Comparison

Anti-Transcription factor Sp1 SP1 Antibody Picoband® European Partner

Item no. BOS-RP1072
Manufacturer Boster
Amount 100 ug/vial
Quantity options 100 ug/vial 10 ug 100 ug 100 ug 100 ug 100 ug 100 ug 100 ug 100 ug 100 ug 100 ug 100 ug 100 ug
Category
Type Antibody Primary
Format Lyophilized
Applications WB
Specific against Human (Homo sapiens), Rat (Rattus norvegicus)
Host Rabbit
Isotype IgG
Sensitivity <1 pg/ml
Sequence Belongs to the Sp1 C2H2-type zinc-finger protein family.
Citations 1. Gaynor, R. B., Shieh, B.-H., Klisak, I., Sparkes, R. S., Lusis, A. J.Localization of the transcription factor SP1 gene to human chromosome 12q12-q13.2.Cytogenet. Cell Genet. 64: 210-212, 1993.
2. Matera, A. G., Ward, D. C.Localization of the human Sp1 transcription factor gene to 12q13 by fluorescence in situ hybridization.Genomics 17: 793-794, 1993.
3. Wimmer, E. A., Jackle, H., Pfeifle, C., Cohen, S. M.A Drosophila homologue of human Sp1 is a head-specific segmentation gene.Nature 366: 690-694, 1993.Wimmer, E. A., Jackle, H., Pfeifle, C., Cohen, S. M.A Drosophila homologue of human Sp1 is a head-specific segmentation gene.Nature 366: 690-694, 1993.
ECLASS 10.1 32160702
ECLASS 11.0 32160702
UNSPSC 12352203
Alias Transcription factor Sp1,SP1,TSFP1
Available
Manufacturer - Category
Primary Antibodies
Storage Conditions
Store at -20°C for one year from date of receipt. After reconstitution, at 4°C for one month. It can also be aliquotted and stored frozen at -20°C for six months. Avoid repeated freeze-thaw cycles.
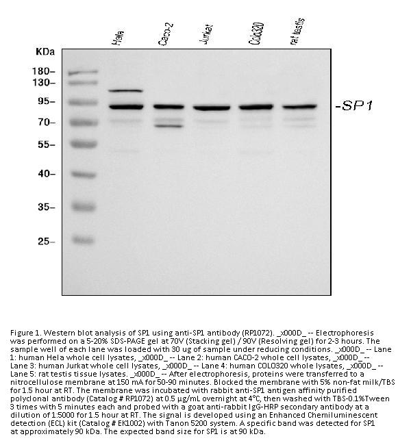
Observed Molecular weight
90 kDa
Calculated Molecular weight
80693 MW
Clonality
Polyclonal
Application Details
Western blot, 0.1-0.5μg/ml, Human, Rat
Gene Name
SP1
Gene Full Name
Transcription factor Sp1
Manufacturer - Specificity
No cross reactivity with other proteins.
Background
Transcription factor Sp1, also known as specificity protein 1* is a protein that in humans is encoded by the SP1 gene. The protein encoded by this gene is a zinc finger transcription factor that binds to GC-rich motifs of many promoters. The encoded protein is involved in many cellular processes, including cell differentiation, cell growth, apoptosis, immune responses, response to DNA damage, and chromatin remodeling. Post-translational modifications such as phosphorylation, acetylation, glycosylation, and proteolytic processing significantly affect the activity of this protein, which can be an activator or a repressor. Three transcript variants encoding different isoforms have been found for this gene.
Immunogen
A synthetic peptide corresponding to a sequence at the C-terminus of human SP1, different from the related mouse and rat sequences by two amino acids.
Contents
Each vial contains 4 mg Trehalose, 0.9 mg NaCl, 0.2mg Na2HPO4, 0.05 mg NaN3.
Purification
Immunogen affinity purified.
Reconstitution
Add 0.2ml of distilled water will yield a concentration of 500ug/ml.
Concentration
Adding 0.2 ml of distilled water will yield a concentration of 500 μg/ml.
Manufacturer - Research Category
Stem Cells, TGF Beta, Transcription, Zinc Finger
Protein Name
Transcription factor Sp1
Protein Function
Transcription factor that can activate or repress transcription in response to physiological and pathological stimuli. Binds with high affinity to GC-rich motifs and regulates the expression of a large number of genes involved in a variety of processes such as cell growth, apoptosis, differentiation and immune responses. Highly regulated by post-translational modifications (phosphorylations, sumoylation, proteolytic cleavage, glycosylation and acetylation). Binds also the PDGFR- alpha G-box promoter. May have a role in modulating the cellular response to DNA damage. Implicated in chromatin remodeling. Plays a role in the recruitment of SMARCA4/BRG1 on the c-FOS promoter. Plays an essential role in the regulation of FE65 gene expression. In complex with ATF7IP, maintains telomerase activity in cancer cells by inducing TERT and TERC gene expression. Isoform 3 is a stronger activator of transcription than isoform 1. Positively regulates the transcription of the core clock component ARNTL/BMAL1.
Subcellular Localization
Nucleus. Cytoplasm. Nuclear location is governed by glycosylated/phosphorylated states. Insulin promotes nuclear location, while glucagon favors cytoplasmic location.
Description
Boster Bio Anti-Transcription factor Sp1 SP1 Antibody catalog # RP1072. Tested in WB applications. This antibody reacts with Human, Rat. The brand Picoband indicates this is a premium antibody that guarantees superior quality, high affinity, and strong signals with minimal background in Western blot applications. Only our best-performing antibodies are designated as Picoband, ensuring unmatched performance.
Tissue Specificity
Up-regulated in adenocarcinomas of the stomach (at protein level). Isoform 3 is ubiquitously expressed at low levels.
Sequence Similarities
Belongs to the Sp1 C2H2-type zinc-finger protein family.
Manufacturer - Cross Reactivity
No cross-reactivity with other proteins

Note: The presented information and documents (Manual, Product Datasheet, Safety Datasheet and Certificate of Analysis) correspond to our latest update and should serve for orientational purpose only. We do not guarantee the topicality. We would kindly ask you to make a request for specific requirements, if necessary.

All products are intended for research use only (RUO). Not for human, veterinary or therapeutic use.

Amount: 100 ug/vial
Available: In stock
available

Delivery expected until 12/4/2025 

Compare

Add to wishlist

Get an offer

Request delivery time

Ask a technical question

Submit a bulk request

Questions about this Product?