Comparison

Anti-FABP4 Antibody Picoband® European Partner

Item no. BOS-RP1085
Manufacturer Boster
Amount 100 ug/vial
Quantity options 100 ug/vial 10 ug 100 ug 100 ug 100 ug 100 ug 100 ug 100 ug 100 ug 100 ug 100 ug 100 ug 100 ug
Category
Type Antibody Polyclonal
Format Lyophilized
Applications WB, IHC
Specific against Human (Homo sapiens), Mouse (Murine, Mus musculus), Rat (Rattus norvegicus)
Host Rabbit
Isotype IgG
Sensitivity <1 pg/ml
Sequence Belongs to the DMRT family.
Citations 1. Hotamisligil, G. S.; Johnson, R. S.; Distel, R. J.; Ellis, R.; Papaioannou, V. E.; Spiegelman, B. M. : Uncoupling of obesity from insulin resistance through a targeted mutation in aP2, the adipocyte fatty acid binding protein. Science 274: 1377-1379, 1996.
2. Furuhashi, M.; Tuncman, G.; Gorgun, C. Z.; Makowski, L.; Atsumi, G.; Vaillancourt, E.; Kono, K.; Babaev, V. R.; Fazio, S.; Linton, M. F.; Sulsky, R.; Robl, J. A.; Parker, R. A.; Hotamisligil, G. S. : Treatment of diabetes and atherosclerosis by inhibiting fatty-acid-binding protein aP2. Nature 447: 959-965, 2007.
3. Shum, B. O. V.; Mackay, C. R.; Gorgun, C. Z.; Frost, M. J.; Kumar, R. K.; Hotamisligil, G. S.; Rolph, M. S. : The adipocyte fatty acid-binding protein aP2 is required in allergic airway inflammation. J. Clin. Invest. 116: 2183-2192, 2006.
ECLASS 10.1 32160702
ECLASS 11.0 32160702
UNSPSC 12352203
Alias Fatty acid-binding protein,adipocyte,Adipocyte lipid-binding protein,ALBP,Adipocyte-type fatty acid-binding protein,A-FABP,AFABP,Fatty acid-binding protein 4,FABP4
Available
Manufacturer - Category
Primary Antibodies
Storage Conditions
Store at -20°C for one year from date of receipt. After reconstitution, at 4°C for one month. It can also be aliquotted and stored frozen at -20°C for six months. Avoid repeated freeze-thaw cycles.
Observed Molecular weight
15 kDa
Calculated Molecular weight
14719 MW
Clonality
Polyclonal
Application Details
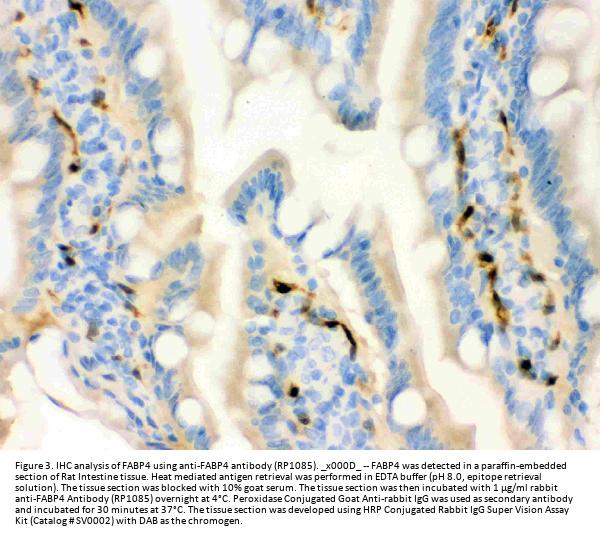
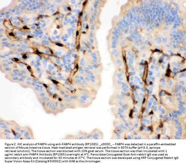
Immunohistochemistry (Paraffin-embedded Section), 0.5-1μg/ml, Mouse, Rat, Human
Western blot, 0.1-0.5μg/ml, Human, Mouse, Rat
Gene Name
FABP4
Gene Full Name
Fatty acid-binding protein, adipocyte
Manufacturer - Specificity
No cross reactivity with other proteins.
Background
Fatty acid binding proteins (FABPs) are small cytoplasmic proteins that are expressed in a highly tissue-specific manner and bind to fatty acids such as oleic and retinoic acid. Adipocyte fatty-acid-binding protein, aP2 (FABP4) is expressed in adipocytes and macrophages, and integrates inflammatory and metabolic responses. Studies in aP2-deficient mice have shown that this lipid chaperone has a significant role in several aspects of metabolic syndrome, including type 2 diabetes and atherosclerosis. It regulates allergic airway inflammation and may provide a link between fatty acid metabolism and asthma.
Immunogen
A synthetic peptide corresponding to a sequence at the N-terminus of human FABP4, identical to the related mouse and rat sequences.
Contents
Each vial contains 5mg BSA, 0.9mg NaCl, 0.2mg Na2HPO4, 0.05mg NaN3.
Purification
Immunogen affinity purified.
Reconstitution
Add 0.2ml of distilled water will yield a concentration of 500ug/ml.
Concentration
Adding 0.2 ml of distilled water will yield a concentration of 500 μg/ml.
Manufacturer - Research Category
Cancer, Cancer Metabolism, Cardiovascular, Fatty Acid Oxidation, Fatty Acids, Lipid and Lipoprotein Metabolism, Lipid Metabolism, Lipids/Lipoproteins, Mesenchymal Stem Cells, Metabolic Signaling Pathway, Metabolic Signaling Pathways, Metabolism, Metabolism of Lipids and Lipoproteins, Pathways and Processes, Redox Metabolism, Signal Transduction, Stem Cells
Protein Name
Fatty acid-binding protein, adipocyte
Protein Function
Lipid transport protein in adipocytes. Binds both long chain fatty acids and retinoic acid. Delivers long-chain fatty acids and retinoic acid to their cognate receptors in the nucleus (By similarity).
Subcellular Localization
Cytoplasm. Nucleus. Depending on the nature of the ligand, a conformation change exposes a nuclear localization motif and the protein is transported into the nucleus. Subject to constitutive nuclear export (By similarity).
Description
Boster Bio Anti-FABP4 Antibody catalog # RP1085. Tested in IHC, WB applications. This antibody reacts with Human, Mouse, Rat. The brand Picoband indicates this is a premium antibody that guarantees superior quality, high affinity, and strong signals with minimal background in Western blot applications. Only our best-performing antibodies are designated as Picoband, ensuring unmatched performance.
Tissue Specificity
Testis-specific. Expressed in prostate cancer (at protein level).
Sequence Similarities
Belongs to the DMRT family.
Manufacturer - Cross Reactivity
No cross-reactivity with other proteins

Note: The presented information and documents (Manual, Product Datasheet, Safety Datasheet and Certificate of Analysis) correspond to our latest update and should serve for orientational purpose only. We do not guarantee the topicality. We would kindly ask you to make a request for specific requirements, if necessary.

All products are intended for research use only (RUO). Not for human, veterinary or therapeutic use.

Amount: 100 ug/vial
Available: In stock
available

Delivery expected until 12/4/2025 

Compare

Add to wishlist

Get an offer

Request delivery time

Ask a technical question

Submit a bulk request

Questions about this Product?