Comparison

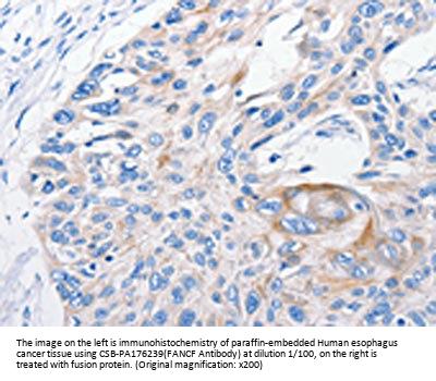
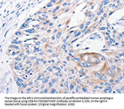
FANCF Antibody

Item no. CSB-PA176239-50ul
Manufacturer Cusabio
Amount 50 ul
Quantity options 100 ul 50 ul
Category
Type Antibody Polyclonal
Format Liquid
Applications IHC, ELISA
Specific against Human (Homo sapiens)
Host Rabbit
Isotype IgG
Conjugate/Tag Unconjugated
ECLASS 10.1 32160702
ECLASS 11.0 32160702
UNSPSC 12352203
Alias A730016A17 antibody,FACF antibody,FAF antibody,FANCF antibody,FANCF_HUMAN antibody,Fanconi anemia complementation group F antibody,Fanconi anemia group F protein antibody,MGC126856 antibody,Protein FACF antibody,RGD1561456 antibody
Similar products complementation group F, Fanconi anemia
Available
Manufacturer - Type
Polyclonal Antibody
Manufacturer - Applications
ELISA, IHC; ELISA:1:2000-1:5000, IHC:1:50-1:100
Manufacturer - Targets
FANCF
Storage Conditions
Upon receipt, store at -20°C or -80°C. Avoid repeated freeze.
Immunogen Species
Human
Immunogen
Fusion protein of human FANCF
Dilution
ELISA:1:2000-1:5000
IHC:1:50-1:100
Background
The Fanconi anemia complementation group (FANC) currently includes FANCA, FANCB, FANCC, FANCD1 (also called BRCA2), FANCD2, FANCE, FANCF, FANCG, FANCI, FANCJ (also called BRIP1), FANCL, FANCM and FANCN (also called PALB2). The previously defined group FANCH is the same as FANCA. Fanconi anemia is a genetically heterogeneous recessive disorder characterized by cytogenetic instability, hypersensitivity to DNA crosslinking agents, increased chromosomal breakage, and defective DNA repair. The members of the Fanconi anemia complementation group do not share sequence similarity, they are related by their assembly into a common nuclear protein complex. This gene encodes the protein for complementation group F.
Buffer
pH7.4 of PBS, 0.05% NaN3, 40% Glycerol.
Purification Method
Antigen Affinity Purified
General Research Areas
Epigenetics and Nuclear Signaling
Initial Research Areas
Epigenetics and Nuclear Signaling
Antigen Species
Human
Antigen
Fusion protein of Human FANCF
Clonality
Polyclonal

Note: The presented information and documents (Manual, Product Datasheet, Safety Datasheet and Certificate of Analysis) correspond to our latest update and should serve for orientational purpose only. We do not guarantee the topicality. We would kindly ask you to make a request for specific requirements, if necessary.

All products are intended for research use only (RUO). Not for human, veterinary or therapeutic use.

Amount: 50 ul
Available: In stock
available

Compare

Add to wishlist

Get an offer

Request delivery time

Ask a technical question

Submit a bulk request

Questions about this Product?
 
Close