Comparison

Anti-Glucocorticoid Receptor/NR3C1 Antibody Picoband® European Partner

Item no. BOS-PB9232-carrier-free
Manufacturer Boster
Amount 100 ug
Quantity options 100 ug/vial 10 ug 100 ug 100 ug 100 ug 100 ug 100 ug 100 ug 100 ug 100 ug 100 ug 100 ug 100 ug
Category
Type Antibody Polyclonal
Format Lyophilized
Applications WB, FC, IF, IHC, ICC
Specific against Human (Homo sapiens)
Host Rabbit
Isotype IgG
Sensitivity <5 pg/ml
Sequence Belongs to the nuclear hormone receptor family. NR3 subfamily.
Citations 1. Lu NZ, Wardell SE, Burnstein KL, Defranco D, Fuller PJ, Giguere V, Hochberg RB, McKay L, Renoir JM, Weigel NL, Wilson EM, McDonnell DP, Cidlowski JA (2006). International Union of Pharmacology. LXV. The pharmacology and classification of the nuclear receptor superfamily: glucocorticoid, mineralocorticoid, progesterone, and androgen receptors. Pharmacol Revl 58 (4): 782–97.
2. Rhen T, Cidlowski JA (October 2005). Antiinflammatory action of glucocorticoids--new mechanisms for old drugs. N. Engl. J. Med. 353 (16): 1711–23.
3. Hollenberg SM, Weinberger C, Ong ES, Cerelli G, Oro A, Lebo R, Thompson EB, Rosenfeld MG, Evans RM (1985). Primary structure and expression of a functional human glucocorticoid receptor cDNA. Nature 318 (6047): 635–41.
ECLASS 10.1 32160702
ECLASS 11.0 32160702
UNSPSC 12352203
Alias Glucocorticoid receptor,GR,Nuclear receptor subfamily 3 group C member 1,NR3C1,GRL
Available
Manufacturer - Category
Primary Antibodies
Manufacturer - Conjugate / Tag
carrier-free
Storage Conditions
Store at -20°C for one year from date of receipt. After reconstitution, at 4°C for one month. It can also be aliquotted and stored frozen at -20°C for six months. Avoid repeated freeze-thaw cycles.
Observed Molecular weight
95 kDa
Calculated Molecular weight
85659 MW
Clonality
Polyclonal
Application Details
Western blot, 0.1-0.5μg/ml, Human
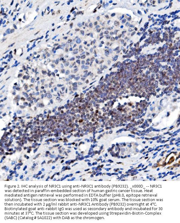
Immunohistochemistry (Paraffin-embedded Section), 2-5μg/ml, Human
Immunocytochemistry/Immunofluorescence, 5μg/ml, Human
Flow Cytometry (Fixed), 1-3μg/1x106 cells, Human
Gene Name
NR3C1
Gene Full Name
Glucocorticoid receptor
Manufacturer - Specificity
No cross reactivity with other proteins.
Background
The glucocorticoid receptor (GR, or GCR), also known as NR3C1, is the receptor to which cortisol and other glucocorticoids bind. In humans, the GR protein is encoded by NR3C1 gene which is located on chromosome 5 (5q31). GR is expressed in almost every cell in the body and regulates genes controlling the development, metabolism, and immune response. Because the receptor gene is expressed in several forms, it has many different (pleiotropic) effects in different parts of the body. The activated GR complex up-regulates the expression of anti-inflammatory proteins in the nucleus or represses the expression of pro-inflammatory proteins in the cytosol (by preventing the translocation of other transcription factors from the cytosol into the nucleus).
Immunogen
E.coli-derived human NR3C1 recombinant protein (Position: M1-D373). Human NR3C1 shares 85% and 82% amino acid (aa) sequences identity with mouse and rat NR3C1, respectively.
Contents
Each vial contains 4mg Trehalose, 0.9mg NaCl, 0.2mg Na2HPO4, 0.05mg NaN3.
Purification
Immunogen affinity purified.
Reconstitution
Add 0.2ml of distilled water will yield a concentration of 500ug/ml.
Concentration
Adding 0.2 ml of distilled water will yield a concentration of 500 μg/ml.
Manufacturer - Research Category
2339, Domain Families, Epigenetics and Nuclear Signaling, Nuclear Hormone Receptors, Nuclear Receptors, Nuclear Signaling Pathways, Signal Transduction, Signaling Pathway, Transcription, Zinc Finger
Protein Name
Glucocorticoid receptor
Protein Function
Receptor for glucocorticoids (GC). Has a dual mode of action: as a transcription factor that binds to glucocorticoid response elements (GRE), both for nuclear and mitochondrial DNA, and as a modulator of other transcription factors. Affects inflammatory responses, cellular proliferation and differentiation in target tissues. Could act as a coactivator for STAT5-dependent transcription upon growth hormone (GH) stimulation and could reveal an essential role of hepatic GR in the control of body growth. Involved in chromatin remodeling. May play a negative role in adipogenesis through the regulation of lipolytic and antilipogenic genes expression.
Subcellular Localization
Cytoplasm. Mitochondrion. Nucleus. Cytoplasmic in the absence of ligand, nuclear after ligand- binding.
Description
Boster Bio Anti-Glucocorticoid Receptor/NR3C1 Antibody Picoband® catalog # PB9232. Tested in Flow Cytometry, IF, IHC, ICC, WB applications. This antibody reacts with Human. The brand Picoband indicates this is a premium antibody that guarantees superior quality, high affinity, and strong signals with minimal background in Western blot applications. Only our best-performing antibodies are designated as Picoband, ensuring unmatched performance.
Tissue Specificity
Widely expressed. In the heart, detected in left and right atria, left and right ventricles, aorta, apex, intraventricular septum, and atrioventricular node as well as whole adult and fetal heart.
Sequence Similarities
Belongs to the nuclear hormone receptor family. NR3 subfamily.
Manufacturer - Cross Reactivity
No cross-reactivity with other proteins

Note: The presented information and documents (Manual, Product Datasheet, Safety Datasheet and Certificate of Analysis) correspond to our latest update and should serve for orientational purpose only. We do not guarantee the topicality. We would kindly ask you to make a request for specific requirements, if necessary.

All products are intended for research use only (RUO). Not for human, veterinary or therapeutic use.

Amount: 100 ug
Available: In stock
available

Compare

Add to wishlist

Get an offer

Request delivery time

Ask a technical question

Submit a bulk request

Questions about this Product?