Comparison

Anti-Glucagon GCG Antibody European Partner

Item no. BOS-A00678-1
Manufacturer Boster
Amount 100 ul
Category
Format Liquid
Applications WB, IHC
Specific against Human (Homo sapiens), Mouse (Murine, Mus musculus), Rat (Rattus norvegicus)
Host Rabbit
Alias Glucagon,Glicentin,Glicentin-related polypeptide,GRPP,Oxyntomodulin,OXM,OXY,Glucagon,Glucagon-like peptide 1,GLP-1,Incretin hormone,Glucagon-like peptide 1 (7-37),GLP-1 (7-37),Glucagon-like peptide 1 (7-36),GLP-1 (7-36),Glucagon-like peptide 2,GLP-2,GCG
Available
Manufacturer - Category
Primary Antibodies
Storage Conditions
Store at -20°C for one year. For short term storage and frequent use, store at 4°C for up to one month. Avoid repeated freeze-thaw cycles.
Molecular Weight
20909 MW
Clonality
Polyclonal
Application Details
WB: 1:500-1:1, 000
IHC: 1:50-1:200
Gene Name
GCG
Gene Full Name
Glucagon
Immunogen
recombinant protein
Contents
Rabbit IgG, 1mg/ml in PBS with 0.02% sodium azide, 50% glycerol, pH7.2
Purification
ProA affinity purified
Concentration
1 mg/ml
Protein Name
Glucagon
Protein Function
Glucagon plays a key role in glucose metabolism and
homeostasis. Regulates blood glucose by increasing gluconeogenesis
and decreasing glycolysis. A counterregulatory hormone of insulin,
raises plasma glucose levels in response to insulin-induced
hypoglycemia. Plays an important role in initiating and
maintaining hyperglycemic conditions in diabetes.
Subcellular Localization
Secreted.
Description
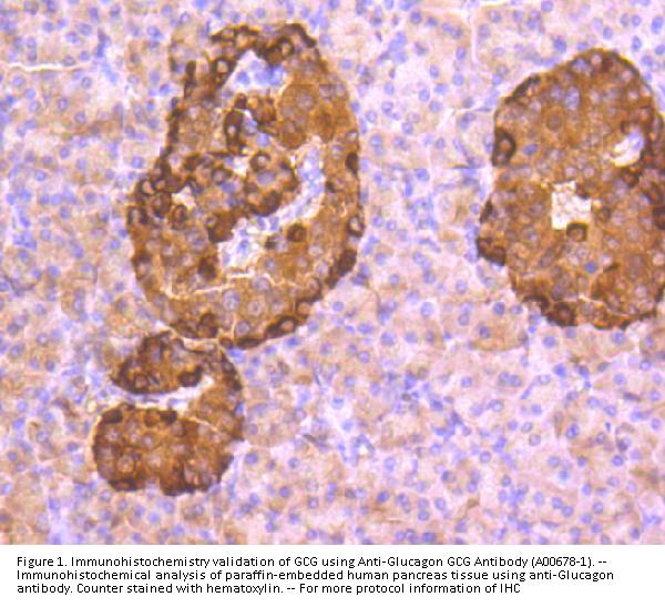
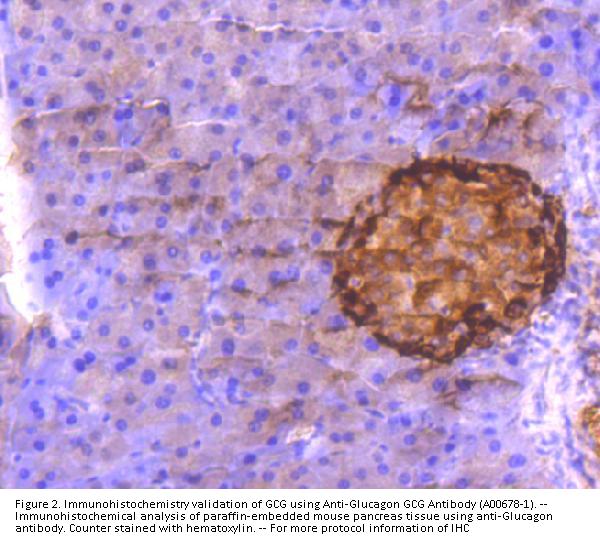
Boster Bio Anti-Glucagon GCG Antibody catalog # A00678-1. Tested in WB, IHC applications. This antibody reacts with Human, Mouse, Rat.
Tissue Specificity
Glucagon is secreted in the A cells of the
islets of Langerhans. GLP-1, GLP-2, oxyntomodulin and glicentin
are secreted from enteroendocrine cells throughout the
gastrointestinal tract. GLP-1 and GLP-2 are also secreted in
selected neurons in the brain.
Manufacturer - Alias
Glucagon, Glicentin, Glicentin-related polypeptide, GRPP, Oxyntomodulin, OXM, OXY, Glucagon, Glucagon-like peptide 1, GLP-1, Incretin hormone, Glucagon-like peptide 1 (7-37), GLP-1 (7-37), Glucagon-like peptide 1 (7-36), GLP-1 (7-36), Glucagon-like peptide 2, GLP-2, GCG

Note: The presented information and documents (Manual, Product Datasheet, Safety Datasheet and Certificate of Analysis) correspond to our latest update and should serve for orientational purpose only. We do not guarantee the topicality. We would kindly ask you to make a request for specific requirements, if necessary.

All products are intended for research use only (RUO). Not for human, veterinary or therapeutic use.

Amount: 100 ul
Available: In stock
available

Delivery expected until 12/4/2025 

Compare

Add to wishlist

Get an offer

Request delivery time

Ask a technical question

Submit a bulk request

Questions about this Product?