Comparison

Anti-Clusterin Antibody European Partner

Item no. BOS-A00590
Manufacturer Boster
Amount 0.1 mg
Category
Format Liquid
Applications WB, IF, ELISA, IHC-P
Specific against Human (Homo sapiens), Mouse (Murine, Mus musculus)
Host Rabbit
Isotype IgG
Alias CLI,AAG4,APOJ,CLU1,CLU2,KUB1,SGP2,APO-J,SGP-2,SP-40,TRPM2,TRPM-2,NA1/NA2,CLI,Clusterin,Aging-associated gene 4 protein,Apo-J
Available
Manufacturer - Category
Primary Antibodies
Storage Conditions
Clusterin antibody can be stored at 4°C for three months and -20°C, stable for up to one year. Avoid repeated freeze-thaw cycles. Antibodies should not be exposed to prolonged high temperatures.
Molecular Weight
52495 MW
Clonality
Polyclonal
Application Details
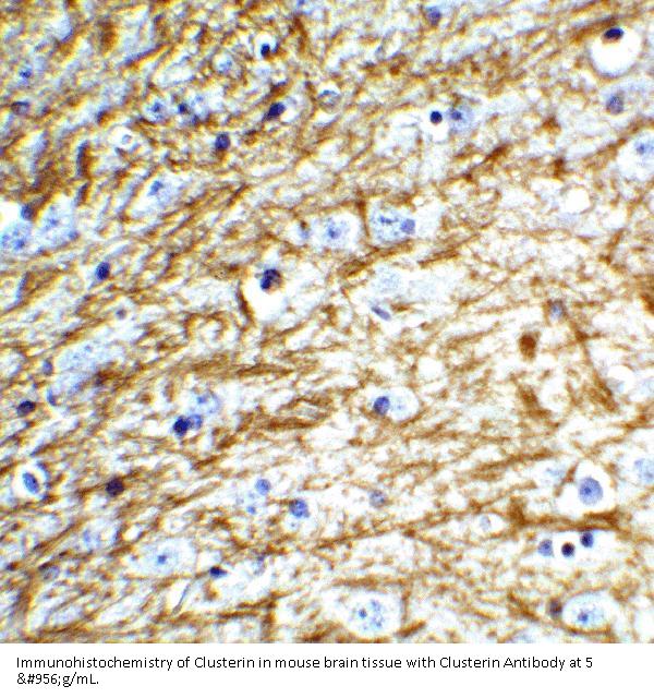
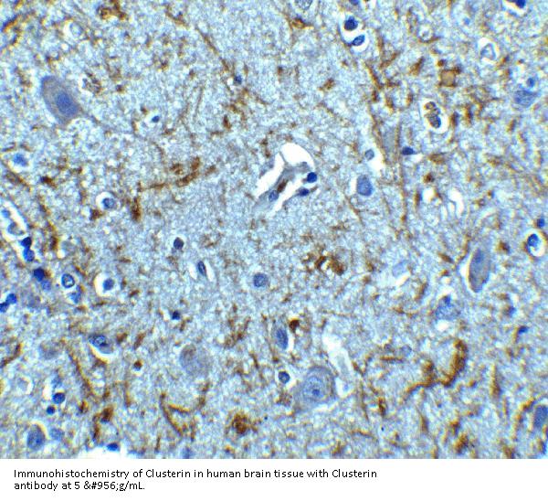
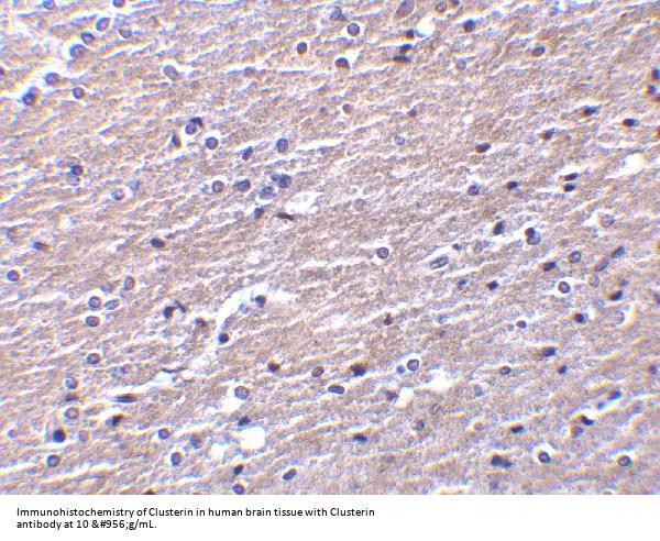
Clusterin antibody can be used for the detection of Clusterin by Western blot at 0.5 - 1 μg/mL. Antibody can also be used for immunohistochemistry starting at 5 μg/mL. For immunofluorescence start at 20 μg/mL.
Antibody validated: Western Blot in human samples; Immunohistochemistry in human and mouse samples and Immunofluorescence in human and mouse samples. All other applications and species not yet tested. Optimal dilutions for each application should be determined by the researcher.
Gene Name
CLU
Gene Full Name
Clusterin
Background
Clusterin, also known as Apolipoprotein J (ApoJ), is a ubiquitous multifunctional glycoprotein that can interact with a broad spectrum of molecules such as complement components, various receptors, and the Alzheimer's b-amyloid peptide. Clusterin expression is increased in Alzheimer's disease brain tissue and clusterin-immunoreactive amyloid plaques are found associated with phospho-tau-positive dystrophic neurites and it has been suggested that clusterin facilitates the conversion of diffuse b-amyloid deposits into amyloid and enhances tau phosphorylation in neurites around these plaques. Other reports show that clusterin expression is decreased in proliferating cells and is upregulated in quiescent and senescent cells, suggesting that it may also play a role in aging and tumorigenesis suppression. Clusterin exists in at least two distinct isoforms.
Immunogen
Clusterin antibody was raised recombinant human Clusterin isoform 1.
Contents
Clusterin Antibody is supplied in PBS containing 0.02% sodium azide.
Purification
Clusterin Antibody is affinity chromatography purified via peptide column.
Concentration
1 mg/mL
Manufacturer - Research Category
Neuroscience
Protein Name
Clusterin
Protein Function
Isoform 1 functions as extracellular chaperone that
prevents aggregation of nonnative proteins. Prevents stress-
induced aggregation of blood plasma proteins. Inhibits formation
of amyloid fibrils by APP, APOC2, B2M, CALCA, CSN3, SNCA and
aggregation-prone LYZ variants (in vitro). Does not require ATP.
Maintains partially unfolded proteins in a state appropriate for
subsequent refolding by other chaperones, such as HSPA8/HSC70.
Does not refold proteins by itself. Binding to cell surface
receptors triggers internalization of the chaperone-client complex
and subsequent lysosomal or proteasomal degradation. Secreted
isoform 1 protects cells against apoptosis and against cytolysis
by complement. Intracellular isoforms interact with ubiquitin and
SCF (SKP1-CUL1-F-box protein) E3 ubiquitin-protein ligase
complexes and promote the ubiquitination and subsequent
proteasomal degradation of target proteins. Promotes proteasomal
degradation of COMMD1 and IKBKB. Modulates NF-kappa-B
transcriptional activity. Nuclear isoforms promote apoptosis.
Mitochondrial isoforms suppress BAX-dependent release of
cytochrome c into the cytoplasm and inhibit apoptosis. Plays a
role in the regulation of cell proliferation.
Subcellular Localization
Isoform 1: Secreted. Can
retrotranslocate from the secretory compartments to the cytosol
upon cellular stress.
Description
Boster Bio Anti-Clusterin Antibody (Catalog # A00590). Tested in ELISA, WB, IHC-P, IF applications. This antibody reacts with Human, Mouse.
Tissue Specificity
Detected in blood plasma, cerebrospinal fluid,
milk, seminal plasma and colon mucosa. Detected in the germinal
center of colon lymphoid nodules and in colon parasympathetic
ganglia of the Auerbach plexus (at protein level). Ubiquitous.
Detected in brain, testis, ovary, liver and pancreas, and at lower
levels in kidney, heart, spleen and lung.

Note: The presented information and documents (Manual, Product Datasheet, Safety Datasheet and Certificate of Analysis) correspond to our latest update and should serve for orientational purpose only. We do not guarantee the topicality. We would kindly ask you to make a request for specific requirements, if necessary.

All products are intended for research use only (RUO). Not for human, veterinary or therapeutic use.

Amount: 0.1 mg
Available: In stock
available

Delivery expected until 12/4/2025 

Compare

Add to wishlist

Get an offer

Request delivery time

Ask a technical question

Submit a bulk request

Questions about this Product?