Comparison

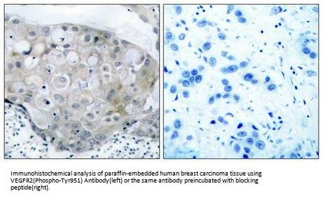
Phospho-KDR (Tyr951) Antibody

Item no. CSB-PA200726
Manufacturer Cusabio
Amount 100 ul
Category
Type Antibody Polyclonal
Format Liquid
Applications WB, IF, IHC, ELISA
Specific against Human (Homo sapiens), Mouse (Murine, Mus musculus), Rat (Rattus norvegicus)
Host Rabbit
Isotype IgG
Conjugate/Tag Unconjugated
ECLASS 10.1 32160702
ECLASS 11.0 32160702
UNSPSC 12352203
Alias CD309 antibody,CD309 antigen antibody,EC 2.7.10.1 antibody,Fetal liver kinase 1 antibody,FLK-1 antibody,FLK1 antibody,FLK1,mouse,homolog of antibody,Kdr antibody,Kinase insert domain receptor (a type III receptor tyrosine kinase) antibody,Kinase insert domain receptor antibody,KRD1 antibody,Ly73 antibody,Protein tyrosine kinase receptor FLK1 antibody,Protein-tyrosine kinase receptor flk-1 antibody,soluble VEGFR2 antibody,Tyrosine kinase growth factor receptor antibody,Vascular endothelial growth factor receptor 2 antibody,VEGFR 2 antibody,VEGFR antibody,VEGFR-2 antibody,VEGFR2 antibody,VGFR2_HUMAN antibody
Similar products KDR, FLK1, kinase insert domain receptor, VGFR2, VGR2
Available
Manufacturer - Type
Polyclonal Antibody
Manufacturer - Applications
ELISA, WB, IHC, IF; WB:1:500-1:1000, IHC:1:50-1:100, IF:1:100-1:200
Manufacturer - Targets
KDR
Storage Conditions
Upon receipt, store at -20°C or -80°C. Avoid repeated freeze.
Manufacturer - Alias
CD309 antibody, CD309 antigen antibody, EC 2.7.10.1 antibody, Fetal liver kinase 1 antibody, FLK-1 antibody, FLK1 antibody, FLK1, mouse, homolog of antibody, Kdr antibody, Kinase insert domain receptor (a type III receptor tyrosine kinase) antibody, Kinase insert domain receptor antibody, KRD1 antibody, Ly73 antibody, Protein tyrosine kinase receptor FLK1 antibody, Protein-tyrosine kinase receptor flk-1 antibody, soluble VEGFR2 antibody, Tyrosine kinase growth factor receptor antibody, Vascular endothelial growth factor receptor 2 antibody, VEGFR 2 antibody, VEGFR antibody, VEGFR-2 antibody, VEGFR2 antibody, VGFR2_HUMAN antibody
Immunogen Species
Human
Immunogen
Peptide sequence around phosphorylation site of tyrosine 951 (K-D-Y(p)-V-G) derived from Human VEGFR2.
Dilution
ELISA:1:2000-1:10000
WB:1:500-1:1000
IHC:1:50-1:100
IF:1:100-1:200
Background
Receptor for VEGF or VEGFC. Has a tyrosine-protein kinase activity. The VEGF-kinase ligand/receptor signaling system plays a key role in vascular development and regulation of vascular permeability. In case of HIV-1 infection, the interaction with extracellular viral Tat protein seems to enhance angiogenesis in Kaposi's sarcoma lesions

Zeng H, et al. (2001) J Biol Chem. 276(35): 32714-32719.
Dougher M, et al. (1999) Oncogene. 18(8): 1619-1627.
Buffer
Supplied at 1.0mg/mL in phosphate buffered saline (without Mg2+ and Ca2+), pH 7.4, 150mM NaCl, 0.02% sodium azide and 50% glycerol.
Purification Method
Antibodies were produced by immunizing rabbits with synthetic phosphopeptide and KLH conjugates. Antibodies were purified by affinity-chromatography using epitope-specific phosphopeptide. Non-phospho specific antibodies were removed by chromatogramphy usi
General Research Areas
Cardiovascular
Initial Research Areas
Cardiovascular
Antigen Species
Human
Antigen
Peptide sequence around phosphorylation site of tyrosine 951 (K-D-Y(p)-V-G) derived from Human VEGFR2.
Clonality
Polyclonal

Note: The presented information and documents (Manual, Product Datasheet, Safety Datasheet and Certificate of Analysis) correspond to our latest update and should serve for orientational purpose only. We do not guarantee the topicality. We would kindly ask you to make a request for specific requirements, if necessary.

All products are intended for research use only (RUO). Not for human, veterinary or therapeutic use.

Amount: 100 ul
Available: In stock
available

Compare

Add to wishlist

Get an offer

Request delivery time

Ask a technical question

Submit a bulk request

Questions about this Product?
 
Close