Comparison

Anti-FAP1 Antibody European Partner

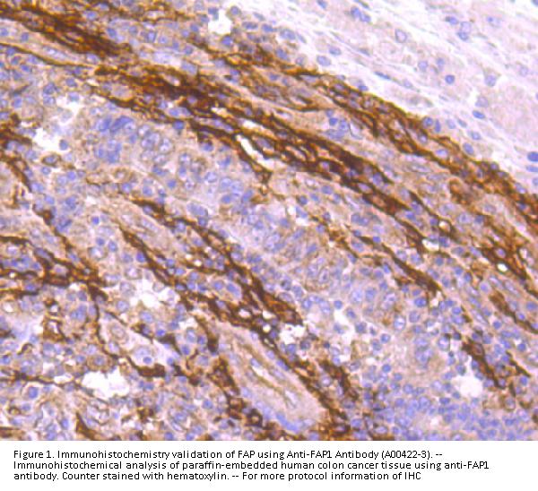
Item no. BOS-A00422-3
Manufacturer Boster
Amount 100 ul
Category
Format Liquid
Applications WB, IHC
Specific against Human (Homo sapiens)
Host Rabbit
Alias Prolyl endopeptidase FAP,3.4.21.26
Available
Manufacturer - Category
Primary Antibodies
Storage Conditions
Store at -20°C for one year. For short term storage and frequent use, store at 4°C for up to one month. Avoid repeated freeze-thaw cycles.
Molecular Weight
87713 MW
Clonality
Polyclonal
Application Details
WB: 1:500-1:1, 000
IHC: 1:50-1:200
Gene Name
FAP
Gene Full Name
Prolyl endopeptidase FAP
Immunogen
recombinant protein
Contents
Rabbit IgG, 1mg/ml in PBS with 0.02% sodium azide, 50% glycerol, pH7.2
Purification
ProA affinity purified
Concentration
1.1 mg/mL by UV absorbance at 280 nm
Protein Name
Prolyl endopeptidase FAP
Protein Function
Cell surface glycoprotein serine protease that
participates in extracellular matrix degradation and involved in
many cellular processes including tissue remodeling, fibrosis,
wound healing, inflammation and tumor growth. Both plasma membrane
and soluble forms exhibit post-proline cleaving endopeptidase
activity, with a marked preference for Ala/Ser-Gly-Pro-Ser/Asn/Ala
consensus sequences, on substrate such as alpha-2-antiplasmin
SERPINF2 and SPRY2 (PubMed:14751930, PubMed:16223769,
PubMed:16480718, PubMed:16410248, PubMed:17381073,
PubMed:18095711, PubMed:21288888, PubMed:24371721). Degrade also
gelatin, heat-denatured type I collagen, but not native collagen
type I and IV, vibronectin, tenascin, laminin, fibronectin, fibrin
or casein (PubMed:9065413, PubMed:2172980, PubMed:7923219,
PubMed:10347120, PubMed:10455171, PubMed:12376466,
PubMed:16223769, PubMed:16651416, PubMed:18095711). Have also
dipeptidyl peptidase activity, exhibiting the ability to hydrolyze
the prolyl bond two residues from the N-terminus of synthetic
dipeptide substrates provided that the penultimate residue is
proline, with a preference for Ala-Pro, Ile-Pro, Gly-Pro, Arg-Pro
and Pro-Pro (PubMed:10347120, PubMed:10593948, PubMed:16175601,
PubMed:16223769, PubMed:16651416, PubMed:16410248,
PubMed:17381073, PubMed:21314817, PubMed:24371721,
PubMed:24717288). Natural neuropeptide hormones for dipeptidyl
peptidase are the neuropeptide Y (NPY), peptide YY (PYY),
substance P (TAC1) and brain natriuretic peptide 32 (NPPB)
(PubMed:21314817). The plasma membrane form, in association with
either DPP4, PLAUR or integrins, is involved in the pericellular
proteolysis of the extracellular matrix (ECM), and hence promotes
cell adhesion, migration and invasion through the ECM. Plays a
role in tissue remodeling during development and wound healing.
Participates in the cell invasiveness towards the ECM in malignant
melanoma cancers. Enhances tumor growth progression by increasing
angiogenesis, collagen fiber degradation and apoptosis and by
reducing antitumor response of the immune system. Promotes glioma
cell invasion through the brain parenchyma by degrading the
proteoglycan brevican. Acts as a tumor suppressor in melanocytic
cells through regulation of cell proliferation and survival in a
serine protease activity-independent manner.
Subcellular Localization
Prolyl endopeptidase FAP: Cell surface
Description
Boster Bio Anti-FAP1 Antibody catalog # A00422-3. Tested in WB, IHC applications. This antibody reacts with Human.
Tissue Specificity
Expressed in adipose tissue. Expressed in the
dermal fibroblasts in the fetal skin. Expressed in the granulation
tissue of healing wounds and on reactive stromal fibroblast in
epithelial cancers. Expressed in activated fibroblast-like
synoviocytes from inflamed synovial tissues. Expressed in
activated hepatic stellate cells (HSC) and myofibroblasts from
cirrhotic liver, but not detected in normal liver. Expressed in
glioma cells (at protein level). Expressed in glioblastomas and
glioma cells. Isoform 1 and isoform 2 are expressed in melanoma,
carcinoma and fibroblast cell lines.

Note: The presented information and documents (Manual, Product Datasheet, Safety Datasheet and Certificate of Analysis) correspond to our latest update and should serve for orientational purpose only. We do not guarantee the topicality. We would kindly ask you to make a request for specific requirements, if necessary.

All products are intended for research use only (RUO). Not for human, veterinary or therapeutic use.

Amount: 100 ul
Available: In stock
available

Delivery expected until 12/4/2025 

Compare

Add to wishlist

Get an offer

Request delivery time

Ask a technical question

Submit a bulk request

Questions about this Product?