Comparison

Anti-ICAM-2/CD102 Antibody, Mouse Monoclonal European Partner

Item no. 10332-MM06-200
Manufacturer Sino Biological
Amount 200 uL
Quantity options 100 uL 200 uL 50 uL
Category
Type Antibody Monoclonal
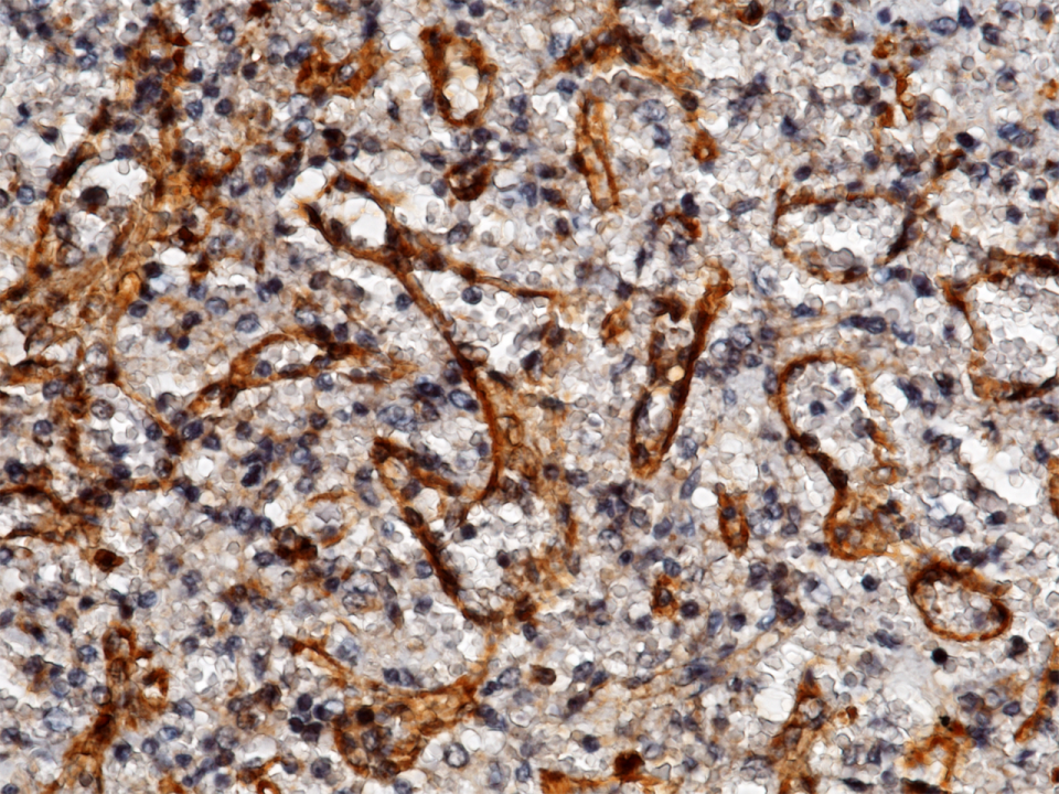
Applications IHC
Clone 06
Specific against Human (Homo sapiens)
Host Mouse
Isotype IgG1
ECLASS 10.1 42030590
ECLASS 11.0 42030590
UNSPSC 12352203
Alias sino
Available
Storage Conditions
This antibody can be stored at 2C-8C for one month without detectable loss of activity. Antibody products are stable for twelve months from date of receipt when stored at -20C to -80C. Preservative-Free. Sodium azide is recommended to avoid contamination (final concentration 0.05%-0.1%). It is toxic to cells and should be disposed of properly. Avoid repeated freeze-thaw cycles.
Antigen molecule name
ICAM2
Immunogen
Recombinant Human ICAM-2 / CD102 protein (Catalog#10332-H08H)
Purification
Protein A
Preparation
This antibody was produced from a hybridoma resulting from the fusion of a mouse myeloma with B cells obtained from a mouse immunized with purified, recombinant Human ICAM-2 / CD102 (rh ICAM-2 / CD102; Catalog#10332-H08H; NP_000864.2; Met1-Gln223). The IgG fraction of the cell culture supernatant was purified by Protein A affinity chromatography.
Specificity
Human ICAM-2 / CD102
Buffer
0.2 um filtered solution in PBS with 5% trehalose
No cross-reactivity
No cross-reactivity in ELISA with
Human CEACAM1
Human ICAM1
Human ICAM3
Human CD31
Mouse VCAM1
Recommended IHC-P Concentration
IHC-P: 10-30 ug/mL

Note: The presented information and documents (Manual, Product Datasheet, Safety Datasheet and Certificate of Analysis) correspond to our latest update and should serve for orientational purpose only. We do not guarantee the topicality. We would kindly ask you to make a request for specific requirements, if necessary.

All products are intended for research use only (RUO). Not for human, veterinary or therapeutic use.

Amount: 200 uL
Available: In stock
available

Compare

Add to wishlist

Get an offer

Request delivery time

Ask a technical question

Submit a bulk request

Questions about this Product?
 
Close