Comparison

Anti-SIRT6 Antibody Picoband® European Partner

Item no. BOS-A00611-3
Manufacturer Boster
Amount 100 ug/vial
Quantity options 100 ug/vial 10 ug 100 ug 100 ug 100 ug 100 ug 100 ug 100 ug 100 ug 100 ug 100 ug 100 ug
Category
Type Antibody Polyclonal
Format Lyophilized
Applications WB, FC, IF, ICC, ELISA
Specific against Human (Homo sapiens)
Host Rabbit
Isotype IgG
Citations 1. Butzow, R., Huhtala, M.-L., Bohn, H., Virtanen, I., Seppala, M. Purification and characterization of placental protein 5. Biochem. Biophys. Res. Commun. 150: 483-490, 1988. Note: Erratum: Biochem. Biophys. Res. Commun. 151: 630-631, 1988.
2. Kisiel, W., Sprecher, C. A., Foster, D. C. Evidence that a second human tissue factor pathway inhibitor (TFPI-2) and human placental protein 5 are equivalent. (Letter) Blood 84: 4384-4385, 1994.
3. Ma, S., Chan, Y. P., Kwan, P. S., Lee, T. K., Yan, M., Tang, K. H., Ling, M. T., Vielkind, J. R., Guan, X.-Y., Chan, K. W. MicroRNA-616 induces androgen-independent growth of prostate cancer cells by suppressing expression of tissue factor pathway inhibitor TFPI-2. Cancer Res. 71: 583-592, 2011.
ECLASS 10.1 32160702
ECLASS 11.0 32160702
UNSPSC 12352203
Available
Manufacturer - Category
Primary Antibodies
Storage Conditions
At -20°C for one year from date of receipt.
After reconstitution, at 4°C for one month. It can also be aliquotted and stored frozen at -20°C for six months.
Avoid repeated freezing and thawing.
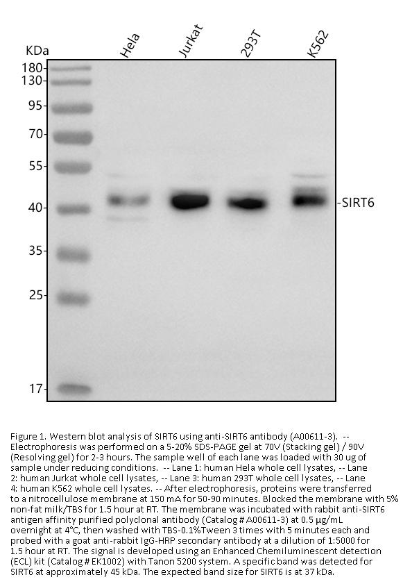
Observed Molecular weight
45 kDa
Clonality
Polyclonal
Application Details
Western blot, 0.25-0.5 μg/ml, Human
Immunocytochemistry/Immunofluorescence, 5 μg/ml, Human
Flow Cytometry (Fixed), 1-3 μg /1x106 cells, Human
ELISA, 0.1-0.5 μg/ml
Gene Name
SIRT6
Background
Sirtuin 6 (SIRT6 or Sirt6) is a stress responsive protein deacetylase and mono-ADP ribosyltransferase enzyme encoded by the SIRT6 gene. This gene encodes a member of the sirtuin family of NAD-dependent enzymes that are implicated in cellular stress resistance, genomic stability, aging and energy homeostasis. The encoded protein is localized to the nucleus, exhibits ADP-ribosyl transferase and histone deacetylase activities, and plays a role in DNA repair, maintenance of telomeric chromatin, inflammation, lipid and glucose metabolism. Alternative splicing results in multiple transcript variants encoding different isoforms.
Immunogen
E.coli-derived human SIRT6 recombinant protein (Position: D14-S355). Human SIRT6 shares 82.7% amino acid (aa) sequence identity with both mouse SIRT6.
Contents
Each vial contains 4 mg Trehalose, 0.9 mg NaCl, 0.2 mg Na2HPO4.
Purification
Immunogen affinity purified.
Reconstitution
Adding 0.2 ml of distilled water will yield a concentration of 500 μg/ml.
Concentration
Adding 0.2 ml of distilled water will yield a concentration of 500 μg/ml.
Description
Boster Bio Anti-SIRT6 Antibody Picoband® catalog # A00611-3. Tested in WB, ICC/IF, Flow Cytometry, ELISA applications. This antibody reacts with Human. The brand Picoband indicates this is a premium antibody that guarantees superior quality, high affinity, and strong signals with minimal background in Western blot applications. Only our best-performing antibodies are designated as Picoband, ensuring unmatched performance.

Note: The presented information and documents (Manual, Product Datasheet, Safety Datasheet and Certificate of Analysis) correspond to our latest update and should serve for orientational purpose only. We do not guarantee the topicality. We would kindly ask you to make a request for specific requirements, if necessary.

All products are intended for research use only (RUO). Not for human, veterinary or therapeutic use.

Amount: 100 ug/vial
Available: In stock
available

Delivery expected until 12/4/2025 

Compare

Add to wishlist

Get an offer

Request delivery time

Ask a technical question

Submit a bulk request

Questions about this Product?