Comparison

Anti-GHRH Antibody Picoband® European Partner

Item no. BOS-A01699-1-iFluor647
Manufacturer Boster
Amount 100 ug
Quantity options 100 ug/vial 10 ug 100 ug 100 ug 100 ug 100 ug 100 ug 100 ug 100 ug 100 ug 100 ug 100 ug
Category
Format Lyophilized
Applications WB, IHC, ELISA
Specific against Human (Homo sapiens), Mouse (Murine, Mus musculus), Rat (Rattus norvegicus)
Host Rabbit
Isotype IgG
Citations 1. Alba, M., Salvatori, R. A mouse with targeted ablation of the growth hormone-releasing hormone gene: a new model of isolated growth hormone deficiency. Endocrinology 145: 4134-4143, 2004.
2. Behrens, L. H., Barr, D. P. Hyperpituitarism beginning in infancy: the Alton giant. Endocrinology 16: 120-128, 1932.
3. Busto, R., Schally, A. V., Varga, J. L., Garcia-Fernandez, M. O., Groot, K., Armatis, P., Szepeshazi, K. The expression of growth hormone-releasing hormone (GHRH) and splice variants of its receptor in human gastroenteropancreatic carcinomas. Proc. Nat. Acad. Sci. 99: 11866-11871, 2002.
Alias Discoidin domain-containing receptor 2,Discoidin domain receptor 2,CD167 antigen-like family member B,Discoidin domain-containing receptor tyrosine kinase 2,Neurotrophic tyrosine kinase,receptor-related 3,Receptor protein-tyrosine kinase TKT,Tyrosine-protein kinase TYRO10,CD167b,DDR2,NTRKR3,TKT,TYRO10
Available
Manufacturer - Category
Primary Antibodies
Manufacturer - Conjugate / Tag
iFluor647
Storage Conditions
At -20°C for one year from date of receipt.
After reconstitution, at 4°C for one month. It can also be aliquotted and stored frozen at -20°C for six months.
Avoid repeated freezing and thawing.
Observed Molecular weight
13-15 kDa
Clonality
Polyclonal
Application Details
Western blot, 0.25-0.5 μg/ml, Mouse, Rat
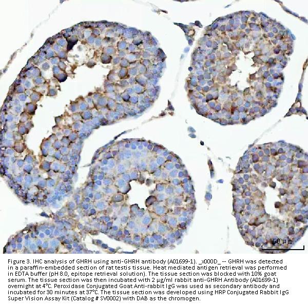
Immunohistochemistry(Paraffin-embedded Section), 2-5 μg/ml, Mouse, Rat
ELISA, 0.1-0.5 μg/ml
Gene Name
GHRH
Gene Full Name
discoidin domain receptor tyrosine kinase 2
Background
This gene encodes a member of the glucagon family of proteins. The encoded preproprotein is produced in the hypothalamus and cleaved to generate the mature factor, known as somatoliberin, which acts to stimulate growth hormone release from the pituitary gland. Variant receptors for somatoliberin have been found in several types of tumors, and antagonists of these receptors can inhibit the growth of the tumors. Defects in this gene are a cause of dwarfism, while hypersecretion of the encoded protein is a cause of gigantism. Alternative splicing results in multiple transcript variants, at least one of which encodes a preproprotein that is proteolytically processed.
Immunogen
E.coli-derived human GHRH recombinant protein (Position: Y32-L75).
Contents
Each vial contains 4 mg Trehalose, 0.9 mg NaCl, 0.2 mg Na2HPO4.
Purification
Immunogen affinity purified.
Reconstitution
Adding 0.2 ml of distilled water will yield a concentration of 500 μg/ml.
Concentration
Adding 0.2 ml of distilled water will yield a concentration of 500 μg/ml.
Manufacturer - Research Category
Cardiogenesis, Cardiovascular, Neuroscience, Neurotransmission, Receptors / Channels
Protein Function
Tyrosine kinase that functions as cell surface receptor for fibrillar collagen and regulates cell differentiation, remodeling of the extracellular matrix, cell migration and cell proliferation. Required for normal bone development. Regulates osteoblast differentiation and chondrocyte maturation via a signaling pathway that involves MAP kinases and leads to the activation of the transcription factor RUNX2. Regulates remodeling of the extracellular matrix by up-regulation of the collagenases MMP1, MMP2 and MMP13, and thereby facilitates cell migration and tumor cell invasion. Promotes fibroblast migration and proliferation, and thereby contributes to cutaneous wound healing.
Subcellular Localization
Cell membrane.
Description
Boster Bio Anti-GHRH Antibody Picoband® catalog # A01699-1. Tested in ELISA, IHC, WB applications. This antibody reacts with Human, Mouse, Rat. The brand Picoband indicates this is a premium antibody that guarantees superior quality, high affinity, and strong signals with minimal background in Western blot applications. Only our best-performing antibodies are designated as Picoband, ensuring unmatched performance.
Tissue Specificity
Detected in osteocytes, osteoblastic cells in subchondral bone, bone lining cells, tibia and cartilage (at protein level). Detected at high levels in heart and lung, and at low levels in brain, placenta, liver, skeletal muscle, pancreas, and kidney.
Manufacturer - Alias
Discoidin domain-containing receptor 2, Discoidin domain receptor 2, CD167 antigen-like family member B, Discoidin domain-containing receptor tyrosine kinase 2, Neurotrophic tyrosine kinase, receptor-related 3, Receptor protein-tyrosine kinase TKT, Tyrosine-protein kinase TYRO10, CD167b, DDR2, NTRKR3, TKT, TYRO10
Manufacturer - Cross Reactivity
No cross-reactivity with other proteins.

Note: The presented information and documents (Manual, Product Datasheet, Safety Datasheet and Certificate of Analysis) correspond to our latest update and should serve for orientational purpose only. We do not guarantee the topicality. We would kindly ask you to make a request for specific requirements, if necessary.

All products are intended for research use only (RUO). Not for human, veterinary or therapeutic use.

Amount: 100 ug
Available: In stock
available

Compare

Add to wishlist

Get an offer

Request delivery time

Ask a technical question

Submit a bulk request

Questions about this Product?