Vergleich

Beta-Actin Antibody

ArtNr ABC-AM1829B
Hersteller Abcepta
Menge 400 ul
Kategorie
Typ Antibody Monoclonal
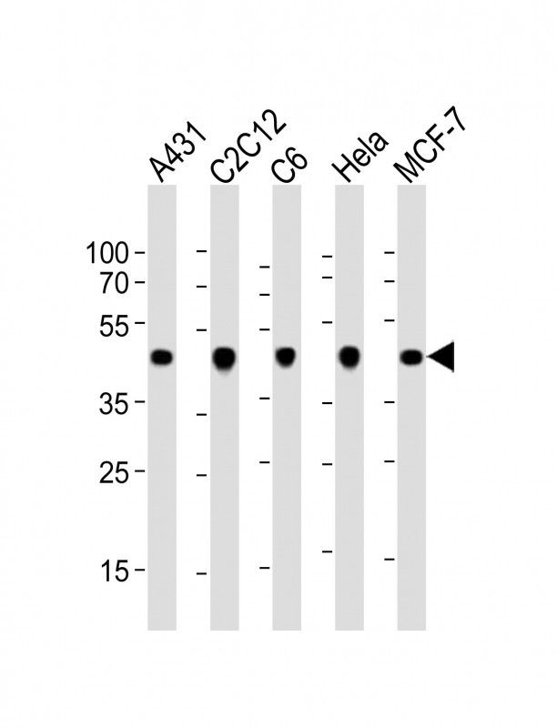
Applikationen WB, FC, IF, IHC-P
Clon 137CT26.1.1
Specific against Human (Homo sapiens), Mouse (Murine, Mus musculus), Rat (Rattus norvegicus)
Host Mouse
Isotype IgG1, Ig Kappa
Citations Sex-specific proteome differences in the anterior cingulate cortex of schizophrenia. Martins-de-Souza D, et al. J Psychiatr Res, 2010 Apr 8. PMID 20381070. Identification of a hormone-regulated dynamic nuclear actin network associated with estrogen receptor alpha in human breast cancer cell nuclei. Ambrosino C, et al. Mol Cell Proteomics, 2010 Jun. PMID 20308691. Contribution of rearranged actin structures to the spread of Ectromelia virus infection in vitro. Boratynska A, et al. Acta Virol, 2010. PMID 20201613. Molecular mechanisms underlying nucleocytoplasmic shuttling of actinin-4. Kumeta M, et al. J Cell Sci, 2010 Apr 1. PMID 20197409. Tyrosine phosphorylation of cofilin at Y68 by v-Src leads to its degradation through ubiquitin-proteasome pathway. Yoo Y, et al. Oncogene, 2010 Jan 14. PMID 19802004.
NCBI NP_001092.1
ECLASS 10.1 42030590
ECLASS 11.0 42030590
UNSPSC 12352203
Alias Actin,cytoplasmic 1,Beta-actin,Actin,cytoplasmic 1,N-terminally processed,ACTB
Similar products Actin, Beta-actin, ACTB, cytoplasmic 1, N-terminally processed
Lieferbar
Manufacturer - Category
Primary Antibodies; Antibody Collections; Cancer; Signal Transduction; Loading Control; Inflammation mediated by chemokine and cytokine signaling
Manufacturer - Targets
This ACTB Monoclonal antibody is generated from mouse immunized with ACTB recombinant protein.
Bio Background
This gene encodes one of six different actin proteins. Actins are highly conserved proteins that are involved in cell motility, structure, and integrity. This actin is a major constituent of the contractile apparatus and one of the two nonmuscle cytoskeletal actins.
Clonality
Monoclonal
Gene Name
ACTB
Subtitle
Mouse Monoclonal Antibody (Mab)
Reactivity
H, M, Rat
Predicted Reactivity
X, B, C, Hs, Pr, Pig, Sh
Calculated Molecular Weight
41737
Antigen Source
HUMAN
Formulation
Purified monoclonal antibody supplied in PBS with 0.09% (W/V) sodium azide. This antibody is purified through a protein G column, followed by dialysis against PBS.
Dilution
WB: 1:2000
IF: 1:10~50
WB: 1:1000
WB: 1:1000
WB: 1:1000
Antigen Type
Recombinant Protein

Hinweis: Die dargestellten Informationen und Dokumente (Bedienungsanleitung, Produktdatenblatt, Sicherheitsdatenblatt und Analysezertifikat) entsprechen unserem letzten Update und sollten lediglich der Orientierung dienen. Wir übernehmen keine Garantie für die Aktualität. Für spezifische Anforderungen bitten wir Sie, uns eine Anfrage zu stellen.

Alle Produkte sind nur für Forschungszwecke bestimmt. Nicht für den menschlichen, tierärztlichen oder therapeutischen Gebrauch.

Menge: 400 ul
Lieferbar: In stock
lieferbar

Vergleichen

Auf den Wunschzettel

Angebot anfordern

Lieferzeit anfragen

Technische Frage stellen

Bulk-Anfrage stellen

Fragen zum Produkt?
 
Schließen