Comparison

Anti-AKT2 (phospho-S474) Antibody European Partner

Item no. BOS-A00725S474
Manufacturer Boster
Amount 100 ul
Category
Format Liquid
Applications WB, IHC
Specific against Human (Homo sapiens), Mouse (Murine, Mus musculus), Rat (Rattus norvegicus)
Host Rabbit
Alias RAC-beta serine/threonine-protein kinase,2.7.11.1,Protein kinase Akt-2,Protein kinase B beta,PKB beta,RAC-PK-beta,AKT2
Available
Manufacturer - Category
Primary Antibodies
Storage Conditions
Store at -20°C for one year. For short term storage and frequent use, store at 4°C for up to one month. Avoid repeated freeze-thaw cycles.
Molecular Weight
55769 MW
Clonality
Polyclonal
Application Details
WB: 1:500-1:1000
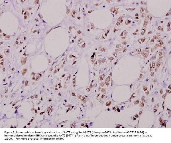
IHC: 1:50-1:200
Gene Name
AKT2
Gene Full Name
RAC-beta serine/threonine-protein kinase
Immunogen
Synthetic phosphopeptide derived from human AKT2 around the phosphorylation site of Serine 474.
Contents
Rabbit IgG, 1mg/ml in PBS with 0.02% sodium azide, 50% glycerol, pH7.2
Purification
The antibody was affinity-purified from rabbit antiserum by affinity-chromatography using epitope-specific immunogen and the purity is > 95% (by SDS-PAGE).
Concentration
1 mg/ml
Protein Name
RAC-beta serine/threonine-protein kinase
Protein Function
AKT2 is one of 3 closely related serine/threonine-
protein kinases (AKT1, AKT2 and AKT3) called the AKT kinase, and
which regulate many processes including metabolism, proliferation,
cell survival, growth and angiogenesis. This is mediated through
serine and/or threonine phosphorylation of a range of downstream
substrates. Over 100 substrate candidates have been reported so
far, but for most of them, no isoform specificity has been
reported. AKT is responsible of the regulation of glucose uptake
by mediating insulin-induced translocation of the SLC2A4/GLUT4
glucose transporter to the cell surface. Phosphorylation of PTPN1
at 'Ser-50' negatively modulates its phosphatase activity
preventing dephosphorylation of the insulin receptor and the
attenuation of insulin signaling. Phosphorylation of TBC1D4
triggers the binding of this effector to inhibitory 14-3-3
proteins, which is required for insulin-stimulated glucose
transport. AKT regulates also the storage of glucose in the form
of glycogen by phosphorylating GSK3A at 'Ser-21' and GSK3B at
'Ser-9', resulting in inhibition of its kinase activity.
Phosphorylation of GSK3 isoforms by AKT is also thought to be one
mechanism by which cell proliferation is driven. AKT regulates
also cell survival via the phosphorylation of MAP3K5 (apoptosis
signal-related kinase). Phosphorylation of 'Ser-83' decreases
MAP3K5 kinase activity stimulated by oxidative stress and thereby
prevents apoptosis. AKT mediates insulin-stimulated protein
synthesis by phosphorylating TSC2 at 'Ser-939' and 'Thr-1462',
thereby activating mTORC1 signaling and leading to both
phosphorylation of 4E-BP1 and in activation of RPS6KB1. AKT is
involved in the phosphorylation of members of the FOXO factors
(Forkhead family of transcription factors), leading to binding of
14-3-3 proteins and cytoplasmic localization. In particular, FOXO1
is phosphorylated at 'Thr-24', 'Ser-256' and 'Ser-319'. FOXO3 and
FOXO4 are phosphorylated on equivalent sites. AKT has an important
role in the regulation of NF-kappa-B-dependent gene transcription
and positively regulates the activity of CREB1 (cyclic AMP (cAMP)-
response element binding protein). The phosphorylation of CREB1
induces the binding of accessory proteins that are necessary for
the transcription of pro-survival genes such as BCL2 and MCL1. AKT
phosphorylates 'Ser-454' on ATP citrate lyase (ACLY), thereby
potentially regulating ACLY activity and fatty acid synthesis.
Activates the 3B isoform of cyclic nucleotide phosphodiesterase
(PDE3B) via phosphorylation of 'Ser-273', resulting in reduced
cyclic AMP levels and inhibition of lipolysis. Phosphorylates
PIKFYVE on 'Ser-318', which results in increased PI (3)P-5
activity. The Rho GTPase-activating protein DLC1 is another
substrate and its phosphorylation is implicated in the regulation
cell proliferation and cell growth. AKT plays a role as key
modulator of the AKT-mTOR signaling pathway controlling the tempo
of the process of newborn neurons integration during adult
neurogenesis, including correct neuron positioning, dendritic
development and synapse formation. Signals downstream of
phosphatidylinositol 3-kinase (PI (3)K) to mediate the effects of
various growth factors such as platelet-derived growth factor
(PDGF), epidermal growth factor (EGF), insulin and insulin-like
growth factor I (IGF-I). AKT mediates the antiapoptotic effects of
IGF-I. Essential for the SPATA13-mediated regulation of cell
migration and adhesion assembly and disassembly. May be involved
in the regulation of the placental development.
Subcellular Localization
Cytoplasm. Nucleus. Cell membrane;
Peripheral membrane protein. Early endosome
Description
Boster Bio Anti-AKT2 (phospho-S474) Antibody catalog # A00725S474. Tested in WB, IHC applications. This antibody reacts with Human, Mouse, Rat.
Tissue Specificity
Expressed in all cell types so far analyzed.

Note: The presented information and documents (Manual, Product Datasheet, Safety Datasheet and Certificate of Analysis) correspond to our latest update and should serve for orientational purpose only. We do not guarantee the topicality. We would kindly ask you to make a request for specific requirements, if necessary.

All products are intended for research use only (RUO). Not for human, veterinary or therapeutic use.

Amount: 100 ul
Available: In stock
available

Delivery expected until 12/4/2025 

Compare

Add to wishlist

Get an offer

Request delivery time

Ask a technical question

Submit a bulk request

Questions about this Product?