Vergleich

Fyn Related Kinase (FRK) Antibody Europäischer Partner

ArtNr abx011719
Hersteller Abbexa
Menge 100 ul
Kategorie
Typ Antibody Primary
Format Liquid
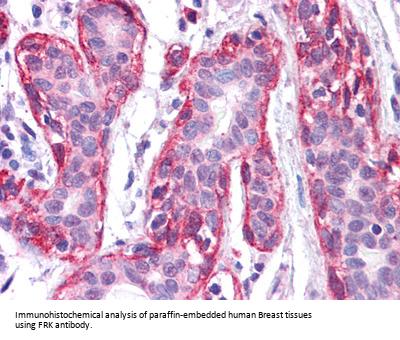
Applikationen IHC, ELISA
Specific against Human (Homo sapiens)
Host Mouse
Isotype IgG1
Konjugat/Tag Unconjugated
ECLASS 10.1 32160702
ECLASS 11.0 32160702
UNSPSC 12352203
Similar products FRK
Lieferbar
Manufacturer - Category
Primary Antibodies
Manufacturer - Targets
Fyn Related Kinase (FRK)
Storage Conditions
Aliquot and store at -20°C. Avoid repeated freeze/thaw cycles.
Molecular Weight
56 kDa
Description
The protein encoded by this gene belongs to the TYR family of protein kinases. This tyrosine kinase is a nuclear protein and may function during G1 and S phase of the cell cycle and suppress growth.
Dry Ice
No
Buffer
Ascitic fluid containing 0.03% sodium azide.
Clonality
Monoclonal
Gene Symbol
FRK
Note
This product is for research use only.
Purification
Unpurified ascites.
UniProt Entry Name
FRK_HUMAN
OMIM
606573

Hinweis: Die dargestellten Informationen und Dokumente (Bedienungsanleitung, Produktdatenblatt, Sicherheitsdatenblatt und Analysezertifikat) entsprechen unserem letzten Update und sollten lediglich der Orientierung dienen. Wir übernehmen keine Garantie für die Aktualität. Für spezifische Anforderungen bitten wir Sie, uns eine Anfrage zu stellen.

Alle Produkte sind nur für Forschungszwecke bestimmt. Nicht für den menschlichen, tierärztlichen oder therapeutischen Gebrauch.

Menge: 100 ul
Lieferbar: In stock
lieferbar

Vergleichen

Auf den Wunschzettel

Angebot anfordern

Lieferzeit anfragen

Technische Frage stellen

Bulk-Anfrage stellen

Fragen zum Produkt?
 
Schließen