Comparison

Anti-D-dopachrome decarboxylase DDT Antibody Picoband® European Partner

Item no. BOS-RP1011
Manufacturer Boster
Amount 100 ug/vial
Quantity options 100 ug/vial 10 ug 100 ug 100 ug 100 ug 100 ug 100 ug 100 ug 100 ug 100 ug 100 ug 100 ug 100 ug
Category
Type Antibody Polyclonal
Format Lyophilized
Applications WB, IHC, ELISA
Specific against Human (Homo sapiens), Mouse (Murine, Mus musculus), Rat (Rattus norvegicus)
Host Rabbit
Isotype IgG
Sensitivity >5000 cells
Sequence Belongs to the SCF family.
Citations 1. Esumi, N., Budarf, M., Ciccarelli, L., Sellinger, B., Kozak, C. A., Wistow, G.Conserved gene structure and genomic linkage for D-dopachrome tautomerase (DDT) and MIF.Mammalian Genome 9: 753-757, 1998.
2. Nishihira, J., Fujinaga, M., Kuriyama, T., Suzuki, M., Sugimoto, H., Nakagawa, A., Tanaka, I., Sakai, M.Molecular cloning of human D-dopachrome tautomerase cDNA: N-terminal proline is essential for enzyme activation.Biochem. Biophys. Res. Commun. 243: 538-544, 1998.
ECLASS 10.1 32160702
ECLASS 11.0 32160702
UNSPSC 12352203
Alias D-dopachrome decarboxylase,4.1.1.84,D-dopachrome tautomerase,Phenylpyruvate tautomerase II,DDT
Similar products D dopachrome decarboxylase antibody, D dopachrome tautomerase antibody, D-dopachrome decarboxylase antibody, D-dopachrome tautomerase antibody, DDCT antibody, Ddt antibody, Phenylpyruvate tautomerase II antibody
Available
Manufacturer - Category
Primary Antibodies
Storage Conditions
Store at -20°C for one year from date of receipt. After reconstitution, at 4°C for one month. It can also be aliquotted and stored frozen at -20°C for six months. Avoid repeated freeze-thaw cycles.
Observed Molecular weight
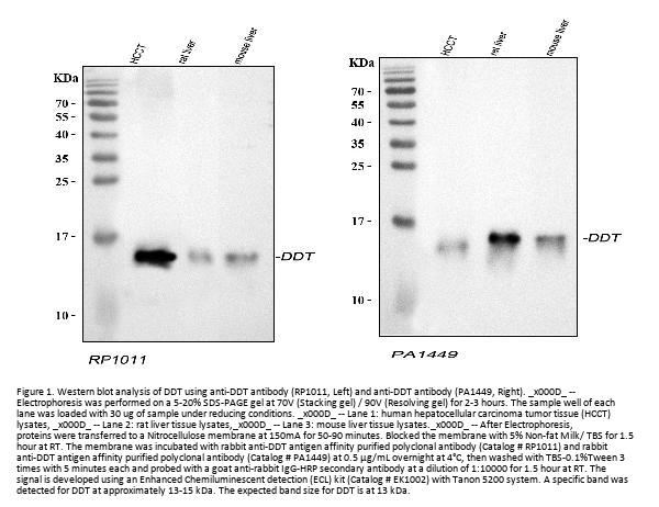
13-15 kDa
Calculated Molecular weight
12712 MW
Clonality
Polyclonal
Application Details
Western blot, 0.1-0.5μg/ml, Human, Mouse, Rat
Immunohistochemistry (Paraffin-embedded Section), 0.5-1μg/ml, Human
ELISA, 0.1-0.5μg/ml, -,
Gene Name
DDT
Gene Full Name
D-dopachrome decarboxylase
Manufacturer - Specificity
No cross reactivity with other proteins.
Background
DDT, D-dopachrome tautomerization, converts D-dopachrome into 5, 6-dihydroxyindole. Northern blot analysis revealed that DDT was expressed as a 0.6-kb mRNA in all tissues tested, with the strongest expression in liver. The DDT gene in human and mouse is identical in exon structure to the MIF gene. Both genes have 2 introns that are located at equivalent positions, relative to a 2-fold repeat in protein structure.the genes for DDT and MIF are closely linked on human chromosome 22 and mouse chromosome 10.
Immunogen
E. coli-derived human DDT recombinant protein (Position: M1-L118).
Contents
Each vial contains 0.9mg NaCl, 0.2mg Na2HPO4, 0.05mg NaN3. Carrier free (No BSA) form available in stock. If you want this antibody carrier free please specify Carrier Free or No BSA in your order note.
Purification
Immunogen affinity purified.
Reconstitution
Add 0.2ml of distilled water will yield a concentration of 500ug/ml.
Concentration
Adding 0.2 ml of distilled water will yield a concentration of 500 μg/ml.
Manufacturer - Research Category
Cell Biology
Protein Name
D-dopachrome decarboxylase
Protein Function
Tautomerization of D-dopachrome with decarboxylation to give 5, 6-dihydroxyindole (DHI).
Subcellular Localization
Cytoplasm.
Description
Boster Bio Anti-D-dopachrome decarboxylase DDT Antibody catalog # RP1011. Tested in ELISA, IHC, WB applications. This antibody reacts with Human, Mouse, Rat. The brand Picoband indicates this is a premium antibody that guarantees superior quality, high affinity, and strong signals with minimal background in Western blot applications. Only our best-performing antibodies are designated as Picoband, ensuring unmatched performance.
Sequence Similarities
Belongs to the SCF family.
Manufacturer - Cross Reactivity
No cross-reactivity with other proteins

Note: The presented information and documents (Manual, Product Datasheet, Safety Datasheet and Certificate of Analysis) correspond to our latest update and should serve for orientational purpose only. We do not guarantee the topicality. We would kindly ask you to make a request for specific requirements, if necessary.

All products are intended for research use only (RUO). Not for human, veterinary or therapeutic use.

Amount: 100 ug/vial
Available: In stock
available

Delivery expected until 12/4/2025 

Compare

Add to wishlist

Get an offer

Request delivery time

Ask a technical question

Submit a bulk request

Questions about this Product?