Comparison

Anti-FTO Antibody European Partner

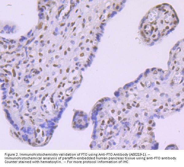
Item no. BOS-A00219-1
Manufacturer Boster
Amount 100 ul
Quantity options 0.1 mg 100 ul 100 ul
Category
Format Liquid
Applications WB, IF, IHC, ICC
Specific against Human (Homo sapiens)
Host Rabbit
Alias Alpha-ketoglutarate-dependent dioxygenase FTO,1.14.11.-
Available
Manufacturer - Category
Primary Antibodies
Storage Conditions
Store at -20°C for one year. For short term storage and frequent use, store at 4°C for up to one month. Avoid repeated freeze-thaw cycles.
Molecular Weight
58282 MW
Clonality
Polyclonal
Application Details
WB: 1:500-1:2, 000
ICC/IF: 1:50-1:200
IHC: 1:50-1:200
Gene Name
FTO
Gene Full Name
Alpha-ketoglutarate-dependent dioxygenase FTO
Immunogen
Recombinant protein
Contents
Rabbit IgG, 1mg/ml in PBS with 0.02% sodium azide, 50% glycerol, pH7.2
Purification
ProA affinity purified
Concentration
1 mg/ml
Protein Name
Alpha-ketoglutarate-dependent dioxygenase FTO
Protein Function
Dioxygenase that repairs alkylated DNA and RNA by
oxidative demethylation. Has highest activity towards single-
stranded RNA containing 3-methyluracil, followed by single-
stranded DNA containing 3-methylthymine. Has low demethylase
activity towards single-stranded DNA containing 1-methyladenine or
3-methylcytosine (PubMed:18775698, PubMed:20376003). Specifically
demethylates N (6)-methyladenosine (m6A) RNA, the most prevalent
internal modification of messenger RNA (mRNA) in higher eukaryotes
(PubMed:22002720, PubMed:26458103). Has no activity towards 1-
methylguanine. Has no detectable activity towards double-stranded
DNA. Requires molecular oxygen, alpha-ketoglutarate and iron.
Contributes to the regulation of the global metabolic rate, energy
expenditure and energy homeostasis. Contributes to the regulation
of body size and body fat accumulation (PubMed:18775698,
PubMed:20376003). In particular, it is involved in the regulation
of thermogenesis and the control of adipocyte differentiation into
brown or white fat cells (PubMed:26287746).
Subcellular Localization
Nucleus
Description
Boster Bio Anti-FTO Antibody catalog # A00219-1. Tested in WB, ICC/IF, IHC applications. This antibody reacts with Human.
Tissue Specificity
Ubiquitously expressed, with relatively high
expression in adrenal glands and brain; especially in hypothalamus
and pituitary.

Note: The presented information and documents (Manual, Product Datasheet, Safety Datasheet and Certificate of Analysis) correspond to our latest update and should serve for orientational purpose only. We do not guarantee the topicality. We would kindly ask you to make a request for specific requirements, if necessary.

All products are intended for research use only (RUO). Not for human, veterinary or therapeutic use.

Amount: 100 ul
Available: In stock
available

Delivery expected until 12/4/2025 

Compare

Add to wishlist

Get an offer

Request delivery time

Ask a technical question

Submit a bulk request

Questions about this Product?