Comparison

Anti-PCSK9 Antibody (N-term) European Partner

Item no. BOS-A00085-3-80ul
Manufacturer Boster
Amount 80 ul
Quantity options 400 ul 80 ul
Category
Applications WB, FC, IHC-P
Specific against Human (Homo sapiens)
Host Rabbit
Isotype IgG
Alias Proprotein convertase subtilisin/kexin type 9,3421-,Neural apoptosis-regulated convertase 1,NARC-1,Proprotein convertase 9,PC9,Subtilisin/kexin-like protease PC9,PCSK9,NARC1
Available
Manufacturer - Category
Primary Antibodies
Storage Conditions
Maintain refrigerated at 2-8°C for up to 2 weeks. For long-term storage, store at -20°C in small aliquots to prevent freeze-thaw cycles.
Molecular Weight
74286 Da
Clonality
Polyclonal
Application Details
WB: 1:1000
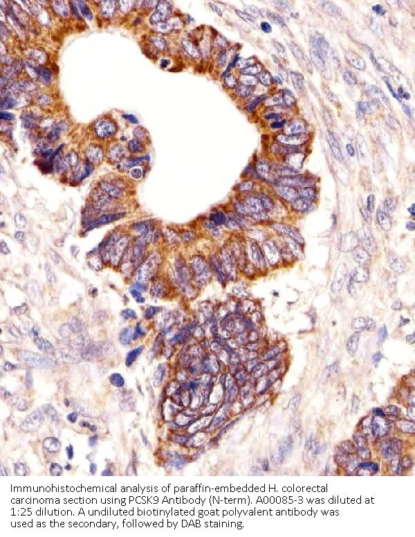
IHC-P: 1:10-1:50
FC: 1:10-1:50
Gene Name
PCSK9
Background
PCSK9 is a proprotein convertase belonging to the proteinase K subfamily of the secretory subtilase family. This protein is synthesized as a soluble zymogen that undergoes autocatalytic intramolecular processing in the endoplasmic reticulum. The protein may function as a proprotein convertase. The protein plays a role in cholesterol homeostasis and may have a role in the differentiation of cortical neurons.
Immunogen
This PCSK9 antibody is generated from rabbits immunized with a KLH conjugated synthetic peptide between 153-183 amino acids from the N-terminal region of human PCSK9.
Contents
Purified polyclonal antibody supplied in PBS with 0.09% (W/V) sodium azide.
Purification
This antibody is purified through a protein A column, followed by peptide affinity purification.
Manufacturer - Research Category
Cardiovascular, Cell Biology, Metabolism, Signal Transduction, Lysosome
Protein Function
Crucial player in the regulation of plasma cholesterol homeostasis. Binds to low-density lipid receptor family members: low density lipoprotein receptor (LDLR), very low density lipoprotein receptor (VLDLR), apolipoprotein E receptor (LRP1/APOER) and apolipoprotein receptor 2 (LRP8/APOER2), and promotes their degradation in intracellular acidic compartments (PubMed:18039658). Acts via a non- proteolytic mechanism to enhance the degradation of the hepatic LDLR through a clathrin LDLRAP1/ARH-mediated pathway. May prevent the recycling of LDLR from endosomes to the cell surface or direct it to lysosomes for degradation. Can induce ubiquitination of LDLR leading to its subsequent degradation (PubMed:18799458, PubMed:17461796, PubMed:18197702, PubMed:22074827). Inhibits intracellular degradation of APOB via the autophagosome/lysosome pathway in a LDLR-independent manner. Involved in the disposal of non-acetylated intermediates of BACE1 in the early secretory pathway (PubMed:18660751). Inhibits epithelial Na(+) channel (ENaC)-mediated Na(+) absorption by reducing ENaC surface expression primarily by increasing its proteasomal degradation. Regulates neuronal apoptosis via modulation of LRP8/APOER2 levels and related anti-apoptotic signaling pathways.
Subcellular Localization
Cytoplasm. Secreted. Endosome. Lysosome. Cell surface. Endoplasmic reticulum. Golgi apparatus. Note=Autocatalytic cleavage is required to transport it from the endoplasmic reticulum to the Golgi apparatus and for the secretion of the mature protein Localizes to the endoplasmic reticulum in the absence of LDLR and colocalizes to the cell surface and to the endosomes/lysosomes in the presence of LDLR. The sorting to the cell surface and endosomes is required in order to fully promote LDLR degradation
Description
Boster Bio Anti-PCSK9 Antibody (N-term) (Catalog # A00085-3). Tested in Flow Cytometry, IHC-P, WB application(s). This antibody reacts with Human.
Tissue Specificity
Expressed in neuro-epithelioma, colon carcinoma, hepatic and pancreatic cell lines, and in Schwann cells

Note: The presented information and documents (Manual, Product Datasheet, Safety Datasheet and Certificate of Analysis) correspond to our latest update and should serve for orientational purpose only. We do not guarantee the topicality. We would kindly ask you to make a request for specific requirements, if necessary.

All products are intended for research use only (RUO). Not for human, veterinary or therapeutic use.

Amount: 80 ul
Available: In stock
available

Delivery expected until 12/4/2025 

Compare

Add to wishlist

Get an offer

Request delivery time

Ask a technical question

Submit a bulk request

Questions about this Product?