Comparison

Anti-Glycine decarboxylase/GLDC Antibody Picoband® (monoclonal, 3D3D3) European Partner

Item no. BOS-M04777
Manufacturer Boster
Amount 100 ug/vial
Quantity options 100 ug/vial 10 ug 100 ug 100 ug 100 ug 100 ug 100 ug 100 ug 100 ug 100 ug 100 ug 100 ug 100 ug
Category
Type Antibody Monoclonal
Format Lyophilized
Applications WB, IHC
Clone 3D3D3
Specific against Human (Homo sapiens), Mouse (Murine, Mus musculus), Rat (Rattus norvegicus)
Host Mouse
Isotype IgG1
Sensitivity >5000 cells
Citations 1. Alfi, O., Donnell, G. N., Allerdice, P. W., Derencesenyi, A. The 9p- syndrome. Ann. Genet. 19: 11-16, 1976.
2. Applegarth, D. A., Toone, J. R. Nonketotic hyperglycinemia (glycine encephalopathy): laboratory diagnosis. Molec. Genet. Metab. 74: 139-146, 2001.
3. Bodkin, J. A., Coleman, M. J., Godfrey, L. J., Carvalho, C. M. B., Morgan, C. J., Suckow, R. F., Anderson, T., Ongur, D., Kaufman, M. J., Lewandowski, K. E., Siegel, A. J., Waldstreicher, E., and 19 others. Targeted treatment of individuals with psychosis carrying a copy number variant containing a genomic triplication of the glycine decarboxylase gene. Biol. Psychiat. 86: 523-535, 2019.
ECLASS 10.1 42030590
ECLASS 11.0 42030590
UNSPSC 12352203
Alias Cofilin-2,Cofilin,muscle isoform,CFL2
Available
Manufacturer - Category
Primary Antibodies
Storage Conditions
At -20°C for one year from date of receipt. After reconstitution, at 4°C for one month. It can also be aliquotted and stored frozen at -20°C for six months. Avoid repeated freezing and thawing.
Observed Molecular weight
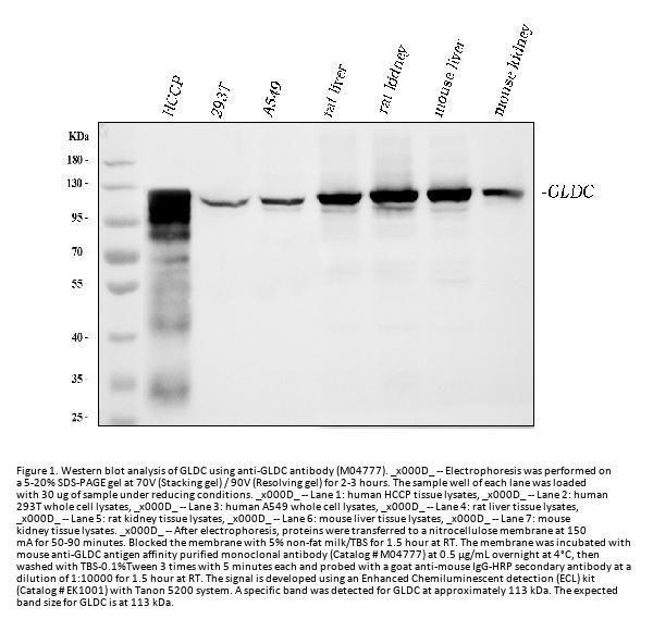
113 kDa
Clonality
Monoclonal
Application Details
Western blot, 0.25-0.5 μg/ml, Human, Mouse, Rat
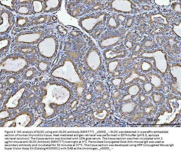
Immunohistochemistry(Paraffin-embedded Section), 2-5 μg/ml, Human
Gene Name
GLDC
Gene Full Name
cofilin 2
Manufacturer - Specificity
No cross-reactivity with other proteins.
Background
Glycine decarboxylase also known as glycine cleavage system P protein or glycine dehydrogenase is an enzyme that in humans is encoded by the GLDC gene. Degradation of glycine is brought about by the glycine cleavage system, which is composed of four mitochondrial protein components: P protein (a pyridoxal phosphate-dependent glycine decarboxylase), H protein (a lipoic acid-containing protein), T protein (a tetrahydrofolate-requiring enzyme), and L protein (a lipoamide dehydrogenase). The protein encoded by this gene is the P protein, which binds to glycine and enables the methylamine group from glycine to be transferred to the T protein. Defects in this gene are a cause of nonketotic hyperglycinemia (NKH).
Immunogen
E.coli-derived human Glycine decarboxylase/GLDC recombinant protein (Position: K574-S1020).
Contents
Each vial contains 4 mg Trehalose, 0.9 mg NaCl and 0.2 mg Na2HPO4.
Purification
Immunogen affinity purified.
Reconstitution
Adding 0.2 ml of distilled water will yield a concentration of 500 μg/ml.
Concentration
Adding 0.2 ml of distilled water will yield a concentration of 500 μg/ml.
Manufacturer - Research Category
Cell Adhesion Proteins, Epigenetics and Nuclear Signaling, Integrins, Mediator Complex, Neuroscience, Receptors, Transcription
Protein Function
Controls reversibly actin polymerization and depolymerization in a pH-sensitive manner. Its F-actin depolymerization activity is regulated by association with CSPR3. It has the ability to bind G- and F-actin in a 1:1 ratio of cofilin to actin. It is the major component of intranuclear and cytoplasmic actin rods. Required for muscle maintenance. May play a role during the exchange of alpha-actin forms during the early postnatal remodeling of the sarcomere.
Subcellular Localization
Cytoskeleton. Nucleus matrix.
Description
Boster Bio Anti-Glycine decarboxylase/GLDC Antibody Picoband® (monoclonal, 3D3D3) catalog # M04777. Tested in IHC, WB applications. This antibody reacts with Human, Mouse, Rat. The brand Picoband indicates this is a premium antibody that guarantees superior quality, high affinity, and strong signals with minimal background in Western blot applications. Only our best-performing antibodies are designated as Picoband, ensuring unmatched performance.
Tissue Specificity
Isoform CFL2b is expressed predominantly in skeletal muscle and heart. Isoform CFL2a is expressed in various tissues.
Manufacturer - Cross Reactivity
No cross-reactivity with other proteins.

Note: The presented information and documents (Manual, Product Datasheet, Safety Datasheet and Certificate of Analysis) correspond to our latest update and should serve for orientational purpose only. We do not guarantee the topicality. We would kindly ask you to make a request for specific requirements, if necessary.

All products are intended for research use only (RUO). Not for human, veterinary or therapeutic use.

Amount: 100 ug/vial
Available: In stock
available

Delivery expected until 12/4/2025 

Compare

Add to wishlist

Get an offer

Request delivery time

Ask a technical question

Submit a bulk request

Questions about this Product?