Comparison

Anti-Clusterin-Alpha (E436) Antibody European Partner

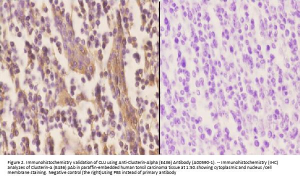
Item no. BOS-A00590-1
Manufacturer Boster
Amount 100 ul
Category
Format Liquid
Applications WB, IF, IHC
Specific against Human (Homo sapiens), Mouse (Murine, Mus musculus), Rat (Rattus norvegicus)
Host Rabbit
Alias Clusterin,Aging-associated gene 4 protein,Apolipoprotein J,Apo-J,Complement cytolysis inhibitor,CLI,Complement-associated protein SP-40,40,Ku70-binding protein 1,NA1/NA2,Testosterone-repressed prostate message 2,TRPM-2,Clusterin beta chain,ApoJalpha,Complement cytolysis inhibitor a chain,Clusterin alpha chain,ApoJbeta,Complement cytolysis inhibitor b chain,CLU,APOJ,CLI,KUB1,AAG4
Available
Manufacturer - Category
Primary Antibodies
Storage Conditions
Store at -20°C for one year. For short term storage and frequent use, store at 4°C for up to one month. Avoid repeated freeze-thaw cycles.
Molecular Weight
52495 MW
Clonality
Polyclonal
Application Details
WB: 1:500-1:1000
IHC: 1:50-1:200
IF: 1:50-1:200
Gene Name
CLU
Gene Full Name
Clusterin
Immunogen
Synthetic peptide, corresponding to amino acids C-terminus of Human Clusterin-α.
Contents
Rabbit IgG, 1mg/ml in PBS with 0.02% sodium azide, 50% glycerol, pH7.2
Purification
The antibody was affinity-purified from rabbit antiserum by affinity-chromatography using epitope-specific immunogen and the purity is > 95% (by SDS-PAGE).
Concentration
1 mg/ml
Protein Name
Clusterin
Protein Function
Isoform 1 functions as extracellular chaperone that
prevents aggregation of nonnative proteins. Prevents stress-
induced aggregation of blood plasma proteins. Inhibits formation
of amyloid fibrils by APP, APOC2, B2M, CALCA, CSN3, SNCA and
aggregation-prone LYZ variants (in vitro). Does not require ATP.
Maintains partially unfolded proteins in a state appropriate for
subsequent refolding by other chaperones, such as HSPA8/HSC70.
Does not refold proteins by itself. Binding to cell surface
receptors triggers internalization of the chaperone-client complex
and subsequent lysosomal or proteasomal degradation. Secreted
isoform 1 protects cells against apoptosis and against cytolysis
by complement. Intracellular isoforms interact with ubiquitin and
SCF (SKP1-CUL1-F-box protein) E3 ubiquitin-protein ligase
complexes and promote the ubiquitination and subsequent
proteasomal degradation of target proteins. Promotes proteasomal
degradation of COMMD1 and IKBKB. Modulates NF-kappa-B
transcriptional activity. Nuclear isoforms promote apoptosis.
Mitochondrial isoforms suppress BAX-dependent release of
cytochrome c into the cytoplasm and inhibit apoptosis. Plays a
role in the regulation of cell proliferation.
Subcellular Localization
Isoform 1: Secreted. Can
retrotranslocate from the secretory compartments to the cytosol
upon cellular stress.
Description
Boster Bio Anti-Clusterin-Alpha (E436) Antibody catalog # A00590-1. Tested in WB, IHC, IF applications. This antibody reacts with Human, Mouse, Rat.
Tissue Specificity
Detected in blood plasma, cerebrospinal fluid,
milk, seminal plasma and colon mucosa. Detected in the germinal
center of colon lymphoid nodules and in colon parasympathetic
ganglia of the Auerbach plexus (at protein level). Ubiquitous.
Detected in brain, testis, ovary, liver and pancreas, and at lower
levels in kidney, heart, spleen and lung.
Manufacturer - Alias
Clusterin, Aging-associated gene 4 protein, Apolipoprotein J, Apo-J, Complement cytolysis inhibitor, CLI, Complement-associated protein SP-40, 40, Ku70-binding protein 1, NA1/NA2, Testosterone-repressed prostate message 2, TRPM-2, Clusterin beta chain, ApoJalpha, Complement cytolysis inhibitor a chain, Clusterin alpha chain, ApoJbeta, Complement cytolysis inhibitor b chain, CLU, APOJ, CLI, KUB1, AAG4

Note: The presented information and documents (Manual, Product Datasheet, Safety Datasheet and Certificate of Analysis) correspond to our latest update and should serve for orientational purpose only. We do not guarantee the topicality. We would kindly ask you to make a request for specific requirements, if necessary.

All products are intended for research use only (RUO). Not for human, veterinary or therapeutic use.

Amount: 100 ul
Available: In stock
available

Delivery expected until 12/4/2025 

Compare

Add to wishlist

Get an offer

Request delivery time

Ask a technical question

Submit a bulk request

Questions about this Product?