Comparison

Anti-FABP4 Antibody Picoband® (monoclonal, 10E12) European Partner

Item no. BOS-M01528-2
Manufacturer Boster
Amount 100 ug/vial
Quantity options 100 ug/vial 10 ug 100 ug 100 ug 100 ug 100 ug 100 ug 100 ug 100 ug 100 ug 100 ug 100 ug
Category
Type Antibody Monoclonal
Format Lyophilized
Applications WB, IHC
Clone 10E12
Specific against Human (Homo sapiens), Mouse (Murine, Mus musculus), Rat (Rattus norvegicus)
Host Mouse
Isotype IgG1
Sensitivity >5000 cells
Citations 1. Hotamisligil, G. S.; Johnson, R. S.; Distel, R. J.; Ellis, R.; Papaioannou, V. E.; Spiegelman, B. M. : Uncoupling of obesity from insulin resistance through a targeted mutation in aP2, the adipocyte fatty acid binding protein. Science 274: 1377-1379, 1996.
2. Furuhashi, M.; Tuncman, G.; Gorgun, C. Z.; Makowski, L.; Atsumi, G.; Vaillancourt, E.; Kono, K.; Babaev, V. R.; Fazio, S.; Linton, M. F.; Sulsky, R.; Robl, J. A.; Parker, R. A.; Hotamisligil, G. S. : Treatment of diabetes and atherosclerosis by inhibiting fatty-acid-binding protein aP2. Nature 447: 959-965, 2007.
3. Shum, B. O. V.; Mackay, C. R.; Gorgun, C. Z.; Frost, M. J.; Kumar, R. K.; Hotamisligil, G. S.; Rolph, M. S. : The adipocyte fatty acid-binding protein aP2 is required in allergic airway inflammation. J. Clin. Invest. 116: 2183-2192, 2006.
ECLASS 10.1 42030590
ECLASS 11.0 42030590
UNSPSC 12352203
Alias Adhesion molecule antibody,CD31 antibody,CD31 antigen antibody,CD31 EndoCAM antibody,Endocam antibody,FLJ34100 antibody,FLJ58394 antibody,GPIIA antibody,GPIIA' antibody,PECA1 antibody,PECA1_HUMAN antibody,Pecam 1 antibody,PECAM 1 CD31 EndoCAM antibody,PECAM antibody,PECAM-1 antibody,Pecam1 antibody,Platelet endothelial cell adhesion molecule antibody,Platelet/endothelial cell adhesion molecule 1 antibody,Platelet/endothelial cell adhesion molecule antibody
Available
Manufacturer - Category
Primary Antibodies
Storage Conditions
At -20°C for one year from date of receipt. After reconstitution, at 4°C for one month. It can also be aliquotted and stored frozen at -20°C for six months. Avoid repeated freezing and thawing.
Observed Molecular weight
15 kDa
Clonality
Monoclonal
Application Details
Western blot, 0.25-0.5 μg/ml, Human, Mouse, Rat
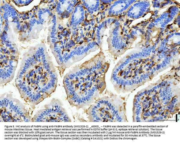
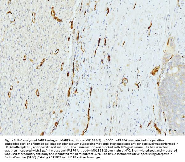
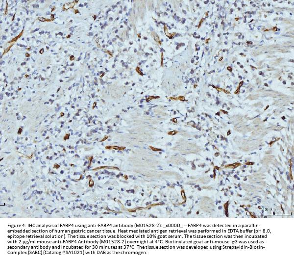
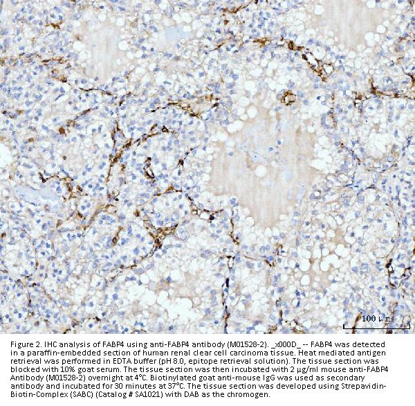
Immunohistochemistry(Paraffin-embedded Section), 2-5 μg/ml, Human, Mouse, Rat
Gene Name
FABP4
Gene Full Name
platelet/endothelial cell adhesion molecule 1
Manufacturer - Specificity
No cross-reactivity with other proteins.
Background
Fatty acid binding proteins (FABPs) are small cytoplasmic proteins that are expressed in a highly tissue-specific manner and bind to fatty acids such as oleic and retinoic acid. Adipocyte fatty-acid-binding protein, aP2 (FABP4) is expressed in adipocytes and macrophages, and integrates inflammatory and metabolic responses. Studies in aP2-deficient mice have shown that this lipid chaperone has a significant role in several aspects of metabolic syndrome, including type 2 diabetes and atherosclerosis. It regulates allergic airway inflammation and may provide a link between fatty acid metabolism and asthma.
Immunogen
A synthetic peptide corresponding to a sequence at the N-terminus of human FABP4, identical to the related mouse and rat sequences.
Contents
Each vial contains 4 mg Trehalose, 0.9 mg NaCl and 0.2 mg Na2HPO4.
Purification
Immunogen affinity purified.
Reconstitution
Adding 0.2 ml of distilled water will yield a concentration of 500 μg/ml.
Concentration
Adding 0.2 ml of distilled water will yield a concentration of 500 μg/ml.
Manufacturer - Research Category
DNA/RNA, Epigenetics and Nuclear Signaling, RNA Processing
Protein Name
CD79b molecule
Protein Function
Cell adhesion molecule which is required for leukocyte transendothelial migration (TEM) under most inflammatory conditions. Tyr-690 plays a critical role in TEM and is required for efficient trafficking of PECAM1 to and from the lateral border recycling compartment (LBRC) and is also essential for the LBRC membrane to be targeted around migrating leukocytes. Trans-homophilic interaction may play a role in endothelial cell-cell adhesion via cell junctions. Heterophilic interaction with CD177 plays a role in transendothelial migration of neutrophils. Homophilic ligation of PECAM1 prevents macrophage-mediated phagocytosis of neighboring viable leukocytes by transmitting a detachment signal. Promotes macrophage-mediated phagocytosis of apoptotic leukocytes by tethering them to the phagocytic cells; PECAM1-mediated detachment signal appears to be disabled in apoptotic leukocytes. Modulates bradykinin receptor BDKRB2 activation. Regulates bradykinin- and hyperosmotic shock-induced ERK1/2 activation in endothelial cells. Induces susceptibility to atherosclerosis. Does not protect against apoptosis.
Subcellular Localization
Cell membrane. Single-pass type I membrane protein. Membrane raft. Cell junction.
Description
Boster Bio Anti-FABP4 Antibody Picoband® (monoclonal, 10E12) catalog # M01528-2. Tested in IHC, WB applications. This antibody reacts with Human, Mouse, Rat. The brand Picoband indicates this is a premium antibody that guarantees superior quality, high affinity, and strong signals with minimal background in Western blot applications. Only our best-performing antibodies are designated as Picoband, ensuring unmatched performance.
Tissue Specificity
Expressed on platelets and leukocytes and is primarily concentrated at the borders between endothelial cells. Expressed in human umbilical vein endothelial cells (HUVECs) (at protein level). Expressed on neutrophils (at protein level). Isoform Long predominates in all tissues examined. Isoform Delta12 is detected only in trachea. Isoform Delta14-15 is only detected in lung. Isoform Delta14 is detected in all tissues examined with the strongest expression in heart. Isoform Delta15 is expressed in brain, testis, ovary, cell surface of platelets, human umbilical vein endothelial cells (HUVECs), Jurkat T-cell leukemia, human erythroleukemia (HEL) and U-937 histiocytic lymphoma cell lines (at protein level).
Manufacturer - Alias
Adhesion molecule antibody, CD31 antibody, CD31 antigen antibody, CD31 EndoCAM antibody, Endocam antibody, FLJ34100 antibody, FLJ58394 antibody, GPIIA antibody, GPIIA' antibody, PECA1 antibody, PECA1_HUMAN antibody, Pecam 1 antibody, PECAM 1 CD31 EndoCAM antibody, PECAM antibody, PECAM-1 antibody, Pecam1 antibody, Platelet endothelial cell adhesion molecule antibody, Platelet/endothelial cell adhesion molecule 1 antibody, Platelet/endothelial cell adhesion molecule antibody
Manufacturer - Cross Reactivity
No cross-reactivity with other proteins.

Note: The presented information and documents (Manual, Product Datasheet, Safety Datasheet and Certificate of Analysis) correspond to our latest update and should serve for orientational purpose only. We do not guarantee the topicality. We would kindly ask you to make a request for specific requirements, if necessary.

All products are intended for research use only (RUO). Not for human, veterinary or therapeutic use.

Amount: 100 ug/vial
Available: In stock
available

Delivery expected until 12/4/2025 

Compare

Add to wishlist

Get an offer

Request delivery time

Ask a technical question

Submit a bulk request

Questions about this Product?