Comparison

Anti-HSD11B2 Antibody Picoband® European Partner

Item no. BOS-RP1094
Manufacturer Boster
Amount 100 ug/vial
Quantity options 100 ug/vial 10 ug 100 ug 100 ug 100 ug 100 ug 100 ug 100 ug 100 ug 100 ug 100 ug 100 ug 100 ug
Category
Type Antibody Polyclonal
Format Lyophilized
Applications WB, IF, IHC, IHC-F
Specific against Human (Homo sapiens), Mouse (Murine, Mus musculus), Rat (Rattus norvegicus)
Host Rabbit
Isotype IgG
Sensitivity <1 pg/ml
Citations 1. Albiston AL, Obeyesekere VR, Smith RE, Krozowski ZS (November 1994). Cloning and tissue distribution of the human 11 beta-hydroxysteroid dehydrogenase type 2 enzyme. Mol. Cell. Endocrinol. 105 (2): R11–7.
2. Brown RW, Chapman KE, Kotelevtsev Y, Yau JL, Lindsay RS, Brett L, Leckie C, Murad P, Lyons V, Mullins JJ, Edwards CR, Seckl JR (February 1996). Cloning and production of antisera to human placental 11 beta-hydroxysteroid dehydrogenase type 2. Biochem. J. 313 ( Pt 3) (Pt 3): 1007–17.
ECLASS 10.1 32160702
ECLASS 11.0 32160702
UNSPSC 12352203
Alias Corticosteroid 11-beta-dehydrogenase isozyme 2,1.1.1.-,11-beta-hydroxysteroid dehydrogenase type 2,11-DH2,11-beta-HSD2,11-beta-hydroxysteroid dehydrogenase type II,11-HSD type II,11-beta-HSD type II,NAD-dependent 11-beta-hydroxysteroid dehydrogenase,11-beta-HSD,Short chain dehydrogenase/reductase family 9C member 3,HSD11B2,HSD11K,SDR9C3
Available
Manufacturer - Category
Primary Antibodies
Storage Conditions
Store at -20°C for one year from date of receipt. After reconstitution, at 4°C for one month. It can also be aliquotted and stored frozen at -20°C for six months. Avoid repeated freeze-thaw cycles.
Observed Molecular weight
43 kDa
Calculated Molecular weight
44127 MW
Clonality
Polyclonal
Application Details
Western blot, 0.1-0.5μg/ml, Human, Mouse, Rat
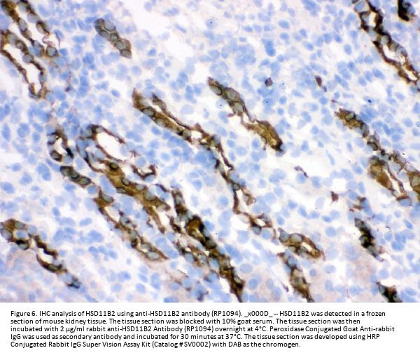
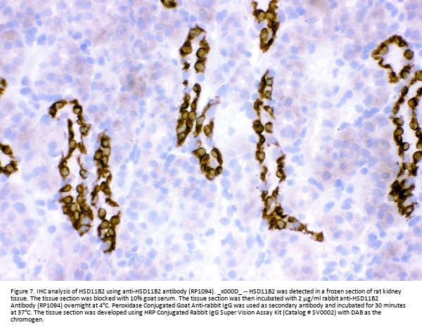
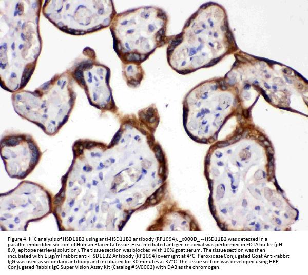
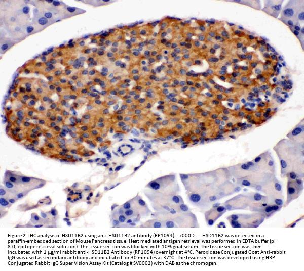
Immunohistochemistry (Paraffin-embedded Section), 0.5-1μg/ml, Human, Mouse, Rat
Immunohistochemistry(Frozen Section), 2-5 μg/ml, Human, Mouse, Rat
Immunofluorescence, 5 μg/ml, Human
Gene Name
HSD11B2
Gene Full Name
Corticosteroid 11-beta-dehydrogenase isozyme 2
Manufacturer - Specificity
No cross reactivity with other proteins.
Background
Corticosteroid 11-β-dehydrogenase isozyme 2, also known as?11-β-hydroxysteroid dehydrogenase 2, ?is an enzyme?that in humans is encoded by the?HSD11B2?gene. There are at least two isozymes of the corticosteroid 11-beta-dehydrogenase, a microsomal enzyme complex responsible for the interconversion of cortisol and cortisone. The type I isozyme has both 11-beta-dehydrogenase (cortisol to cortisone) and 11-oxoreductase (cortisone to cortisol) activities. The type II isozyme, encoded by this gene, has only 11-beta-dehydrogenase activity. In aldosterone-selective epithelial tissues such as the kidney, the type II isozyme catalyzes the glucocorticoid cortisol to the inactive metabolite cortisone, thus preventing illicit activation of the mineralocorticoid receptor. In tissues that do not express the mineralocorticoid receptor, such as the placenta and testis, it protects cells from the growth-inhibiting and/or pro-apoptotic effects of cortisol, particularly during embryonic development. Mutations in this gene cause the syndrome of apparent mineralocorticoid excess and hypertension.
Immunogen
A synthetic peptide corresponding to a sequence at the C-terminus of human HSD11B2, different from the related mouse sequence by five amino acids, and from the related rat sequence by three amino acids.
Contents
Each vial contains 5mg BSA, 0.9mg NaCl, 0.2mg Na2HPO4, 0.05mg NaN3.
Purification
Immunogen affinity purified.
Reconstitution
Add 0.2ml of distilled water will yield a concentration of 500ug/ml.
Concentration
Adding 0.2 ml of distilled water will yield a concentration of 500 μg/ml.
Manufacturer - Research Category
Atherosclerosis, Cancer, Cancer Metabolism, Cardiovascular, Cell Biology, Growth Factors/Hormones, Heart Disease, Metabolism, Metabolism Processes, Pathways and Processes, Response To Hypoxia, Signal Transduction
Protein Name
Corticosteroid 11-beta-dehydrogenase isozyme 2
Protein Function
Catalyzes the conversion of cortisol to the inactive metabolite cortisone. Modulates intracellular glucocorticoid levels, thus protecting the nonselective mineralocorticoid receptor from occupation by glucocorticoids.
Subcellular Localization
Microsome. Endoplasmic reticulum.
Description
Boster Bio Anti-HSD11B2 Antibody catalog # RP1094. Tested in IF, IHC, IHC-F, WB applications. This antibody reacts with Human, Mouse, Rat. The brand Picoband indicates this is a premium antibody that guarantees superior quality, high affinity, and strong signals with minimal background in Western blot applications. Only our best-performing antibodies are designated as Picoband, ensuring unmatched performance.
Tissue Specificity
Expressed in kidney, pancreas, prostate, ovary, small intestine and colon. At midgestation, expressed at high levels in placenta and in fetal kidney and, at much lower levels, in fetal lung and testis (PubMed:8530071).
Manufacturer - Alias
Corticosteroid 11-beta-dehydrogenase isozyme 2, 1.1.1.-, 11-beta-hydroxysteroid dehydrogenase type 2, 11-DH2, 11-beta-HSD2, 11-beta-hydroxysteroid dehydrogenase type II, 11-HSD type II, 11-beta-HSD type II, NAD-dependent 11-beta-hydroxysteroid dehydrogenase, 11-beta-HSD, Short chain dehydrogenase/reductase family 9C member 3, HSD11B2, HSD11K, SDR9C3
Manufacturer - Cross Reactivity
No cross-reactivity with other proteins

Note: The presented information and documents (Manual, Product Datasheet, Safety Datasheet and Certificate of Analysis) correspond to our latest update and should serve for orientational purpose only. We do not guarantee the topicality. We would kindly ask you to make a request for specific requirements, if necessary.

All products are intended for research use only (RUO). Not for human, veterinary or therapeutic use.

Amount: 100 ug/vial
Available: In stock
available

Delivery expected until 12/4/2025 

Compare

Add to wishlist

Get an offer

Request delivery time

Ask a technical question

Submit a bulk request

Questions about this Product?