Comparison

Anti-IKB alpha NFKBIA Rabbit Monoclonal Antibody European Partner

Item no. BOS-M01139
Manufacturer Boster
Amount 100 ul
Quantity options 100 ul 30 ul
Category
Type Antibody Monoclonal
Format Liquid
Applications WB, IF, IP, IHC, ICC
Clone HO-14
Specific against Human (Homo sapiens), Mouse (Murine, Mus musculus), Rat (Rattus norvegicus)
Host Rabbit
Isotype IgG
Sensitivity <20 pg/ml
ECLASS 10.1 42030590
ECLASS 11.0 42030590
UNSPSC 12352203
Alias NF-kappa-B inhibitor alpha,I-kappa-B-alpha,IkB-alpha,IkappaBalpha,Major histocompatibility complex enhancer-binding protein MAD3,NFKBIA,IKBA,MAD3,NFKBI
Available
Manufacturer - Category
Primary Antibodies, Rabbit Monoclonal Antibodies
Storage Conditions
Store at -20°C for one year. For short term storage and frequent use, store at 4°C for up to one month. Avoid repeated freeze-thaw cycles.
Observed Molecular weight
36, 39 kDa
Calculated Molecular weight
35609 MW
Clonality
Monoclonal
Application Details
WB 1:500-2000
IHC 1:50-200
ICC/IF 1:50-200
IP 1:30
Gene Name
NFKBIA
Gene Full Name
NF-kappa-B inhibitor alpha
Immunogen
A synthesized peptide derived from human IKB alpha
Contents
Rabbit IgG in phosphate buffered saline, pH 7.4, 150mM NaCl, 0.02% sodium azide and 50% glycerol, 0.4-0.5mg/ml BSA.
Purification
Affinity-chromatography
Reconstitution
Restore with deionized water (or equivalent) for reconstitution volume of 1.0 mL
Concentration
0.5mg/ml
Manufacturer - Research Category
Cancer, Epigenetics and Nuclear Signaling, Immunology, Innate Immunity, NFKB Pathway, Nuclear Signaling, Nuclear Signaling Pathways, Signal Transduction, Signaling Pathway, TLR Signaling
Protein Name
Glycogen synthase kinase-3 beta (gsk3b)
Protein Function
Inhibits the activity of dimeric NF-kappa-B/REL complexes by trapping REL dimers in the cytoplasm through masking of their nuclear localization signals. On cellular stimulation by immune and proinflammatory responses, becomes phosphorylated promoting ubiquitination and degradation, enabling the dimeric RELA to translocate to the nucleus and activate transcription.
Subcellular Localization
Cytoplasm. Nucleus. Shuttles between the nucleus and the cytoplasm by a nuclear localization signal (NLS) and a CRM1-dependent nuclear export.
Description
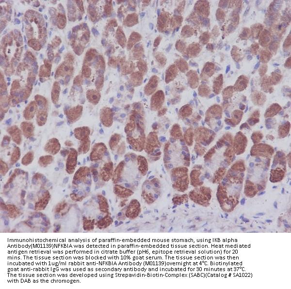
Boster Bio Anti-IKB alpha NFKBIA Rabbit Monoclonal Antibody catalog # M01139. Tested in WB, IHC, ICC/IF, IP applications. This antibody reacts with Human, Mouse, Rat.
Tissue Specificity
Expressed in brain and skeletal muscle.

Note: The presented information and documents (Manual, Product Datasheet, Safety Datasheet and Certificate of Analysis) correspond to our latest update and should serve for orientational purpose only. We do not guarantee the topicality. We would kindly ask you to make a request for specific requirements, if necessary.

All products are intended for research use only (RUO). Not for human, veterinary or therapeutic use.

Amount: 100 ul
Available: In stock
available

Delivery expected until 12/4/2025 

Compare

Add to wishlist

Get an offer

Request delivery time

Ask a technical question

Submit a bulk request

Questions about this Product?