Comparison

Anti-IRS-1 (phospho-S794) Antibody European Partner

Item no. BOS-A00268S794-1
Manufacturer Boster
Amount 100 ul
Category
Format Liquid
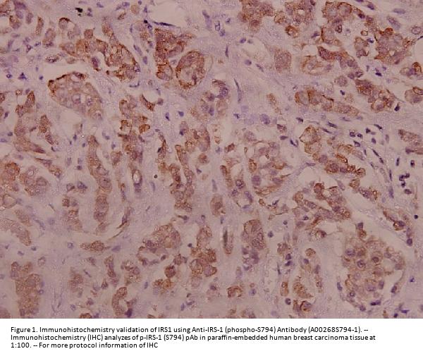
Applications IHC
Specific against Human (Homo sapiens), Mouse (Murine, Mus musculus), Rat (Rattus norvegicus)
Host Rabbit
Alias Insulin receptor substrate 1,IRS-1,IRS1
Available
Manufacturer - Category
Primary Antibodies
Storage Conditions
Store at -20°C for one year. For short term storage and frequent use, store at 4°C for up to one month. Avoid repeated freeze-thaw cycles.
Molecular Weight
131591 MW
Clonality
Polyclonal
Application Details
IHC: 1:50-1:200
Gene Name
IRS1
Gene Full Name
Insulin receptor substrate 1
Immunogen
Synthetic phosphopeptide derived from human IRS-1 around the phosphorylation site of Serine 794.
Contents
Rabbit IgG, 1mg/ml in PBS with 0.02% sodium azide, 50% glycerol, pH7.2
Purification
The antibody was affinity-purified from rabbit antiserum by affinity-chromatography using epitope-specific immunogen and the purity is > 95% (by SDS-PAGE).
Concentration
1 mg/ml
Protein Name
Insulin receptor substrate 1
Protein Function
May mediate the control of various cellular processes by
insulin. When phosphorylated by the insulin receptor binds
specifically to various cellular proteins containing SH2 domains
such as phosphatidylinositol 3-kinase p85 subunit or GRB2.
Activates phosphatidylinositol 3-kinase when bound to the
regulatory p85 subunit (By similarity).
Description
Boster Bio Anti-IRS-1 (phospho-S794) Antibody catalog # A00268S794-1. Tested in IHC applications. This antibody reacts with Human, Mouse, Rat.

Note: The presented information and documents (Manual, Product Datasheet, Safety Datasheet and Certificate of Analysis) correspond to our latest update and should serve for orientational purpose only. We do not guarantee the topicality. We would kindly ask you to make a request for specific requirements, if necessary.

All products are intended for research use only (RUO). Not for human, veterinary or therapeutic use.

Amount: 100 ul
Available: In stock
available

Delivery expected until 12/4/2025 

Compare

Add to wishlist

Get an offer

Request delivery time

Ask a technical question

Submit a bulk request

Questions about this Product?