Comparison

Anti-ATGL / PNPLA2 Rabbit Monoclonal Antibody European Partner

Item no. BOS-M01800
Manufacturer Boster
Amount 100 ul/vial
Quantity options 100 ul/vial 30 ul
Category
Type Antibody Monoclonal
Format Liquid
Applications WB
Clone 23P38
Specific against Human (Homo sapiens), Mouse (Murine, Mus musculus), Rat (Rattus norvegicus)
Host Rabbit
Isotype IgG
Sensitivity <10 pg/ml
ECLASS 10.1 42030590
ECLASS 11.0 42030590
UNSPSC 12352203
Alias Heterogeneous nuclear ribonucleoprotein K,hnRNP K,Transformation up-regulated nuclear protein,TUNP,HNRNPK,HNRPK
Available
Manufacturer - Category
Primary Antibodies, Rabbit Monoclonal Antibodies
Storage Conditions
Store at -20°C for one year. For short term storage and frequent use, store at 4°C for up to one month. Avoid repeated freeze-thaw cycles.
Observed Molecular weight
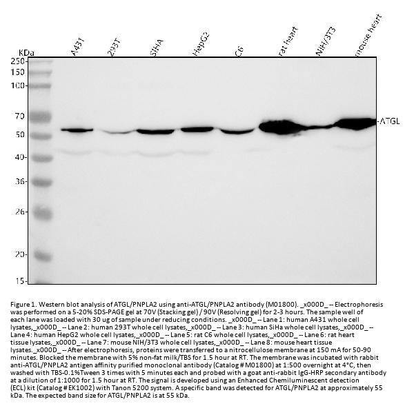
55 kDa
Calculated Molecular weight
50976 MW
Clonality
Monoclonal
Application Details
WB 1:500-2000
Gene Name
PNPLA2
Gene Full Name
Heterogeneous nuclear ribonucleoprotein K
Immunogen
A synthesized peptide derived from human ATGL / PNPLA2
Contents
Rabbit IgG in phosphate buffered saline, pH 7.4, 150mM NaCl, 0.02% sodium azide and 50% glycerol, 0.4-0.5mg/ml BSA.
Purification
Affinity-chromatography
Reconstitution
Restore with deionized water (or equivalent) for reconstitution volume of 1.0 mL
Concentration
0.5mg/ml
Manufacturer - Research Category
Chromatin Binding Proteins, DNA/RNA, DNA/RNA Binding, Epigenetics and Nuclear Signaling, RNA Processing, Splicing
Protein Name
Lysosome-associated membrane glycoprotein 2 (Lamp2)
Protein Function
One of the major pre-mRNA-binding proteins. Binds tenaciously to poly (C) sequences. Likely to play a role in the nuclear metabolism of hnRNAs, particularly for pre-mRNAs that contain cytidine-rich sequences. Can also bind poly (C) single- stranded DNA. Plays an important role in p53/TP53 response to DNA damage, acting at the level of both transcription activation and repression. When sumoylated, acts as a transcriptional coactivator of p53/TP53, playing a role in p21/CDKN1A and 14-3-3 sigma/SFN induction (By similarity). As far as transcription repression is concerned, acts by interacting with long intergenic RNA p21 (lincRNA-p21), a non-coding RNA induced by p53/TP53. This interaction is necessary for the induction of apoptosis, but not cell cycle arrest.
Subcellular Localization
Cytoplasm. Nucleus, nucleoplasm. Cell projection, podosome. Recruited to p53/TP53- responsive promoters, in the presence of functional p53/TP53 (PubMed:16360036). In case of ASFV infection, there is a shift in the localization which becomes predominantly nuclear (PubMed:18775702).
Description
Boster Bio Anti-ATGL / PNPLA2 Rabbit Monoclonal Antibody catalog # M01800. Tested in WB application. This antibody reacts with Human, Mouse, Rat.
Tissue Specificity
Expressed in brain and lymphoblast.

Note: The presented information and documents (Manual, Product Datasheet, Safety Datasheet and Certificate of Analysis) correspond to our latest update and should serve for orientational purpose only. We do not guarantee the topicality. We would kindly ask you to make a request for specific requirements, if necessary.

All products are intended for research use only (RUO). Not for human, veterinary or therapeutic use.

Amount: 100 ul/vial
Available: In stock
available

Delivery expected until 12/4/2025 

Compare

Add to wishlist

Get an offer

Request delivery time

Ask a technical question

Submit a bulk request

Questions about this Product?