Vergleich

Milk Fat Globule (Breast Epithelial Marker) Antibody - With BSA and Azide

ArtNr ABC-AH11812-U0020
Hersteller Abcepta
Menge 20 ug
Kategorie
Typ Antibody Monoclonal
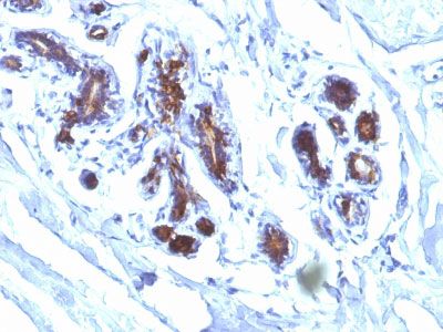
Applikationen FC, IF, IHC
Clon EDM45
Specific against Human (Homo sapiens)
Host Mouse
Citations Larocca D et al. A Mr 46,000 human milk fat globule protein that is highly expressed in human breast tumors contains factor VIII-like domains. Cancer Res 1991, 51: 4994-4998 | Ceriani RL et al. Surface differentiation antigens of human mammary epithelial cells carried on the human milk fat globule. Proc Natl Acad Sci USA 1977, 74(2):582-6 | Corcoran D and Walker RA. Ultrastructural localization of milk fat globule membrane antigens in human breast carcinomas. J Pathol 1990,161(2):161-6 | Sterns EE et al. Prognostic significance of the immunohistochemical reaction to human milk fat globule antibodies in node-negative and node-positive breast cancer. Breast Cancer Res Treat 1992, 21(3):193-9 | Baildam AD et al. The expression of milk fat globule antigens within human mammary tumours: relationship to steroid hormone receptors and response to endocrine treatment. Eur J Cancer Clin Oncol 1989, 25(3):459-6
ECLASS 10.1 42030590
ECLASS 11.0 42030590
UNSPSC 12352203
Alias Lactadherin,Breast epithelial antigen BA46,HMFG,MFGM,Milk fat globule-EGF factor 8,MFG-E8,SED1,Lactadherin short form,Medin,MFGE8
Similar products MFGE8, Lactadherin, Breast epithelial antigen BA46, HMFG, MFGM, Milk fat globule-EGF factor 8, SED1, Lactadherin short form, Medin, MFG-E8
Lieferbar
Manufacturer - Category
Primary Antibodies; Cardiovascular; Cell Biology; Developmental Biology; Metabolism; Microbiology; Viral process; Host-virus interaction; SARS CoV2 PPIs; Viral process
Bio Background
Recognizes a protein of 40-45kDa, identified as human milk fat globule membrane protein (HMFG). HMFG is present on normal human breast epithelial cells and cell lines derived from breast carcinomas, as well as to the outer surface of the human milk fat globule. HMFG is considered as a differentiation marker. It is useful as specific breast epithelial marker and can also provide a tool to study the role of the cell surface in normal and neoplastic mammary development.
Clonality
Monoclonal
Gene Name
MFGE8
Subtitle
Mouse Monoclonal Antibody [Clone EDM45 ]
Reactivity
H

Hinweis: Die dargestellten Informationen und Dokumente (Bedienungsanleitung, Produktdatenblatt, Sicherheitsdatenblatt und Analysezertifikat) entsprechen unserem letzten Update und sollten lediglich der Orientierung dienen. Wir übernehmen keine Garantie für die Aktualität. Für spezifische Anforderungen bitten wir Sie, uns eine Anfrage zu stellen.

Alle Produkte sind nur für Forschungszwecke bestimmt. Nicht für den menschlichen, tierärztlichen oder therapeutischen Gebrauch.

Menge: 20 ug
Lieferbar: In stock
lieferbar

Vergleichen

Auf den Wunschzettel

Angebot anfordern

Lieferzeit anfragen

Technische Frage stellen

Bulk-Anfrage stellen

Fragen zum Produkt?
 
Schließen