Comparison

Anti-CLU Antibody (N-term) European Partner

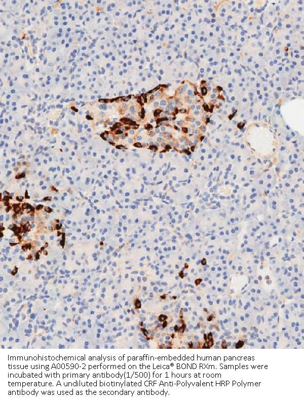
Item no. BOS-A00590-2-400ul
Manufacturer Boster
Amount 400 ul
Quantity options 400 ul 80 ul
Category
Applications WB, FC, IHC-P
Specific against Human (Homo sapiens), Mouse (Murine, Mus musculus), Rat (Rattus norvegicus)
Host Rabbit
Isotype IgG
Alias Clusterin,Aging-associated gene 4 protein,Apolipoprotein J,Apo-J,Complement cytolysis inhibitor,CLI,Complement-associated protein SP-40,Ku70-binding protein 1,NA1/NA2,Testosterone-repressed prostate message 2,TRPM-2,Clusterin beta chain,ApoJalpha,Complement cytolysis inhibitor a chain,Clusterin alpha chain,ApoJbeta,Complement cytolysis inhibitor b chain,CLU,APOJ,CLI,KUB1
Available
Manufacturer - Applications
WB, Flow Cytometry, IHC-P-Leica
Manufacturer - Category
Primary Antibodies
Storage Conditions
Maintain refrigerated at 2-8°C for up to 2 weeks. For long-term storage, store at -20°C in small aliquots to prevent freeze-thaw cycles.
Molecular Weight
52495 Da
Clonality
Polyclonal
Application Details
WB: 1:500-1000
IHC-P-Leica: 1:500
FC: 1:25
Gene Name
CLU
Background
The protein encoded by this gene appears to be involved in
several basic biological events such as cell death, tumor
progression, and neurodegenerative disorders. However, the function
of this protein is unknown. Three transcript variants encoding
different isoforms have been found for this gene, and one of them
is secreted and processed into a mature form.
Immunogen
This CLU antibody is generated from rabbits immunized with a KLH conjugated synthetic peptide between 71-99 amino acids from the N-terminal region of human CLU.
Contents
Purified polyclonal antibody supplied in PBS with 0.09% (W/V) sodium azide.
Purification
This antibody is purified through a protein A column, followed by peptide affinity purification.
Manufacturer - Research Category
Cancer, Cardiovascular, Cell Biology, Metabolism, Signal Transduction, Immunology, Innate Immunity, Mitochondria
Protein Function
[Isoform 1]: Functions as extracellular chaperone that prevents aggregation of non native proteins (PubMed:11123922, PubMed:19535339). Prevents stress-induced aggregation of blood plasma proteins (PubMed:11123922, PubMed:12176985, PubMed:17260971, PubMed:19996109). Inhibits formation of amyloid fibrils by APP, APOC2, B2M, CALCA, CSN3, SNCA and aggregation-prone LYZ variants (in vitro) (PubMed:12047389, PubMed:17412999, PubMed:17407782). Does not require ATP (PubMed:11123922). Maintains partially unfolded proteins in a state appropriate for subsequent refolding by other chaperones, such as HSPA8/HSC70 (PubMed:11123922). Does not refold proteins by itself (PubMed:11123922). Binding to cell surface receptors triggers internalization of the chaperone-client complex and subsequent lysosomal or proteasomal degradation (PubMed:21505792). Protects cells against apoptosis and against cytolysis by complement (PubMed:2780565). Intracellular forms interact with ubiquitin and SCF (SKP1-CUL1-F-box protein) E3 ubiquitin-protein ligase complexes and promote the ubiquitination and subsequent proteasomal degradation of target proteins (PubMed:20068069). Promotes proteasomal degradation of COMMD1 and IKBKB (PubMed:20068069). Modulates NF-kappa-B transcriptional activity (PubMed:12882985). A mitochondrial form suppresses BAX- dependent release of cytochrome c into the cytoplasm and inhibit apoptosis (PubMed:16113678, PubMed:17689225). Plays a role in the regulation of cell proliferation (PubMed:19137541). An intracellular form suppresses stress-induced apoptosis by stabilizing mitochondrial membrane integrity through interaction with HSPA5 (PubMed:22689054). Secreted form does not affect caspase or BAX-mediated intrinsic apoptosis and TNF-induced NF-kappa-B-activity (PubMed:24073260). Secreted form act as an important modulator during neuronal differentiation through interaction with STMN3 (By similarity). Plays a role in the clearance of immune complexes that arise during cell injury (By similarity).
Subcellular Localization
[Isoform 1]: Secreted. Note=Can retrotranslocate from the secretory compartments to the cytosol upon cellular stress. [Isoform 6]: Cytoplasm. Note=Keeps cytoplasmic localization in stressed and unstressed cell.
Description
Boster Bio Anti-CLU Antibody (N-term) (Catalog # A00590-2). Tested in WB, Flow Cytometry, IHC-P-Leica application(s). This antibody reacts with Human, Mouse, Rat.
Tissue Specificity
Detected in blood plasma, cerebrospinal fluid, milk, seminal plasma and colon mucosa. Detected in the germinal center of colon lymphoid nodules and in colon parasympathetic ganglia of the Auerbach plexus (at protein level). Ubiquitous. Detected in brain, testis, ovary, liver and pancreas, and at lower levels in kidney, heart, spleen and lung.
Manufacturer - Alias
Clusterin, Aging-associated gene 4 protein, Apolipoprotein J, Apo-J, Complement cytolysis inhibitor, CLI, Complement-associated protein SP-40, Ku70-binding protein 1, NA1/NA2, Testosterone-repressed prostate message 2, TRPM-2, Clusterin beta chain, ApoJalpha, Complement cytolysis inhibitor a chain, Clusterin alpha chain, ApoJbeta, Complement cytolysis inhibitor b chain, CLU, APOJ, CLI, KUB1

Note: The presented information and documents (Manual, Product Datasheet, Safety Datasheet and Certificate of Analysis) correspond to our latest update and should serve for orientational purpose only. We do not guarantee the topicality. We would kindly ask you to make a request for specific requirements, if necessary.

All products are intended for research use only (RUO). Not for human, veterinary or therapeutic use.

Amount: 400 ul
Available: In stock
available

Delivery expected until 12/4/2025 

Compare

Add to wishlist

Get an offer

Request delivery time

Ask a technical question

Submit a bulk request

Questions about this Product?