Comparison

Anti-TRPV4 Antibody European Partner

Item no. BOS-A00565
Manufacturer Boster
Amount 0.1 mg
Quantity options 0.1 mg 100 ul
Category
Type Antibody Polyclonal
Format Liquid
Applications WB, IF, ELISA, IHC-P
Specific against Human (Homo sapiens), Mouse (Murine, Mus musculus), Rat (Rattus norvegicus)
Host Rabbit
Isotype IgG
ECLASS 10.1 32160702
ECLASS 11.0 32160702
UNSPSC 12352203
Alias SMAL,VRL2,CMT2C,SPSMA,TRP12,VROAC,HMSN2C,OTRPC4,SSQTL1,Transient receptor potential cation channel subfamily V member 4,Osm-9-like TRP channel 4,TrpV4
Available
Manufacturer - Category
Primary Antibodies
Storage Conditions
TRPV4 antibody can be stored at 4°C for three months and -20°C, stable for up to one year.
Molecular Weight
98281 MW
Clonality
Polyclonal
Application Details
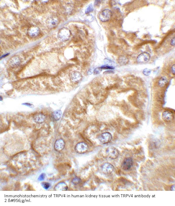
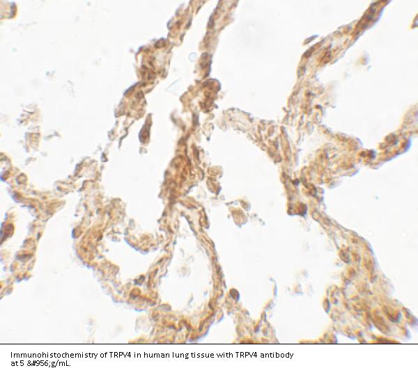
WB: 0.5-2 μ g/mL; IHC-P: 1-2 μ g/mL; IHC-P/IF: 5-20 μ g/mL.
Antibody validated: Western Blot in human, mouse and rat samples; Immunohistochemistry in human, mouse, and rat samples; Immunofluorescence in the human sample. All other applications and species not yet tested.
Gene Name
TRPV4
Gene Full Name
Transient receptor potential cation channel, subfamily V, member 4
Manufacturer - Specificity
TRPV4 antibody is human specific. At least six isoforms of TRPV4 are known to exist. This antibody is predicted to not cross-react with other TRP protein family members.
Background
The transient receptor potential (TRP) protein family consists of a diverse group of cation channels functioning in a variety of homeostatic and regulatory pathways. Four subfamilies exist, based on channel domain homology: C type (canonical), V type (vanilloid receptor related), M type (melastatin related) and P type (PKD) (1). TRPV4, belongs to the V type subfamily and plays a role in systemic osmoregulation (2, 3). TRPV4 is a calcium channel multi-pass membrane protein activated by various stimuli, including thermal stress, fatty acid metabolites and hypotonicity (3). TRPV4 is highly expressed in lung and kidney and widely expressed in brain. It plays an important role in regulating neural excitability (4).
Immunogen
TRPV4 antibody was raised against an 18 amino acid peptide near the center of human TRPV4. The immunogen is located within amino acids 380 - 430 of TRPV4.
Contents
TRPV4 antibody is supplied in PBS containing 0.02% sodium azide.
Purification
TRPV4 antibody is affinity chromatography purified via peptide column.
Concentration
1 mg/mL
Manufacturer - Research Category
Signal Transduction
Protein Name
Transient receptor potential cation channel, subfamily V, member 4
Protein Function
Non-selective calcium permeant cation channel involved
in osmotic sensitivity and mechanosensitivity. Activation by
exposure to hypotonicity within the physiological range exhibits
an outward rectification (PubMed:18826956, PubMed:18695040). Also
activated by heat, low pH, citrate and phorbol esters
(PubMed:16293632, PubMed:18826956, PubMed:18695040,
PubMed:25256292, PubMed:20037586, PubMed:21964574). Increase of
intracellular Ca (2+) potentiates currents. Channel activity seems
to be regulated by a calmodulin-dependent mechanism with a
negative feedback mechanism (PubMed:12724311, PubMed:18826956).
Promotes cell-cell junction formation in skin keratinocytes and
plays an important role in the formation and/or maintenance of
functional intercellular barriers (By similarity). Acts as a
regulator of intracellular Ca (2+) in synoviocytes
(PubMed:19759329). Plays an obligatory role as a molecular
component in the nonselective cation channel activation induced by
4-alpha-phorbol 12, 13-didecanoate and hypotonic stimulation in
synoviocytes and also regulates production of IL-8
(PubMed:19759329). Together with PKD2, forms mechano- and
thermosensitive channels in cilium (PubMed:18695040). Negatively
regulates expression of PPARGC1A, UCP1, oxidative metabolism and
respiration in adipocytes (By similarity). Regulates expression of
chemokines and cytokines related to proinflammatory pathway in
adipocytes (By similarity). Together with AQP5, controls
regulatory volume decrease in salivary epithelial cells (By
similarity). Required for normal development and maintenance of
bone and cartilage (PubMed:26249260).
Subcellular Localization
Apical cell membrane
Description
Boster Bio Anti-TRPV4 Antibody (Catalog # A00565). Tested in ELISA, WB, IHC-P, IF applications. This antibody reacts with Human, Mouse, Rat.
Tissue Specificity
Found in the synoviocytes from patients with
(RA) and without (CTR) rheumatoid arthritis (at protein level).
Short Description
Boster Bio Anti-TRPV4 Antibody (Catalog # A00565). Tested in ELISA, WB, IHC-P, IF applications. This antibody reacts with Human.
Predicted Reactivity
Rat, Mouse
Manufacturer - Cross Reactivity
TRPV4 antibody is human specific. At least six isoforms of TRPV4 are known to exist. This antibody is predicted to not cross-react with other TRP protein family members.

Note: The presented information and documents (Manual, Product Datasheet, Safety Datasheet and Certificate of Analysis) correspond to our latest update and should serve for orientational purpose only. We do not guarantee the topicality. We would kindly ask you to make a request for specific requirements, if necessary.

All products are intended for research use only (RUO). Not for human, veterinary or therapeutic use.

Amount: 0.1 mg
Available: In stock
available

Delivery expected until 12/4/2025 

Compare

Add to wishlist

Get an offer

Request delivery time

Ask a technical question

Submit a bulk request

Questions about this Product?