Comparison

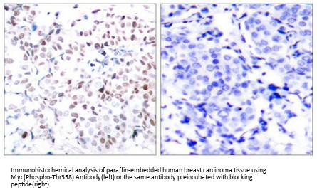
Phospho-MYC (Thr358) Antibody

Item no. CSB-PA239396
Manufacturer Cusabio
Amount 100 ul
Category
Type Antibody Polyclonal
Format Liquid
Applications WB, IF, IHC, ELISA
Specific against Human (Homo sapiens), Mouse (Murine, Mus musculus), Rat (Rattus norvegicus)
Host Rabbit
Isotype IgG
Conjugate/Tag Unconjugated
ECLASS 10.1 32160702
ECLASS 11.0 32160702
UNSPSC 12352203
Alias AU016757 antibody,Avian myelocytomatosis viral oncogene homolog antibody,bHLHe39 antibody,c Myc antibody,Cellular myelocytomatosis oncogene antibody,Class E basic helix-loop-helix protein 39 antibody,MGC105490 antibody,MRTL antibody,Myc antibody,Myc protein antibody,Myc proto oncogene protein antibody,Myc proto-oncogene protein antibody,myc-related translation/localization regulatory factor antibody,MYC_HUMAN antibody,Myc2 antibody,myca antibody,MYCC antibody,Myelocytomatosis oncogene a antibody,Myelocytomatosis oncogene antibody,Niard antibody,Nird antibody,oncogene c-Myc antibody,Oncogene Myc antibody,OTTHUMP00000158589 antibody,OTTHUMP00000227763 antibody,Proto-oncogene c-Myc antibody,Protooncogene homologous to myelocytomatosis virus antibody,RNCMYC antibody,Transcription factor p64 antibody,Transcriptional regulator Myc-A antibody,V-Myc avian myelocytomatosis viral oncogene homolog antibody,v-myc myelocytomatosis viral oncogene homolog (avian) antibody,zc-myc antibody
Similar products c-myc
Available
Manufacturer - Type
Polyclonal Antibody
Manufacturer - Applications
ELISA, WB, IHC, IF; WB:1:500-1:1000, IHC:1:50-1:100, IF:1:100-1:200
Manufacturer - Targets
MYC
Storage Conditions
Upon receipt, store at -20°C or -80°C. Avoid repeated freeze.
Manufacturer - Alias
AU016757 antibody, Avian myelocytomatosis viral oncogene homolog antibody, bHLHe39 antibody, c Myc antibody, Cellular myelocytomatosis oncogene antibody, Class E basic helix-loop-helix protein 39 antibody, MGC105490 antibody, MRTL antibody, Myc antibody, Myc protein antibody, Myc proto oncogene protein antibody, Myc proto-oncogene protein antibody, myc-related translation/localization regulatory factor antibody, MYC_HUMAN antibody, Myc2 antibody, myca antibody, MYCC antibody, Myelocytomatosis oncogene a antibody, Myelocytomatosis oncogene antibody, Niard antibody, Nird antibody, oncogene c-Myc antibody, Oncogene Myc antibody, OTTHUMP00000158589 antibody, OTTHUMP00000227763 antibody, Proto-oncogene c-Myc antibody, Protooncogene homologous to myelocytomatosis virus antibody, RNCMYC antibody, Transcription factor p64 antibody, Transcriptional regulator Myc-A antibody, V-Myc avian myelocytomatosis viral oncogene homolog antibody, v-myc myelocytomatosis viral oncogene homolog (avian) antibody, zc-myc antibody
Immunogen Species
Human
Immunogen
Peptide sequence around phosphorylation site of threonine 358 (R-R-T(p)-H-N) derived from Human Myc.
Dilution
ELISA:1:2000-1:10000
WB:1:500-1:1000
IHC:1:50-1:100
IF:1:100-1:200
Background
Participates in the regulation of gene transcription. Binds DNA in a non-specific manner, yet also specifically recognizes the core sequence 5'-CAC[GA]TG-3'. Seems to activate the transcription of growth-related genes.

Baudino T A, et al. (2001) Mol Cell Biol. 21: 691-702.
Blackwood E M, et al. (1991) Science. 251:1211-1217.
Henriksson M, et al. (1996) Adv Cancer Res. 68: 109-182.
Grandori C, et al. (2000) Annu Rev Cell Dev Biol. 16: 653-699.
Buffer
Supplied at 1.0mg/mL in phosphate buffered saline (without Mg2+ and Ca2+), pH 7.4, 150mM NaCl, 0.02% sodium azide and 50% glycerol.
Purification Method
Antibodies were produced by immunizing rabbits with synthetic phosphopeptide and KLH conjugates. Antibodies were purified by affinity-chromatography using epitope-specific phosphopeptide. Non-phospho specific antibodies were removed by chromatogramphy usi
General Research Areas
Epigenetics and Nuclear Signaling
Initial Research Areas
Epigenetics and Nuclear Signaling
Antigen Species
Human
Antigen
Peptide sequence around phosphorylation site of threonine 358 (R-R-T(p)-H-N) derived from Human Myc.
Clonality
Polyclonal

Note: The presented information and documents (Manual, Product Datasheet, Safety Datasheet and Certificate of Analysis) correspond to our latest update and should serve for orientational purpose only. We do not guarantee the topicality. We would kindly ask you to make a request for specific requirements, if necessary.

All products are intended for research use only (RUO). Not for human, veterinary or therapeutic use.

Amount: 100 ul
Available: In stock
available

Compare

Add to wishlist

Get an offer

Request delivery time

Ask a technical question

Submit a bulk request

Questions about this Product?
 
Close