Comparison

Anti-Liver Carboxylesterase 1/CES1 Antibody Picoband® (monoclonal, 3F10) European Partner

Item no. BOS-M01741-1
Manufacturer Boster
Amount 100 ug/vial
Quantity options 100 ug/vial 10 ug 100 ug 100 ug 100 ug 100 ug 100 ug 100 ug 100 ug 100 ug 100 ug 100 ug
Category
Type Antibody Monoclonal
Format Lyophilized
Applications WB, FC, IF, IHC, ICC
Clone 3F10
Specific against Human (Homo sapiens), Mouse (Murine, Mus musculus), Rat (Rattus norvegicus)
Host Mouse
Isotype IgG2b
Sensitivity <10 pg/ml
Citations 1. Entrez Gene: CES1 carboxylesterase 1 (monocyte/macrophage serine esterase 1).
2. Markey GM (Feb 2011). Carboxylesterase 1 (Ces1): from monocyte marker to major player. J Clin Pathol. 64 (2): 107–9.
3. Zhu HJ, Appel DI, Johnson JA, Chavin KD, Markowitz JS (Jan 2009). Role of carboxylesterase 1 and impact of natural genetic variants on the hydrolysis of trandolapril. Biochem Pharmacol. 77 (7): 1266–72.
ECLASS 10.1 42030590
ECLASS 11.0 42030590
UNSPSC 12352203
Alias Fatty acid-binding protein,heart,Fatty acid-binding protein 3,Heart-type fatty acid-binding protein,H-FABP,Fabp3
Available
Manufacturer - Category
Primary Antibodies
Storage Conditions
Store at -20°C for one year from date of receipt. After reconstitution, at 4°C for one month. It can also be aliquotted and stored frozen at -20°C for six months. Avoid repeated freeze-thaw cycles.
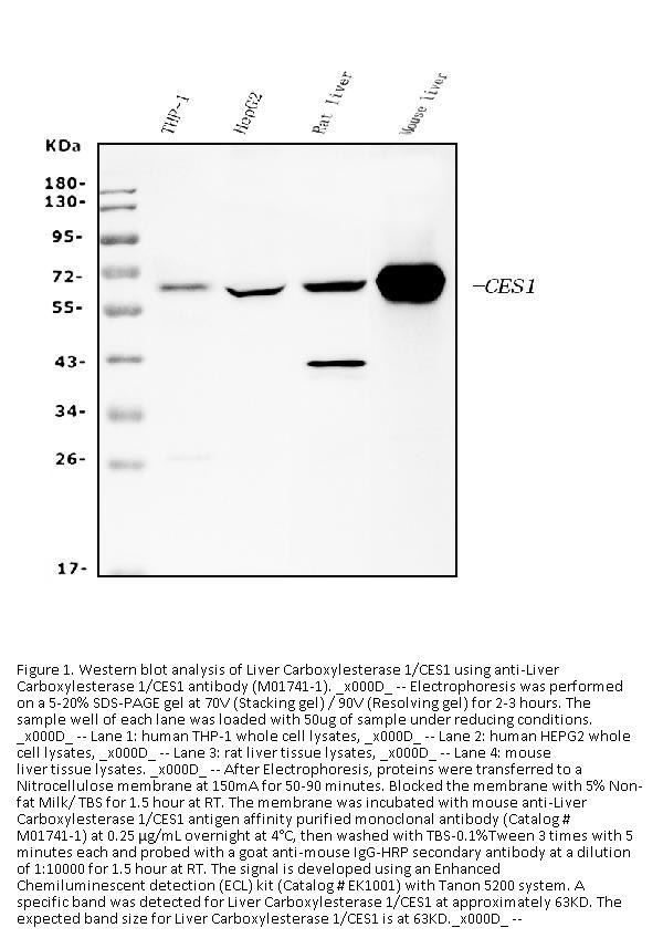
Observed Molecular weight
63 kDa
Clonality
Monoclonal
Application Details
Western blot, 0.1-0.25μg/ml, Human, Mouse, Rat
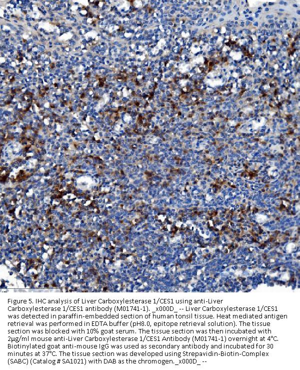
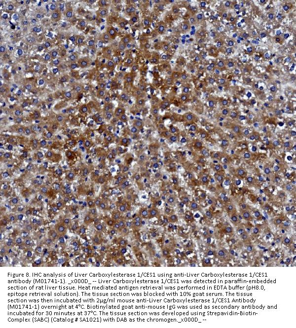
Immunohistochemistry (Paraffin-embedded Section), 2-5μg/ml, Human, Mouse, Rat
Immunocytochemistry/Immunofluorescence, 5μg/ml, Human
Flow Cytometry (Fixed), 1-3μg/1x106 cells, Human
Gene Name
CES1
Gene Full Name
fatty acid binding protein 3
Manufacturer - Specificity
No cross-reactivity with other proteins.
Background
Liver carboxylesterase 1 also known as carboxylesterase 1 (CES1, hCE-1 or CES1A1) is an enzyme that in humans is encoded by the CES1 gene. This gene encodes a member of the carboxylesterase large family. The family members are responsible for the hydrolysis or transesterification of various xenobiotics, such as cocaine and heroin, and endogenous substrates with ester, thioester, or amide bonds. They may participate in fatty acyl and cholesterol ester metabolism, and may play a role in the blood-brain barrier system. This enzyme is the major liver enzyme and functions in liver drug clearance. Mutations of this gene cause carboxylesterase 1 deficiency. Three transcript variants encoding three different isoforms have been found for this gene.
Immunogen
E. coli-derived human Liver Carboxylesterase 1/CES1 recombinant protein (Position: E99-A206).
Contents
Each vial contains 4mg Trehalose, 0.9mg NaCl and 0.2mg Na2HPO4.
Purification
Immunogen affinity purified.
Reconstitution
Add 0.2ml of distilled water will yield a concentration of 500ug/ml.
Concentration
Adding 0.2 ml of distilled water will yield a concentration of 500 μg/ml.
Manufacturer - Research Category
Cardiovascular, Fatty Acid Oxidation, Fatty Acids, Lipid and Lipoprotein Metabolism, Lipids/Lipoproteins, Mesenchymal Stem Cells, Metabolic Signaling Pathways, Metabolism, Pathways and Processes, Redox Metabolism, Stem Cells
Protein Name
activating transcription factor 1
Protein Function
FABP are thought to play a role in the intracellular transport of long-chain fatty acids and their acyl-CoA esters.
Subcellular Localization
Cytoplasm.
Description
Boster Bio Anti-Liver Carboxylesterase 1/CES1 Antibody Picoband® (monoclonal, 3F10) catalog # M01741-1. Tested in Flow Cytometry, IF, IHC, ICC, WB applications. This antibody reacts with Human, Mouse, Rat. The brand Picoband indicates this is a premium antibody that guarantees superior quality, high affinity, and strong signals with minimal background in Western blot applications. Only our best-performing antibodies are designated as Picoband, ensuring unmatched performance.
Tissue Specificity
Heart, but also skeletal muscle, kidney, brain and mammary gland.
Manufacturer - Cross Reactivity
No cross-reactivity with other proteins.

Note: The presented information and documents (Manual, Product Datasheet, Safety Datasheet and Certificate of Analysis) correspond to our latest update and should serve for orientational purpose only. We do not guarantee the topicality. We would kindly ask you to make a request for specific requirements, if necessary.

All products are intended for research use only (RUO). Not for human, veterinary or therapeutic use.

Amount: 100 ug/vial
Available: In stock
available

Delivery expected until 12/4/2025 

Compare

Add to wishlist

Get an offer

Request delivery time

Ask a technical question

Submit a bulk request

Questions about this Product?