (Paraffin-embedded Section), 0.5-1μg/ml, Human
Immunohistochemistry (Frozen Section), 0.5-1μg/ml, Human
Immunocytochemistry/Immunofluorescence, 2μg/ml, Human
Immunofluorescence, 2μg/ml, Human
Flow Cytometry (Fixed), 1-3μg/1x106 cells, Human
Gene Name
HK1
Gene Full Name
hexokinase 1
Manufacturer - Specificity
No cross reactivity with other proteins.
Background
Hexokinase-1 (HK1) is an enzyme that in humans is encoded by the HK1 gene on chromosome 10. It is mapped to 10q22.1. Hexokinases phosphorylate glucose to produce glucose-6-phosphate, the first step in most glucose metabolism pathways. This gene encodes a ubiquitous form of hexokinase which localizes to the outer membrane of mitochondria. Mutations in this gene have been associated with hemolytic anemia due to hexokinase deficiency. Alternative splicing of this gene results in several transcript variants which encode different isoforms, some of which are tissue-specific.
Immunogen
E.coli-derived human Hexokinase 1/HK1 recombinant protein (Position: D17-R323).
Contents
Each vial contains 4mg Trehalose, 0.9mg NaCl, 0.2mg Na2HPO4, 0.05mg NaN3.
Purification
Immunogen affinity purified.
Reconstitution
Add 0.2ml of distilled water will yield a concentration of 500ug/ml.
Concentration
Adding 0.2 ml of distilled water will yield a concentration of 500 μg/ml.
Manufacturer - Research Category
DNA/RNA, Epigenetics and Nuclear Signaling, RNA Processing
Protein Name
CD79b molecule
Protein Function
Catalyzes the phosphorylation of various hexoses, such as D-glucose, D-glucosamine, D-fructose, D-mannose and 2-deoxy-D-glucose, to hexose 6-phosphate (D-glucose 6-phosphate, D-glucosamine 6-phosphate, D-fructose 6-phosphate, D-mannose 6-phosphate and 2-deoxy-D-glucose 6-phosphate, respectively). Does not phosphorylate N-acetyl-D-glucosamine. Mediates the initial step of glycolysis by catalyzing phosphorylation of D-glucose to D-glucose 6-phosphate. Involved in innate immunity and inflammation by acting as a pattern recognition receptor for bacterial peptidoglycan. When released in the cytosol, N-acetyl-D-glucosamine component of bacterial peptidoglycan inhibits the hexokinase activity of HK1 and causes its dissociation from mitochondrial outer membrane, thereby activating the NLRP3 inflammasome.
Subcellular Localization
Cytosol. Mitochondrion outer membrane. Peripheral membrane protein.
Description
Boster Bio Anti-Hexokinase 1/HK1 Antibody Picoband® (monoclonal, 2I4) catalog # M01504-1. Tested in Flow Cytometry, IF, IHC, IHC-F, ICC, WB applications. This antibody reacts with Human, Mouse, Rat. The brand Picoband indicates this is a premium antibody that guarantees superior quality, high affinity, and strong signals with minimal background in Western blot applications. Only our best-performing antibodies are designated as Picoband, ensuring unmatched performance.
Tissue Specificity
Ubiquitous.
Manufacturer - Cross Reactivity
No cross-reactivity with other proteins.

Note: The presented information and documents (Manual, Product Datasheet, Safety Datasheet and Certificate of Analysis) correspond to our latest update and should serve for orientational purpose only. We do not guarantee the topicality. We would kindly ask you to make a request for specific requirements, if necessary.

All products are intended for research use only (RUO). Not for human, veterinary or therapeutic use.

Amount: 100 ug/vial
Available: In stock
available

Delivery expected until 12/4/2025 

Compare

Add to wishlist

Get an offer

Request delivery time

Ask a technical question

Submit a bulk request

Questions about this Product?