Comparison

Anti-INPPL1 Antibody Picoband® (monoclonal, 8C13) European Partner

Item no. BOS-M01790
Manufacturer Boster
Amount 100 ug/vial
Quantity options 100 ug/vial 10 ug 100 ug 100 ug 100 ug 100 ug 100 ug 100 ug 100 ug 100 ug 100 ug 100 ug 100 ug
Category
Type Antibody Monoclonal
Format Lyophilized
Applications WB, FC, IF, IHC, ICC
Clone 8C13
Specific against Human (Homo sapiens), Mouse (Murine, Mus musculus), Rat (Rattus norvegicus)
Host Mouse
Isotype IgG2a
Sensitivity <10 pg/ml
Citations 1. Habib, T., Hejna, J. A., Moses, R. E., Decker, S. J. Growth factors and insulin stimulate tyrosine phosphorylation of the 51C/SHIP2 protein. J. Biol. Chem. 273: 18605-18609, 1998.
2. Sleeman, M. W., Wortley, K. E., Lai, K.-M. V., Gowen, L. C., Kintner, J., Kline, W. O., Garcia, K., Stitt, T. N., Yancopoulos, G. D., Wiegand, S. J., Glass, D. J. Absence of the lipid phosphatase SHIP2 confers resistance to dietary obesity. Nature Med. 11: 199-205, 2005.
3. Yu, J., Ryan, D. G., Getsios, S., Oliveira-Fernandes, M., Fatima, A., Lavker, R. M. MicroRNA-184 antagonizes microRNA-205 to maintain SHIP2 levels in epithelia. Proc. Nat. Acad. Sci. 105: 19300-19305, 2008.
ECLASS 10.1 42030590
ECLASS 11.0 42030590
UNSPSC 12352203
Alias CD2-associated protein,Adapter protein CMS,Cas ligand with multiple SH3 domains,CD2AP
Available
Manufacturer - Category
Primary Antibodies
Storage Conditions
Store at -20°C for one year from date of receipt. After reconstitution, at 4°C for one month. It can also be aliquotted and stored frozen at -20°C for six months. Avoid repeated freeze-thaw cycles.
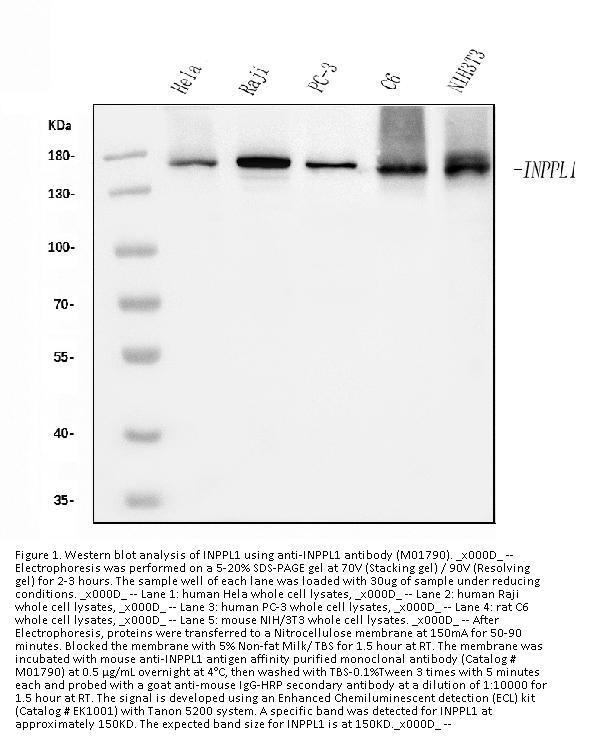
Observed Molecular weight
150 kDa
Clonality
Monoclonal
Application Details
Western blot, 0.25-0.5μg/ml, Human, Mouse, Rat
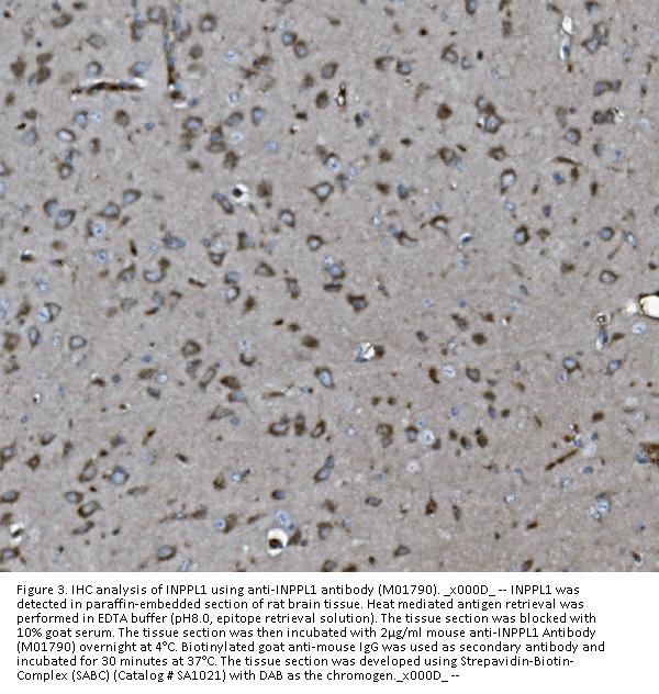
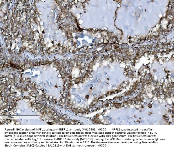
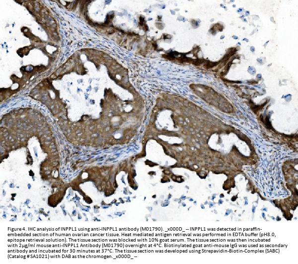
Immunohistochemistry (Paraffin-embedded Section), 2-5μg/ml, Human, Mouse, Rat
Immunocytochemistry/Immunofluorescence, 5μg/ml, Human
Flow Cytometry (Fixed), 1-3μg/1x106 cells, Human
Gene Name
INPPL1
Gene Full Name
CD2 associated protein
Manufacturer - Specificity
No cross-reactivity with other proteins.
Background
SH2-domain containing Phosphatidylinositol-3, 4, 5-trisphosphate 5-phosphatase 2 is an enzyme that in humans is encoded by the INPPL1 gene. The protein encoded by this gene is an SH2-containing 5'-inositol phosphatase that is involved in the regulation of insulin function. The encoded protein also plays a role in the regulation of epidermal growth factor receptor turnover and actin remodelling. Additionally, this gene supports metastatic growth in breast cancer and is a valuable biomarker for breast cancer.
Immunogen
E. coli-derived human INPPL1 recombinant protein (Position: R1172-K1258).
Contents
Each vial contains 4mg Trehalose, 0.9mg NaCl and 0.2mg Na2HPO4.
Purification
Immunogen affinity purified.
Reconstitution
Add 0.2ml of distilled water will yield a concentration of 500ug/ml.
Concentration
Adding 0.2 ml of distilled water will yield a concentration of 500 μg/ml.
Manufacturer - Research Category
Actin Binding Proteins, Actin, etc., Cytoskeleton, Cytoskeleton/ECM, Microfilaments, Organelle Proteins, Protein Trafficking, Signal Transduction
Protein Name
activating transcription factor 1
Protein Function
Seems to act as an adapter protein between membrane proteins and the actin cytoskeleton. In collaboration with CBLC, modulates the rate of RET turnover and may act as regulatory checkpoint that limits the potency of GDNF on neuronal survival. Controls CBLC function, converting it from an inhibitor to a promoter of RET degradation. May play a role in receptor clustering and cytoskeletal polarity in the junction between T- cell and antigen-presenting cell. May anchor the podocyte slit diaphragm to the actin cytoskeleton in renal glomerolus. Also required for cytokinesis.
Subcellular Localization
Cytoplasm, cytoskeleton. Cell projection, ruffle. Colocalizes with F-actin and BCAR1/p130Cas in membrane ruffles. Located at podocyte slit diaphragm between podocyte foot processes (By similarity). During late anaphase and telophase, concentrates in the vicinity of the midzone microtubules and in the midbody in late telophase.
Description
Boster Bio Anti-INPPL1 Antibody Picoband® (monoclonal, 8C13) catalog # M01790. Tested in Flow Cytometry, IF, IHC, ICC, WB applications. This antibody reacts with Human, Mouse, Rat. The brand Picoband indicates this is a premium antibody that guarantees superior quality, high affinity, and strong signals with minimal background in Western blot applications. Only our best-performing antibodies are designated as Picoband, ensuring unmatched performance.
Tissue Specificity
Widely expressed in fetal and adult tissues.
Manufacturer - Cross Reactivity
No cross-reactivity with other proteins.

Note: The presented information and documents (Manual, Product Datasheet, Safety Datasheet and Certificate of Analysis) correspond to our latest update and should serve for orientational purpose only. We do not guarantee the topicality. We would kindly ask you to make a request for specific requirements, if necessary.

All products are intended for research use only (RUO). Not for human, veterinary or therapeutic use.

Amount: 100 ug/vial
Available: In stock
available

Delivery expected until 12/4/2025 

Compare

Add to wishlist

Get an offer

Request delivery time

Ask a technical question

Submit a bulk request

Questions about this Product?